Найти Π² Π”Π·Π΅Π½Π΅

πŸ’Ž КСйс: кСрамичСскиС Π±Ρ€Π΅ΠΊΠ΅Ρ‚Ρ‹ - эстСтика Π½Π° максималках

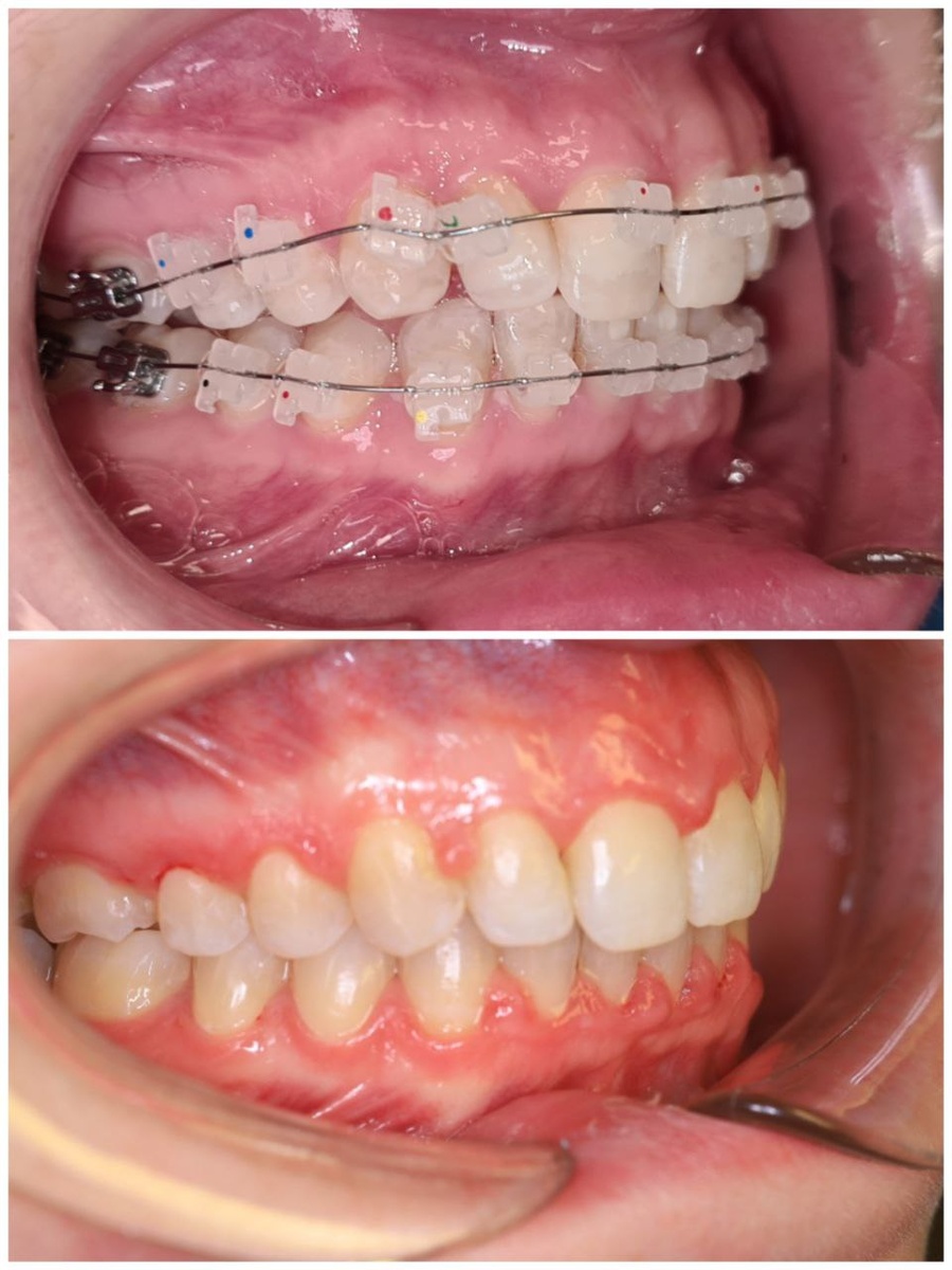
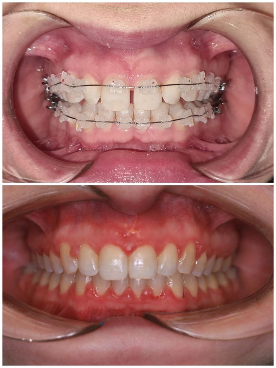
πŸ™ŽΠžΠ΄Π½Π°ΠΆΠ΄Ρ‹ ΠΊ Π½Π°ΠΌ ΠΏΡ€ΠΈΡˆΠ»Π° ΠΏΠ°Ρ†ΠΈΠ΅Π½Ρ‚ΠΊΠ° с простым, Π½ΠΎ Π²Π°ΠΆΠ½Ρ‹ΠΌ ΠΆΠ΅Π»Π°Π½ΠΈΠ΅ΠΌ: "Π₯ΠΎΡ‡Ρƒ Ρ€ΠΎΠ²Π½Ρ‹Π΅ Π·ΡƒΠ±ΠΊΠΈ ΠΈ ΠΊΡ€Π°ΡΠΈΠ²ΡƒΡŽ ΡƒΠ»Ρ‹Π±ΠΊΡƒ". Но Π½Π° ΠΏΡƒΡ‚ΠΈ ΠΊ этой ΠΌΠ΅Ρ‡Ρ‚Π΅ стояли скучСнныС, Π½Π΅Ρ€ΠΎΠ²Π½Ρ‹Π΅ Π·ΡƒΠ±Ρ‹. πŸ”₯Π§Ρ‚ΠΎ ΠΆ, Π²Ρ‹Π·ΠΎΠ² принят! πŸ’―ΠΠ°Ρˆ Π²Ρ‹Π±ΠΎΡ€ – кСрамичСскиС Π±Ρ€Π΅ΠΊΠ΅Ρ‚Ρ‹. ΠŸΠΎΡ‡Π΅ΠΌΡƒ? ΠŸΠΎΡ‚ΠΎΠΌΡƒ Ρ‡Ρ‚ΠΎ ΠΎΠ½ΠΈ: ⏳ ΠŸΡ€ΠΎΡ†Π΅ΡΡ Π›Π΅Ρ‡Π΅Π½ΠΈΠ΅ заняло ΠΎΠΊΠΎΠ»ΠΎ ΠΏΠΎΠ»ΡƒΡ‚ΠΎΡ€Π° Π»Π΅Ρ‚ – это классичСский срок для Ρ‚Π°ΠΊΠΈΡ… случаСв. Π—ΡƒΠ±Ρ‹ Π°ΠΊΠΊΡƒΡ€Π°Ρ‚Π½ΠΎ, шаг Π·Π° шагом, заняли свои ΠΏΡ€Π°Π²ΠΈΠ»ΡŒΠ½Ρ‹Π΅ мСста. ✨ Π Π΅Π·ΡƒΠ»ΡŒΡ‚Π°Ρ‚ πŸ“Œ ΠŸΠΎΡ‡Π΅ΠΌΡƒ это Π²Π°ΠΆΠ½ΠΎ? πŸ’―ΠšΠ΅Ρ€Π°ΠΌΠΈΡ‡Π΅ΡΠΊΠΈΠ΅ Π±Ρ€Π΅ΠΊΠ΅Ρ‚Ρ‹ – это Π½Π΅ Ρ‚ΠΎΠ»ΡŒΠΊΠΎ ΠΏΡ€ΠΎ эстСтику, Π½ΠΎ ΠΈ ΠΏΡ€ΠΎ ΡΡ„Ρ„Π΅ΠΊΡ‚ΠΈΠ²Π½ΠΎΡΡ‚ΡŒ. Они ΡΠΏΡ€Π°Π²Π»ΡΡŽΡ‚ΡΡ Π½ΠΈΡ‡ΡƒΡ‚ΡŒ Π½Π΅ Ρ…ΡƒΠΆΠ΅ мСталличСских, Π° выглядят Ρ‚Π°ΠΊ, Π±ΡƒΠ΄Ρ‚ΠΎ ΠΈΡ… ΠΈ вовсС Π½Π΅Ρ‚. πŸ‘ͺ Π‘ любовью ΠΈ Π·Π°Π±ΠΎΡ‚ΠΎΠΉ ΠΎ вас ΠΈ Π²Π°ΡˆΠΈΡ… дСтях, ваш Π»ΡŽΠ±ΠΈΠΌΡ‹ΠΉ ΠΎΡ€Ρ‚ΠΎΠ΄ΠΎΠ½Ρ‚, Π•Π»Π΅Π½Π° ЛСщук❣️ πŸ’¬ Π“ΠΎΡ‚ΠΎΠ²Ρ‹ ΡΡ‚Π°Ρ‚ΡŒ Π³Π»Π°Π²Π½Ρ‹ΠΌ Π³Π΅Ρ€ΠΎΠ΅ΠΌ ΡΠ»Π΅Π΄ΡƒΡŽΡ‰Π΅Π³ΠΎ счастливого кСйса? β˜οΈΠ—Π°ΠΏΠΈΡˆΠΈΡ‚Π΅ΡΡŒ Π½Π° ΠΊΠΎΠ½ΡΡƒΠ»ΡŒΡ‚Π°Ρ†ΠΈΡŽ ΠΈ Π½Π°Ρ‡Π½ΠΈΡ‚Π΅ своё ΠΏΡƒΡ‚Π΅ΡˆΠ΅ΡΡ‚Π²ΠΈΠ΅ ΠΊ идСальной ΡƒΠ»Ρ‹Π±ΠΊΠ΅ прямо сСйчас! P.s. НС Π·Π°Π±ΡƒΠ΄ΡŒΡ‚Π΅ ΠΏΠΎΠ΄ΠΏΠΈΡΠ°Ρ‚ΡŒΡΡ Π½Π° наш ΠΊΠ°Π½Π°Π», Ρ‡Ρ‚ΠΎΠ±Ρ‹ Π½Π΅ ΠΏΡ€ΠΎΠΏΡƒΡΡ‚ΠΈΡ‚ΡŒ Π½ΠΎΠ²Ρ‹Π΅ ΠΏΠΎΠ»Π΅Π·Π½Ρ‹Π΅ совСты ΠΈ Ρ€Π΅ΡˆΠ΅Π½ΠΈΡ для вашСй ΡƒΠ»Ρ‹Π±ΠΊΠΈ! #силксмаил #совСтотСлСнылСщук #совСтотсилксмаил #силксмаилрСкомСндуСт

πŸ™ŽΠžΠ΄Π½Π°ΠΆΠ΄Ρ‹ ΠΊ Π½Π°ΠΌ ΠΏΡ€ΠΈΡˆΠ»Π° ΠΏΠ°Ρ†ΠΈΠ΅Π½Ρ‚ΠΊΠ° с простым, Π½ΠΎ Π²Π°ΠΆΠ½Ρ‹ΠΌ ΠΆΠ΅Π»Π°Π½ΠΈΠ΅ΠΌ: "Π₯ΠΎΡ‡Ρƒ Ρ€ΠΎΠ²Π½Ρ‹Π΅ Π·ΡƒΠ±ΠΊΠΈ ΠΈ ΠΊΡ€Π°ΡΠΈΠ²ΡƒΡŽ ΡƒΠ»Ρ‹Π±ΠΊΡƒ". Но Π½Π° ΠΏΡƒΡ‚ΠΈ ΠΊ этой ΠΌΠ΅Ρ‡Ρ‚Π΅ стояли скучСнныС, Π½Π΅Ρ€ΠΎΠ²Π½Ρ‹Π΅ Π·ΡƒΠ±Ρ‹.

πŸ”₯Π§Ρ‚ΠΎ ΠΆ, Π²Ρ‹Π·ΠΎΠ² принят!

πŸ’―ΠΠ°Ρˆ Π²Ρ‹Π±ΠΎΡ€ – кСрамичСскиС Π±Ρ€Π΅ΠΊΠ΅Ρ‚Ρ‹. ΠŸΠΎΡ‡Π΅ΠΌΡƒ?

ΠŸΠΎΡ‚ΠΎΠΌΡƒ Ρ‡Ρ‚ΠΎ ΠΎΠ½ΠΈ:

  • βœ… ΠŸΠΎΡ‡Ρ‚ΠΈ Π½Π΅Π·Π°ΠΌΠ΅Ρ‚Π½Ρ‹ – ΠΏΠ°Ρ†ΠΈΠ΅Π½Ρ‚ΠΊΠ° ΠΏΡ€ΠΎΠ΄ΠΎΠ»ΠΆΠ°Π»Π° ΡΠΈΡΡ‚ΡŒ ΡƒΠ»Ρ‹Π±ΠΊΠΎΠΉ Π΄Π°ΠΆΠ΅ Π²ΠΎ врСмя лСчСния.
  • βœ… ΠšΠΎΠΌΡ„ΠΎΡ€Ρ‚Π½Ρ‹ – Π½ΠΈΠΊΠ°ΠΊΠΈΡ… острых ΡƒΠ³Π»ΠΎΠ² ΠΈ нСприятных ΠΎΡ‰ΡƒΡ‰Π΅Π½ΠΈΠΉ.
  • βœ… И Π³Π»Π°Π²Π½ΠΎΠ΅ – прСкрасно ΡΠΏΡ€Π°Π²Π»ΡΡŽΡ‚ΡΡ с Π·Π°Π΄Π°Ρ‡Π΅ΠΉ выравнивания Π·ΡƒΠ±ΠΎΠ²!

⏳ ΠŸΡ€ΠΎΡ†Π΅ΡΡ

Π›Π΅Ρ‡Π΅Π½ΠΈΠ΅ заняло ΠΎΠΊΠΎΠ»ΠΎ ΠΏΠΎΠ»ΡƒΡ‚ΠΎΡ€Π° Π»Π΅Ρ‚ – это классичСский срок для Ρ‚Π°ΠΊΠΈΡ… случаСв. Π—ΡƒΠ±Ρ‹ Π°ΠΊΠΊΡƒΡ€Π°Ρ‚Π½ΠΎ, шаг Π·Π° шагом, заняли свои ΠΏΡ€Π°Π²ΠΈΠ»ΡŒΠ½Ρ‹Π΅ мСста.

✨ Π Π΅Π·ΡƒΠ»ΡŒΡ‚Π°Ρ‚

  • πŸ’š Π”ΠΎΠΊΡ‚ΠΎΡ€ счастлив: ΠΊΠ°ΠΆΠ΄Ρ‹ΠΉ Π·ΡƒΠ± стоит идСально, ΠΊΠ°ΠΊ солдат Π½Π° ΠΏΠ°Ρ€Π°Π΄Π΅!
  • πŸ’š ΠŸΠ°Ρ†ΠΈΠ΅Π½Ρ‚ΠΊΠ° Π² восторгС: ΠΌΠ΅Ρ‡Ρ‚Π° ΠΎ Ρ€ΠΎΠ²Π½Ρ‹Ρ… Π·ΡƒΠ±ΠΊΠ°Ρ… ΡΠ±Ρ‹Π»Π°ΡΡŒ, Π° ΡƒΠ»Ρ‹Π±ΠΊΠ° Ρ‚Π΅ΠΏΠ΅Ρ€ΡŒ сияСт ΡƒΠ²Π΅Ρ€Π΅Π½Π½ΠΎΡΡ‚ΡŒΡŽ ΠΈ красотой!

πŸ“Œ ΠŸΠΎΡ‡Π΅ΠΌΡƒ это Π²Π°ΠΆΠ½ΠΎ?

πŸ’―ΠšΠ΅Ρ€Π°ΠΌΠΈΡ‡Π΅ΡΠΊΠΈΠ΅ Π±Ρ€Π΅ΠΊΠ΅Ρ‚Ρ‹ – это Π½Π΅ Ρ‚ΠΎΠ»ΡŒΠΊΠΎ ΠΏΡ€ΠΎ эстСтику, Π½ΠΎ ΠΈ ΠΏΡ€ΠΎ ΡΡ„Ρ„Π΅ΠΊΡ‚ΠΈΠ²Π½ΠΎΡΡ‚ΡŒ. Они ΡΠΏΡ€Π°Π²Π»ΡΡŽΡ‚ΡΡ Π½ΠΈΡ‡ΡƒΡ‚ΡŒ Π½Π΅ Ρ…ΡƒΠΆΠ΅ мСталличСских, Π° выглядят Ρ‚Π°ΠΊ, Π±ΡƒΠ΄Ρ‚ΠΎ ΠΈΡ… ΠΈ вовсС Π½Π΅Ρ‚.

πŸ‘ͺ Π‘ любовью ΠΈ Π·Π°Π±ΠΎΡ‚ΠΎΠΉ ΠΎ вас ΠΈ Π²Π°ΡˆΠΈΡ… дСтях, ваш Π»ΡŽΠ±ΠΈΠΌΡ‹ΠΉ ΠΎΡ€Ρ‚ΠΎΠ΄ΠΎΠ½Ρ‚,

Π•Π»Π΅Π½Π° ЛСщук❣️

πŸ’¬ Π“ΠΎΡ‚ΠΎΠ²Ρ‹ ΡΡ‚Π°Ρ‚ΡŒ Π³Π»Π°Π²Π½Ρ‹ΠΌ Π³Π΅Ρ€ΠΎΠ΅ΠΌ ΡΠ»Π΅Π΄ΡƒΡŽΡ‰Π΅Π³ΠΎ счастливого кСйса?

  • ☎️ 8 (495) 134-50-90
  • πŸ“ž 8 (916) 000-85-53

β˜οΈΠ—Π°ΠΏΠΈΡˆΠΈΡ‚Π΅ΡΡŒ Π½Π° ΠΊΠΎΠ½ΡΡƒΠ»ΡŒΡ‚Π°Ρ†ΠΈΡŽ ΠΈ Π½Π°Ρ‡Π½ΠΈΡ‚Π΅ своё ΠΏΡƒΡ‚Π΅ΡˆΠ΅ΡΡ‚Π²ΠΈΠ΅ ΠΊ идСальной ΡƒΠ»Ρ‹Π±ΠΊΠ΅ прямо сСйчас!

P.s. НС Π·Π°Π±ΡƒΠ΄ΡŒΡ‚Π΅ ΠΏΠΎΠ΄ΠΏΠΈΡΠ°Ρ‚ΡŒΡΡ Π½Π° наш ΠΊΠ°Π½Π°Π», Ρ‡Ρ‚ΠΎΠ±Ρ‹ Π½Π΅ ΠΏΡ€ΠΎΠΏΡƒΡΡ‚ΠΈΡ‚ΡŒ Π½ΠΎΠ²Ρ‹Π΅ ΠΏΠΎΠ»Π΅Π·Π½Ρ‹Π΅ совСты ΠΈ Ρ€Π΅ΡˆΠ΅Π½ΠΈΡ для вашСй ΡƒΠ»Ρ‹Π±ΠΊΠΈ!

#силксмаил #совСтотСлСнылСщук #совСтотсилксмаил #силксмаилрСкомСндуСт