Добавить в корзинуПозвонить
Найти в Дзене
Прайм-Стоматология

Какие дурные привычки приводят к стираемости зубов

Если Вы заметили, что зубы стали короче, желтее и более чувствительными, чем раньше, то скорее всего речь идёт о стираемости зубов. Насколько этот процесс критичен, и стоит ли бить тревогу — рассказывает врач-стоматолог ортопед клиники ПРАЙМ Табаков Глеб Михайлович. - Глеб Михайлович, стираемость зубов — это вообще нормально? - Стираемость зубов - это естественный процесс, который происходит на протяжении жизни в результате жевательной активности. Однако, стираемость может быть патологической. Эта проблема зачастую недооценивается пациентами, прогрессируя с каждым годом, что приводит к значительному снижению качества жизни. - Как отличить естественный процесс от патологии? - Нормальная стираемость зубов происходит в результате естественного процесса жевания. Этот процесс протекает медленно и постепенно. Он не приводит к значительным изменениям цвета, формы или структуры зубов. Также отсутствуют клинические симптомы, такие как чувствительность или болевые ощущения. При такой форме стира

Если Вы заметили, что зубы стали короче, желтее и более чувствительными, чем раньше, то скорее всего речь идёт о стираемости зубов.

Насколько этот процесс критичен, и стоит ли бить тревогу — рассказывает врач-стоматолог ортопед клиники ПРАЙМ Табаков Глеб Михайлович.

Глеб Михайлович Табаков – врач-стоматолог ортопед клиники ПРАЙМ на Есенина, 110.
Глеб Михайлович Табаков – врач-стоматолог ортопед клиники ПРАЙМ на Есенина, 110.

- Глеб Михайлович, стираемость зубов — это вообще нормально?

- Стираемость зубов - это естественный процесс, который происходит на протяжении жизни в результате жевательной активности. Однако, стираемость может быть патологической. Эта проблема зачастую недооценивается пациентами, прогрессируя с каждым годом, что приводит к значительному снижению качества жизни.

- Как отличить естественный процесс от патологии?

- Нормальная стираемость зубов происходит в результате естественного процесса жевания. Этот процесс протекает медленно и постепенно. Он не приводит к значительным изменениям цвета, формы или структуры зубов.

Также отсутствуют клинические симптомы, такие как чувствительность или болевые ощущения.

При такой форме стираемости зубы продолжают выполнять свою жевательную функцию без нарушений. Височно-нижнечелюстной сустав адаптируется под изменившиеся условия и не вызывает дискомфортных ощущений, таких как щелчки, хрусты и боли.

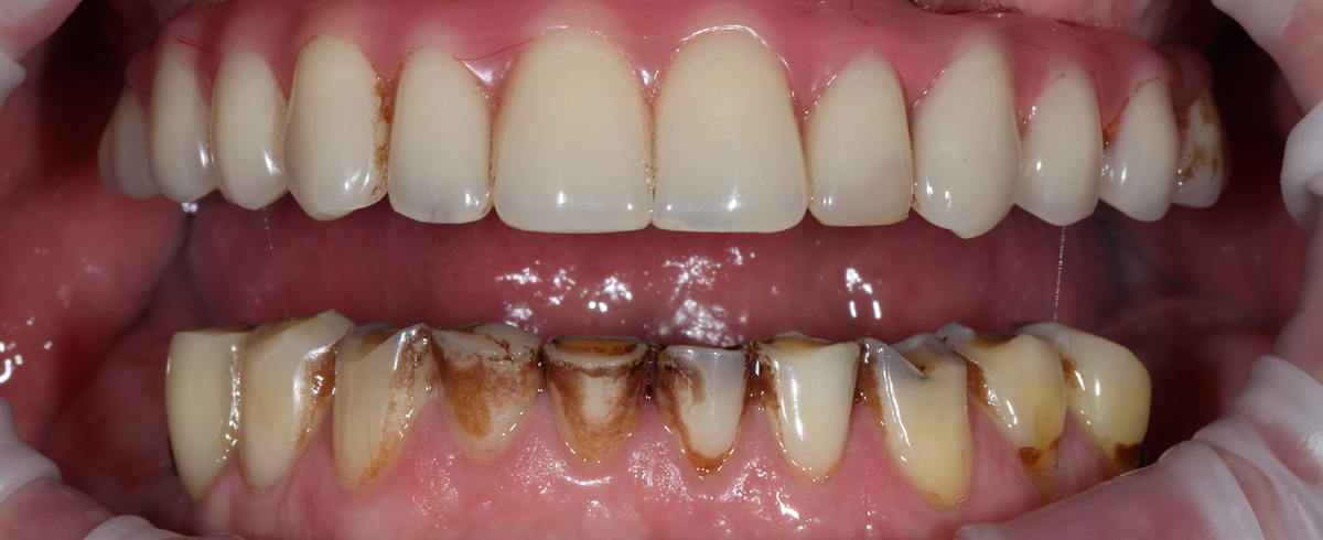
Патологическая стираемость зубов протекает значительно быстрее и интенсивнее, чем естественная. Приводит к выраженным изменениям в форме, высоте и цвете зубов. Часто вызывает такие симптомы, как повышенная чувствительность, боли, трещины и сколы на зубах. Может способствовать нарушению жевательной функции и приводить к дискомфорту, проблемам с прикусом и с височно-нижнечелюстным суставом и повышенному риску кариеса.

- Какие же причины приводят к патологической стираемости?

- Причин, на самом деле, немало:

- Неправильный прикус, при котором зубы могут смыкаться неравномерно. Часть зубов при этом испытывает повышенную нагрузку и стирается значительно быстрее чем те, которые функционально не нагружены.

Так же при неправильном прикусе человек может изменить способ жевания или откусывания, что также приводит к повышенной стираемости зубов.

Брекеты – самый популярный вариант исправления прикуса.
Брекеты – самый популярный вариант исправления прикуса.

- Парафункции жевательных мышц,

- Бруксизм. Это состояние, при котором человек непроизвольно скрипит зубами и/или сжимает челюсти, часто усугубляется неправильным прикусом. Зачастую происходит в период сна.

- Клетчинг-привычка стискивать зубы в дневное время. Часто люди могут неосознанно сжимать челюсти или скрежетать зубами в моменты эмоционального напряжения.

- Ежедневное использование абразивных отбеливающих зубных паст и жестких зубных щеток.

Жёсткие зубные щётки могут стать причиной стираемости зубов.
Жёсткие зубные щётки могут стать причиной стираемости зубов.

- Частое употребление кислотной пищи и напитков. Кислоты вызывают деминерализацию эмали, что делает зубы более подверженными механическому износу и кариесу.

Частое употребление газированных напитков негативно сказывается на эмали.
Частое употребление газированных напитков негативно сказывается на эмали.

- Некоторые заболевания: например, гастроэзофагеальная рефлюксная болезнь (ГЭРБ), которая может привести к кислотной эрозии зубов и как следствие - к повышенной стираемости зубов.

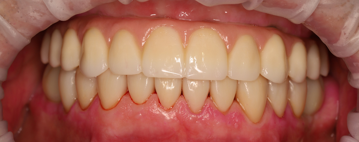
- Лечится ли патологическая стираемость?

- Лечение патологической стираемости зубов зависит от причин, которые её вызывают, степени повреждения и общего состояния зубной системы. Вот некоторые подходы, которые могут быть применены:

1. Используйте зубную щетку с мягкой щетиной и не прилагайте чрезмерных усилий при чистке,

2. Посетите ортодонта: часто стираемость зубов связана с неправильным прикусом, и здесь может потребоваться ортодонтическое лечение для коррекции зубного ряда,

3. При бруксизме (скрежет зубами) также не откладывайте посещение врача: вам может быть рекомендована специальная ночная капа для предотвращения скрежета зубами во сне,

Профилактические осмотры позволяют выявить заболевания на ранних стадиях и вовремя принять меры.
Профилактические осмотры позволяют выявить заболевания на ранних стадиях и вовремя принять меры.

4. Используйте защитные фторсодержащие средства для повышения прочности эмали и уменьшения её стираемости,

5. Уменьшите потребление кислых продуктов и напитков, так как они способствуют эрозии эмали,

6. Занимайтесь лечением заболеваний, которые могли вызвать стираемость зубов.

! Лечение должно проводиться индивидуально и под наблюдением квалифицированного стоматолога. Только специалист может оценить ситуацию и предложить оптимальные меры для защиты и восстановления зубов.

.

Стираемость требует особого внимания и может приводить к серьезным стоматологическим проблемам без своевременного лечения и профилактики. Если вы заметили изменения в состоянии ваших зубов или испытываете дискомфорт, незамедлительно обратитесь к стоматологу.

Записаться на консультацию в ПРАЙМ можно по телефону - 8(4912)292-000

_______________________________

Наши клиники в г. Рязань:

· Есенина, 110

· Советской армии, 9

· Бирюзова, 28а

· Интернациональная, 23

· Полетаева, 34 (клиника корпоративного университета)

www.prime-med.ru