Добавить в корзинуПозвонить
Найти в Дзене
Прайм-Стоматология

ТОП-5 мифов о винирах

Чем популярнее становятся виниры, тем больше вокруг них складывается легенд. Многие пациенты опасаются, что керамические реставрации могут нанести вред зубам или будут выглядеть неестественно. В итоге, мечта о красивой улыбке откладывается на неопределённый срок. В этом материале мы развеем самые популярные мифы о винирах, читайте далее! Перед установкой виниров доктор действительно препарирует верхний слой эмали для лучшего сцепления с керамикой. Однако, этот слой очень тонкий, зачастую затрагивающий только пределы эмали. Такое препарирование не нарушит жизнедеятельность зуба. ! В ПРАЙМе можно установить виниры на рефракторе*, толщина которых составляет всего 0,1-0,4мм. Пластинки получаются ультратонкими и требуют минимальной обточки зуба. *технология, по которой пластины изготавливаются из керамики с применением огнеупорной модели. Такое заблуждение скорее всего родилось после просмотра фотографий звёзд с ослепительно белыми зубами. Кэмерон Диас, Бен Аффлек, Виктория Бекхэм — лишь не
Оглавление

Чем популярнее становятся виниры, тем больше вокруг них складывается легенд. Многие пациенты опасаются, что керамические реставрации могут нанести вред зубам или будут выглядеть неестественно. В итоге, мечта о красивой улыбке откладывается на неопределённый срок.

В этом материале мы развеем самые популярные мифы о винирах, читайте далее!

Секрет голливудской улыбки кроется в … винирах.
Секрет голливудской улыбки кроется в … винирах.

МИФ 1. «Собственные зубы придётся сильно спилить, и они испортятся»

Перед установкой виниров доктор действительно препарирует верхний слой эмали для лучшего сцепления с керамикой. Однако, этот слой очень тонкий, зачастую затрагивающий только пределы эмали. Такое препарирование не нарушит жизнедеятельность зуба.

! В ПРАЙМе можно установить виниры на рефракторе*, толщина которых составляет всего 0,1-0,4мм. Пластинки получаются ультратонкими и требуют минимальной обточки зуба.

*технология, по которой пластины изготавливаются из керамики с применением огнеупорной модели.

Современные материалы настолько прочные и эстетичные, что необходима минимальная обработка тканей зуба.
Современные материалы настолько прочные и эстетичные, что необходима минимальная обработка тканей зуба.

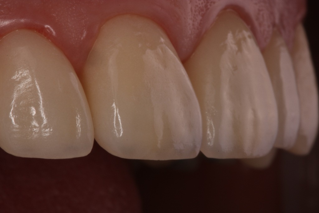
МИФ 2. «Виниры выглядят неестественно».

Такое заблуждение скорее всего родилось после просмотра фотографий звёзд с ослепительно белыми зубами. Кэмерон Диас, Бен Аффлек, Виктория Бекхэм — лишь немногие из тех, кто решился на новую, белоснежную улыбку. «Звёздные» реставрации, действительно, часто выглядят неестественно. Но здесь виновата не технология, а то, как её применили.

На самом деле, виниры выглядят так, как их смоделирует доктор с учётом ваших пожеланий. Современные материалы представлены широкой палитрой оттенков, которые подбираются под каждого пациента индивидуально.

Читайте в этом материале про другие преимущества керамических виниров.

Оттенок будущих керамических реставраций подбирается индивидуально.
Оттенок будущих керамических реставраций подбирается индивидуально.

МИФ 3. «Под винирами может развиться кариес»

Давайте разбираться, как появляется кариес!

Этот патологический процесс развивается после долго воздействия на эмаль различных кислот, которые образуются от зубного налёта. Кариес часто затрагивает «бугорки» жевательных зубов и прочие неровности.

Место соединения виниров и эмали всегда герметично, поэтому на эмаль кислоты никак не воздействуют.

Тренд 2024/2025 — это естественные улыбки!
Тренд 2024/2025 — это естественные улыбки!

МИФ 4. «За винирами сложно ухаживать»

Уход за керамическими реставрациями ничем не отличается от ухода за своими зубами. Всё, что от вас требуется - это соблюдать элементарные правила гигиены, раз в несколько месяцев проходить процедуру профессиональной гигиены и регулярно посещать стоматолога.

Одно из золотых правил — это профилактика, поэтому посещайте стоматолога 1 раз в полгода/год.
Одно из золотых правил — это профилактика, поэтому посещайте стоматолога 1 раз в полгода/год.

МИФ 5. «После установки виниров нужно исключить из рациона яркие и твёрдые продукты»

На самом деле, с керамическими винирами вы можете не ограничивать себя в еде.

Современные керамические реставрации, изготовленные по технологии e.max, очень прочные и не окрашиваются в течение всего периода ношения.

.

Записаться на консультацию по установке виниров в ПРАЙМ можно по телефону - 8(4912)292-000.

_______________________________

Наши клиники в г. Рязань:

· Есенина, 110

· Советской армии, 9

· Бирюзова, 28а

· Интернациональная, 23

· Полетаева, 34 (клиника корпоративного университета)

https://www.prime-med.ru/