Добавить в корзинуПозвонить
Найти в Дзене
Leon

Опущение десны лечение

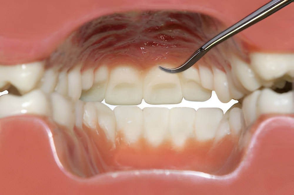
Опущение десны, или рецессия десны, является распространённой стоматологической проблемой, которая может привести к серьёзным последствиям, если вовремя не начать лечение. Это состояние характеризуется снижением уровня десневой ткани, что обнажает корень зуба, делает его более уязвимым к внешним воздействиям и повышает риск развития кариеса, повышенной чувствительности и даже потери зуба. Лечение опущения десны начинается с точной диагностики, которая включает осмотр у стоматолога, рентгенографию и, при необходимости, дополнительные исследования. Важно определить причину рецессии, так как она может быть вызвана различными факторами: неправильной гигиеной полости рта, агрессивной чисткой зубов, заболеваниями пародонта, анатомическими особенностями или даже генетической предрасположенностью. В зависимости от степени опущения и индивидуальных особенностей пациента, лечение может включать как консервативные, так и хирургические методы. Консервативное лечение направлено на устранение причин

Опущение десны, или рецессия десны, является распространённой стоматологической проблемой, которая может привести к серьёзным последствиям, если вовремя не начать лечение. Это состояние характеризуется снижением уровня десневой ткани, что обнажает корень зуба, делает его более уязвимым к внешним воздействиям и повышает риск развития кариеса, повышенной чувствительности и даже потери зуба.

Лечение опущения десны начинается с точной диагностики, которая включает осмотр у стоматолога, рентгенографию и, при необходимости, дополнительные исследования. Важно определить причину рецессии, так как она может быть вызвана различными факторами: неправильной гигиеной полости рта, агрессивной чисткой зубов, заболеваниями пародонта, анатомическими особенностями или даже генетической предрасположенностью.

В зависимости от степени опущения и индивидуальных особенностей пациента, лечение может включать как консервативные, так и хирургические методы. Консервативное лечение направлено на устранение причин рецессии и предотвращение её прогрессирования. Это может включать профессиональную чистку зубов, коррекцию техники чистки, использование специальных средств для ухода за полостью рта и лечение сопутствующих заболеваний, таких как гингивит или пародонтит.

В более сложных случаях, когда опущение десны значительное и сопровождается выраженными эстетическими или функциональными проблемами, может потребоваться хирургическое вмешательство. Одним из наиболее эффективных методов является трансплантация десневой ткани, при которой донорский материал или искусственные материалы используются для восстановления утраченной ткани. Этот метод позволяет не только устранить рецессию, но и улучшить внешний вид улыбки.

Важно помнить, что успех лечения во многом зависит от своевременного обращения к специалисту и соблюдения всех рекомендаций в послеоперационный период. Регулярные визиты к стоматологу, правильная гигиена полости рта и внимательное отношение к своему здоровью помогут предотвратить повторное развитие опущения десны и сохранить красоту и здоровье вашей улыбки на долгие годы.