Найти в Дзене
Parodoctor

Диоксид циркония против родной эмали - что будет с зубами через 10 лет

Покрыть верхний зубной ряд прочными коронками из диоксида циркония, а низ оставить без изменений (родные зубы и зубы, восстановленные из пломбировочного материала) - хорошая идея? Вот и пациентку нашу ничего не смутило. Коллег турецких 10 лет назад всё тоже устроило вполне. Подумаешь, прочность диоксида циркония 1200 МПа. Всего в каких-то незначительных 3 раза выше, чем у эмали зубов (380 МПа). Продержатся зубы! Продержатся же? Забегая вперёд - продержались, целых 10 лет прожили. Только вид заимели весьма пожульканный. Зато красиво. При улыбке у большинства людей задействованы фронтальные зубы верхней челюсти, а низом можно и пренебречь. Эстетика и понимание, что есть красиво - дело сугубо личное. Каждому своё. А теперь пройдёмся по проблемам более детально. Как я выше уже отметила, прочность диоксида намного выше прочности эмали зубов. Особенно тяжело приходится эмали зубов во фронтальном отделе (потому, что она тоньше той, что расположена в области жевательной группы зубов). Ничег
Оглавление

Покрыть верхний зубной ряд прочными коронками из диоксида циркония, а низ оставить без изменений (родные зубы и зубы, восстановленные из пломбировочного материала) - хорошая идея?

Вот и пациентку нашу ничего не смутило. Коллег турецких 10 лет назад всё тоже устроило вполне.

Подумаешь, прочность диоксида циркония 1200 МПа. Всего в каких-то незначительных 3 раза выше, чем у эмали зубов (380 МПа).

Продержатся зубы! Продержатся же?

Забегая вперёд - продержались, целых 10 лет прожили. Только вид заимели весьма пожульканный.

Зато красиво. При улыбке у большинства людей задействованы фронтальные зубы верхней челюсти, а низом можно и пренебречь. Эстетика и понимание, что есть красиво - дело сугубо личное. Каждому своё.

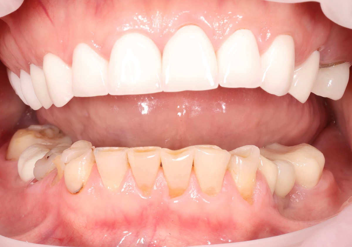
Улыбка до. Зубы нижней челюсти картину не портят
Улыбка до. Зубы нижней челюсти картину не портят

А теперь пройдёмся по проблемам более детально.

Какие проблемы получили родные зубы после взаимодействия с диоксидом циркония

1. Повышенная стираемость эмали

Как я выше уже отметила, прочность диоксида намного выше прочности эмали зубов. Особенно тяжело приходится эмали зубов во фронтальном отделе (потому, что она тоньше той, что расположена в области жевательной группы зубов).

Ничего страшного не должно случится, если циркониевые коронки будут меремежаться с родной эмалью и\или E-max реставрациями. Нагрузка будет распределена +\- равномерно. Тут же мы наблюдаем тотальное протезирование - все зубы верхней челюсти в диоксиде циркония. Низ не защищён.

Повышенная стираемость эмали
Повышенная стираемость эмали

Да, такое бывает и безо всяких реставраций, с возрастом, например. Но это лишь свидетельствует о перекосах в зубочелюстной системе. Подобная картина - не норма. Последствия серьёзны.

2. Снижение высоты прикуса

А вот и они, эти самые последствия:

Снижение высоты прикуса вследствие стирания эмали
Снижение высоты прикуса вследствие стирания эмали

Если зубы стали короче, чем они были - плохо? Конечно, ничего хорошего в этой деструктивной ситуации нет. Особенно, если процесс истирания идёт достаточно быстро - как в данном случае. Организм не успевает перестроиться и качественно компенсировать состояние. Получаем повышенную вероятность заиметь суставные проблемы. А сустав можно только компенсировать (не всегда), но не вылечить. Никому не советую доводить себя до органического поражения суставов и окружающих их структур.

Временные клинические коронки и поднятие высоты. Коронка на имплантате 4.6 прежняя
Временные клинические коронки и поднятие высоты. Коронка на имплантате 4.6 прежняя

3. Разрушение пломбировочных материалов

Пломбировочные материалы, в основе своей, ещё более нежные, нежели собственная эмаль человека. Это сделано не для того, что бы пломбы люди меняли как можно чаще. Это что бы не истирались родные ткани. Как современные передние части авто - они достаточно мягки, что бы при ДТП удар гасился, а водитель страдал меньше (ну или пешеход, которому не повезло оказаться на пути).

Сколы пломбировочного материала после взаимодействия с диоксидом циркония
Сколы пломбировочного материала после взаимодействия с диоксидом циркония

4. Рецессии, эрозии и клиновидные дефекты

Как следствие перегрузки тканей пародонта. Но тут, скорее, сочетание проблем - ортодонтическая патология (неправильный прикус и снижение высоты прикуса) + повышенная нагрузка на зубы нижней челюсти.

Перегрузка тканей пародонта
Перегрузка тканей пародонта

Пациентка находится на лечении у нас в клинике.

Поднимали высоту прикуса на временных реставрациях (сустав не пострадал), устанавливали виниры E-max на фронтальные зубы нижней челюсти, диоксид на зубах жевательной группы тоже подвергся замене. Впереди работа с зубами верхней челюсти - тоже под замену. Пациентка сама изъявила такое желание.

Верх - диоксид циркония турецкий, низ - E-max наш
Верх - диоксид циркония турецкий, низ - E-max наш

Этот случай точно ещё будет мною разбираться на канале, только уже с других ракурсов. Кстати, хоче сказать, что временные клинические коронки нормально выдержали испытание в несколько месяцев:

Временные клинические коронки
Временные клинические коронки

Работа бюджетная! Ни ортодонтии, ни сплинтов, ни лабораторных временных коронок и даже без пластики десны пришлось обойтись. Пациентка - давняя знакомая нашего ортопеда, Нохаева Мингияна Юрьевича. А именно он занимается этим клиническим случаем. Ну и сустав проверен по всем параметрам - проблем не имеет.

Вывод

Крепкая родная эмаль способна противостоять диоксиду циркония 10 лет, но нужно быть готовым к тому, что истирание произойдёт и высота прикуса будет утеряна. Кому-то повезёт не заполучить поражение суставов (ВНЧС), а кому-то - нет.

Помните, что даже вода камень точит. А уж тотальный цикроний гарантированно справится с природными зубами.

Цените родную, здоровую эмаль! А если не удалось, то приходите к нам, спасём.

Больше материалов по ортопедии:

Ортопедия и материалы | Parodoctor | Дзен

Живое сообщество - в моём тг канале. Там общение, ответы на вопросы, фото и видео наших работ. Для себя я выбрала одну соцсеть, где веду общение с подписчиками. Удобнее всего оказался тг.

С уважением, Лежачёва Наталия Александровна, хирург-пародонтолог и главный врач стоматологии Parodent, СПб.