Найти в Дзене
Lipetskmedia.ru

Собирали по кусочкам и ставили на ноги: как врачи спасали липчан в 2024 году

Липецкие медработники спасают пациентов каждый день. Но порой они совершают настоящие чудеса — дарят жизнь людям, упавшим с седьмого этажа, или собирают по кусочкам раздробленные кости ног.
Минувший год запомнился «Липецкмедиа» знаковыми операциями, ради которых раньше жителям приходилось ездить в другие регионы. «Липецкмедиа» собрал топ-5 самых классных историй спасения на операционном столе. Хотя ограничить этот список только пятью эпизодами было очень нелегко.
Мальчик выпал с седьмого этажа
На первой строчке нашего рейтинга — операция по спасению 14-летнего подростка, выпавшего ночью с седьмого этажа. Парень может отмечать второй День рождения.
Мальчик был в очень тяжелом состоянии. Операция длилась несколько часов, врачи удалили селезёнку и стабилизировали состояние пациента. Перед выпиской на контрольном УЗИ выяснилось, что у ребенка имелась добавочная доля селезёнки — шанс один на миллион. Парню жутко повезло. Со временем эта доля сможет взять на себя функцию удал

Липецкие медработники спасают пациентов каждый день. Но порой они совершают настоящие чудеса — дарят жизнь людям, упавшим с седьмого этажа, или собирают по кусочкам раздробленные кости ног.

Минувший год запомнился «Липецкмедиа» знаковыми операциями, ради которых раньше жителям приходилось ездить в другие регионы. «Липецкмедиа» собрал топ-5 самых классных историй спасения на операционном столе. Хотя ограничить этот список только пятью эпизодами было очень нелегко.

Мальчик выпал с седьмого этажа

На первой строчке нашего рейтинга — операция по спасению 14-летнего
подростка, выпавшего ночью с седьмого этажа. Парень может отмечать второй День рождения.

Мальчик был в очень тяжелом состоянии. Операция длилась несколько часов, врачи удалили селезёнку и стабилизировали состояние пациента. Перед выпиской на контрольном УЗИ выяснилось, что у ребенка имелась добавочная доля селезёнки — шанс один на миллион. Парню жутко повезло. Со временем эта доля сможет взять на себя функцию удаленного органа.

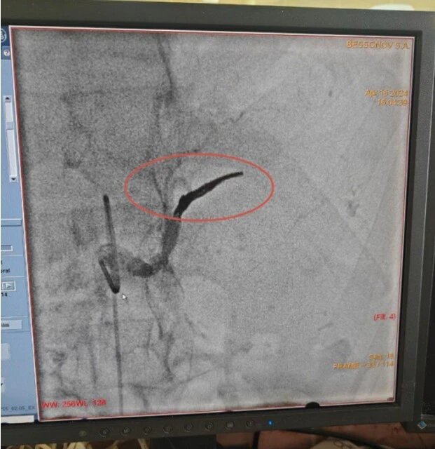
Операция на артерии длилась шесть часов

Шестичасовую операцию на крупной селезеночной артерии в минувшем году впервые в истории региона провели липецкие хирурги Владимир Анисимов и Алексей Литвиненко из областной клинической больницы. Им нужно было
купировать внутреннее кровотечение из крупной селезёночной артерии и спасти человека.

На хирургический стол попал 52-летний мужчина с обострением хронического заболевания. Но уже во время операции выяснилось, что тяжелый воспалительный процесс в поджелудочной железе разъел стенку сосуда и спровоцировал сильное внутреннее кровотечение. Пациент мог умереть в любую секунду.

-2

Однако благодаря хирургам этого не случилось, мужчину удалось спасти.

Пациента спасли от полной парализации

С жалобами на боль и онемение в ногах обратился к врачам житель Липецкой области. После МРТ стало ясно, что ситуация близка к критической — в спинном мозге образовалась опухоль. Пациенту грозила парализация ног.

-3

На помощь пришли врачи-нейрохирурги Леонид Осолодченко и Самир Исмаилов. Во время трёхчасовой операции они удалили опухоль микрохирургическим путем. Всё закончилось хорошо — мужчина ушёл домой на своих ногах.

Ноги девочки собрали по кусочкам

Двухлетняя девочка в ушедшем году попала в страшное ДТП. У малышки был перелом позвоночника и раздроблены кости обеих ног. Сначала врачи боролись за жизнь ребёнка, а потом спасали ее от ампутации. Кости пришлось
собирать по кусочкам.

Малышка больше трех недель находилась в детской областной больнице. Она пошла на поправку и смогла встать на ножки.

Металлоконструкции укрепили позвоночник

Замыкает рейтинг — операция по спасения от парализации 25-летнего мужчины, упавшего с большой высоты. Молодому человеку грозила перспектива навсегда быть прикованным к инвалидной коляске. У него был перелом первого поясничного позвонка. Под общим наркозом нейрохирурги Липецкой больницы скорой медицинской помощи Леонид Осолодченко и Газиз Алисултанов
провели операцию по декомпенсации спинного мозга, а затем транспедикулярную фиксацию сломанного позвонка с помощью современных металлоконструкций.

-4

Операция позволила пациенту быстро, буквально спустя два дня, встать на ноги. Если бы не металлоконструкцию, то мужчине пришлось бы долгое время лежать.