Добавить в корзинуПозвонить
Найти в Дзене

Исправление скученности зубов на брекетах: кейс стоматолога-ортодонта OrthoLike Ксении Устиновой

Скученность — наиболее распространенная аномалия прикуса. Согласно статистике эта патология присутствует у 30% детей и около 60% взрослых. Как думаете, любое отклонение от нормы в положении зубов требует коррекции? Возможно, есть ситуации которые можно оставить без изменения? Неправильное расположение зубов представляет собой не только эстетическую, но и функциональную проблему. Это приводит к нарушению физиологического смыкания единиц, что, в свою очередь, негативно сказывается на функционировании всей зубочелюстной системы. В таких ситуациях жевательная нагрузка распределяется неравномерно: некоторые зубы и их окружающие ткани подвергаются чрезмерной нагрузке, тогда как другие испытывают ее недостаток, что нарушает их полноценное питание. Ко мне в клинику обратилась молодая женщина с жалобами на неровные зубы, что вызывало у нее значительное беспокойство по поводу улыбки. В процессе первичного осмотра и диагностики были выявлены следующие проблемы: Для проведения ортодонтического леч

Скученность — наиболее распространенная аномалия прикуса. Согласно статистике эта патология присутствует у 30% детей и около 60% взрослых.

Как думаете, любое отклонение от нормы в положении зубов требует коррекции? Возможно, есть ситуации которые можно оставить без изменения?

Исправление скученности зубов на брекетах: до и после лечения
Исправление скученности зубов на брекетах: до и после лечения
Исправление скученности зубов на брекетах: до и после лечения
Исправление скученности зубов на брекетах: до и после лечения

Неправильное расположение зубов представляет собой не только эстетическую, но и функциональную проблему. Это приводит к нарушению физиологического смыкания единиц, что, в свою очередь, негативно сказывается на функционировании всей зубочелюстной системы. В таких ситуациях жевательная нагрузка распределяется неравномерно: некоторые зубы и их окружающие ткани подвергаются чрезмерной нагрузке, тогда как другие испытывают ее недостаток, что нарушает их полноценное питание.

Исправление скученности зубов на брекетах: до и после лечения
Исправление скученности зубов на брекетах: до и после лечения

Ко мне в клинику обратилась молодая женщина с жалобами на неровные зубы, что вызывало у нее значительное беспокойство по поводу улыбки.

Исправление скученности зубов на брекетах: до и после лечения
Исправление скученности зубов на брекетах: до и после лечения
Исправление скученности зубов на брекетах: до и после лечения
Исправление скученности зубов на брекетах: до и после лечения

В процессе первичного осмотра и диагностики были выявлены следующие проблемы:

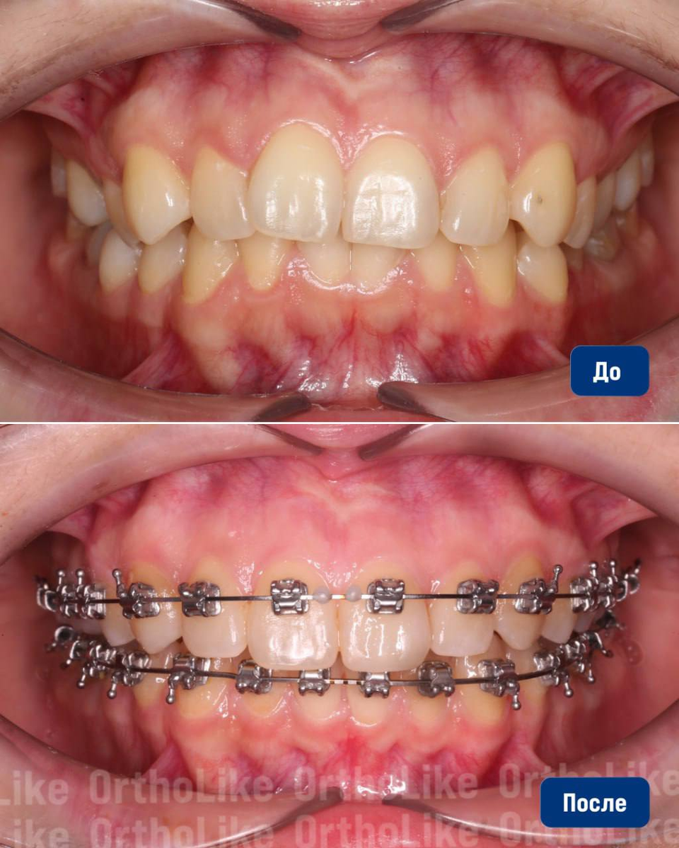
  • Значительная скученность зубов во фронтальной зоне
  • Скученность как верхнего, так и нижнего зубных рядов
  • Перекрестное соотношение зубов с правой стороны.
Исправление скученности зубов на брекетах: до и после лечения
Исправление скученности зубов на брекетах: до и после лечения

Для проведения ортодонтического лечения мы выбрали самолигирующую металлическую брекет-систему.

Исправление скученности зубов на брекетах: до и после лечения
Исправление скученности зубов на брекетах: до и после лечения

Лечение длилось чуть больше года, и мы уже на финишной прямой! Совсем скоро эта улыбка засияет без брекетов.

Исправление скученности зубов на брекетах: до и после лечения
Исправление скученности зубов на брекетах: до и после лечения

В ходе лечения нам удалось:

  • Скорректировать положение передних зубов, сделав их ровными.
  • Обеспечить правильное смыкание в боковой области.
  • Создать «дугу улыбки».

Проблемы с прикусом могут привести к более серьезным стоматологическим патологиям в будущем. Не откладывайте заботу о своей улыбке на потом! Запишитесь на бесплатную диагностику уже сегодня и станьте на шаг ближе к идеальной улыбке!

Исправление скученности зубов на брекетах: до и после лечения
Исправление скученности зубов на брекетах: до и после лечения

Специалисты нашей клиники OrthoLike предлагают каждому пациенту индивидуальный план лечения, который учитывает все особенности имеющегося прикуса и состояния зубов. Мы используем только современные методики и технологии, что позволяет добиваться отличных результатов в короткие сроки.

Стоматолог-ортодонт Ксения Устинова обладает важнейшими качествами врача: умением слушать и сопереживать. Каждый пациент на приеме ощущает максимальный комфорт и расслабление. Она — профессионал, безгранично преданный своему делу, перфекционист в работе, тщательно оценивающий как эстетические, так и функциональные аспекты лечения и обладающий вниманием к деталям.

Всегда с заботой о Вашем здоровье и красоте.
Ждем на консультации +7 (499) 288-18-21
Если Вам понравилась статья, ставьте лайк и подписывайтесь на наш канал. Больше информации на нашем сайте https://ortholike.ru.
Для наших пациентов действует акция по бесплатной диагностике и консультации ведущих врачей!
Переходите в наш бот в Телеграм или пишите нам в Whats App.