Найти в Дзене

Желчно-каменная болезнь. Советы больному.

Что такое желчнокаменная болезнь? Желчнокаменная болезнь, или холелитиаз, — это хроническое заболевание, при котором в желчном пузыре или желчных протоках образуются камни. Болезнь характеризуется рецидивирующим течением с периодами обострений, сопровождающимися желчной коликой. Часто она протекает бессимптомно, но может привести к серьёзным осложнениям, которые угрожают жизни больного. Распространенность Желчнокаменная болезнь (ЖКБ) — это распространённое заболевание органов пищеварения, которое встречается у 5-30% взрослого населения в мире. В среднем этот показатель составляет 10%. В последние годы заболеваемость желчнокаменной болезнью стремительно растёт. Например, в нашей стране этот показатель удваивается каждые 10 лет. В своей монографии о желчнокаменной болезни известный гастроэнтеролог, доктор медицинских наук, профессор и заслуженный деятель науки РФ В.А. Галкин пишет: «Как туча саранчи, надвигается на человечество холелитиаз — этот поистине бич, нависший над людьми. По самы
Д.м.н.. профессор ММА И.М.Сеченова, засл. деятель науки РФ В.А.Галкин (1928-2015 гг.) впервые в 1957 г. с А.С. Чечулиным открыли феномен кристаллизации билирубина и заложили основы профилактики камнеобразования в нашей стране, еще до развития болезни
Д.м.н.. профессор ММА И.М.Сеченова, засл. деятель науки РФ В.А.Галкин (1928-2015 гг.) впервые в 1957 г. с А.С. Чечулиным открыли феномен кристаллизации билирубина и заложили основы профилактики камнеобразования в нашей стране, еще до развития болезни

Что такое желчнокаменная болезнь?

Желчнокаменная болезнь, или холелитиаз, — это хроническое заболевание, при котором в желчном пузыре или желчных протоках образуются камни. Болезнь характеризуется рецидивирующим течением с периодами обострений, сопровождающимися желчной коликой. Часто она протекает бессимптомно, но может привести к серьёзным осложнениям, которые угрожают жизни больного.

Распространенность

Желчнокаменная болезнь (ЖКБ) — это распространённое заболевание органов пищеварения, которое встречается у 5-30% взрослого населения в мире. В среднем этот показатель составляет 10%.

В последние годы заболеваемость желчнокаменной болезнью стремительно растёт. Например, в нашей стране этот показатель удваивается каждые 10 лет.

В своей монографии о желчнокаменной болезни известный гастроэнтеролог, доктор медицинских наук, профессор и заслуженный деятель науки РФ В.А. Галкин пишет: «Как туча саранчи, надвигается на человечество холелитиаз — этот поистине бич, нависший над людьми. По самым скромным подсчётам, каждый десятый житель Земли испытывает мучения от желчных камней».

Причина развития ЖКБ

Холелитиаз — это заболевание, имеющее много причин возникновения. Однако, до сих пор не все его аспекты полностью изучены. Существуют две основные теории, объясняющие формирование желчных камней: воспалительная и невоспалительная (холестериновая).

В 1957 году В.А. Галкин и А.С. Чечулин открыли ранее неизвестное явление кристаллизации билирубина в ненасыщенном растворе желчи в условиях бактериального катарального воспаления желчного пузыря. Это явление было связано с понижением уровня кислотности желчи.

В настоящее время в развитых странах наблюдается значительный рост заболеваемости желчнокаменной болезнью (ЖКБ), что, вероятно, связано с повышением уровня холестерина в желчи. В последние годы, согласно исследованиям отечественных учёных, среди желчных камней стали преобладать холестериновые образования. Это может свидетельствовать о том, что нам удаётся предотвращать образование камней при воспалительных заболеваниях желчного пузыря.

Профессор В.А. Галкин сформулировал основные принципы профилактики ЖКБ: «Профилактика холелитиаза — это, прежде всего, современное лечение начальных заболеваний билиарной системы».

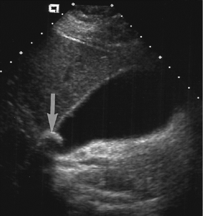
УЗИ желчного пузыря. Стрелкой показан камень желчного пузяря.
УЗИ желчного пузыря. Стрелкой показан камень желчного пузяря.

Симптомы

Основными признаками желчнокаменной болезни (ЖКБ) являются приступы мучительных болей в левой верхней части живота (под ложечкой). Эти боли возникают внезапно и, как правило, повторяются с определённой периодичностью. Обычно приступ провоцируется нарушениями в диете или физической нагрузкой, но иногда может начаться и без видимой причины, даже во сне.

Примечательно, что около 80% пациентов до появления боли не ощущали никаких признаков заболевания желчного пузыря и желчевыводящих путей.

Диагностика

Диагноз ЖКБ ставится на основе УЗИ и (или) рентгенологического исследования желчного пузыря – холецистографии.

В настоящее время УЗИ желчного пузыря при диагностике ЖКБ стал методом выбора. Преимуществом УЗИ является неинвазивный характер метода, отсутствие лучевой нагрузки, мобильность и не требует специальной подготовки больному. Достаточно пациенту воздержаться от питания 12 часов. Чувствительность и специфичность метода при диагностике ЖКБ равна примерно 95%. Современными аппаратами УЗИ можно выявить камни до 2 мм.

В некоторых случаях при ЖКБ проводиться холецистография с введением в организм йодсодержащих рентгенконтрастных веществ. Точность метода составляет 80-85%.

Прогноз

При своевременном обращении к врачу и начале лечения, прогноз благоприятный. Однако часто возникают осложнения желчнокаменной болезни, такие как острый холецистит, который может принять флегмонозную и гангренозную форму, а затем перейти в острый перитонит. Также возможно обтурация камнями желчевыводящих протоков развитием холестаза и механической желтухи.

Как предупредить развитие желчных камней?

· Чтобы предотвратить образование камней в желчном пузыре, рекомендуется обратить внимание на следующие моменты:

1. **Своевременная диагностика:** Важно выявлять ранние признаки воспалительных заболеваний желчного пузыря и незамедлительно начинать лечение.

2. **Контроль пресыщения желчи холестерином:** Поддержание правильного соотношения между холестерином, лецитином и желчными кислотами поможет предотвратить образование камней.

3. **Профилактика образования сладжа:** Регулярное обнаружение сладжа в желчном пузыре на ранних стадиях является основой для проведения профилактических мероприятий.

4. **Соблюдение диеты:** Правильно составленный рацион питания, который предотвращает развитие воспалительных процессов в желчном пузыре, а также увеличению потребления воды, является неотъемлемой частью профилактики образования камней.

Наиболее надежным методом диагностики начальных стадий камнеобразования является дуоденальное зондирование, которое включает микроскопическое и биохимическое исследование желчи.

Как предупредить развитие желчных камней?

· Рекомендуется диагносцировать ранние проявления воспалительных заболеваний желчного пузыря и их настойчиво лечить.

· Своевременно обнаружить пресыщение желчи холестерином и нарушения соотношения холесьтерин-лецитин-желчные кислоты в желчи и начать профилактические мероприятия;

· Раннее выявление т.н. сладжа (или песка) в желчном пузыре и начать профилактические мероприятия;

· Соблюдать диету, предупреждать развитие воспалительных заболеваний желчного пузыря, снизить уровень холестерина в крови, пить больше воды.

Наиболее достоверным методом выявления начальных форм камнеобразования является дуоденальное зондирование с микроскопическим и биохимическим исследованием желчи.

Лечение

Лечение назначает лечащий врач. При подозрении развития желчнокаменной болезни необходимо обязательно надо обратиться своему лечащему врачу. Все диагностические мероприятия и профилактическое лечение проводится под контролем врача.

При обнаружении камней в желчном пузыре вопрос хирургического лечения заболевания принимает врач. Методом выбора при лечении желчнокаменной болезни является лапароскопическая холецистэктомия. Но следует отметить, что холецистэктомия имеет и свои осложнения, а самое главное в отдаленном будущем после холецистэктомии могут развиться и другие серьезные осложнения. Таким образом, самый лучший путь это предупредить развитие самого камня в желчном пузыре. В настоящее время это стало возможным в нашей стране, благодаря усилиям профессора В.А.Галкина.