Найти в Дзене

Язвенная болезнь. Советы больному.

Что такое язвенная болезнь желудка и 12-перстной кишки? Язвенная болезнь желудка и двенадцатиперстной кишки — это хроническое заболевание, которое характеризуется периодическими рецидивами. В большинстве случаев оно вызывается бактерией Helicobacter pylori. Заболевание проявляется образованием язв на слизистой оболочке желудка и двенадцатиперстной кишки. Язвенная болезнь желудка и двенадцатиперстной кишки имеет склонность к рецидивирующему течению, с периодами обострения и спонтанными ремиссиями. Она может привести к развитию внезапных осложнений, которые могут угрожать жизни пациента. Распространенность Язвенная болезнь — это самое распространённое заболевание желудочно-кишечного тракта после хронического гастрита и дуоденита. По всему миру распространённость язвенной болезни среди взрослого населения составляет от 4 до 16,2%. Уровень заболеваемости среди сельского населения значительно ниже, чем среди городского. Это связано с генетическими особенностями различных этнических групп, а

Что такое язвенная болезнь желудка и 12-перстной кишки?

Язвенная болезнь желудка и двенадцатиперстной кишки — это хроническое заболевание, которое характеризуется периодическими рецидивами. В большинстве случаев оно вызывается бактерией Helicobacter pylori. Заболевание проявляется образованием язв на слизистой оболочке желудка и двенадцатиперстной кишки.

Язвенная болезнь желудка и двенадцатиперстной кишки имеет склонность к рецидивирующему течению, с периодами обострения и спонтанными ремиссиями. Она может привести к развитию внезапных осложнений, которые могут угрожать жизни пациента.

Распространенность

Язвенная болезнь — это самое распространённое заболевание желудочно-кишечного тракта после хронического гастрита и дуоденита. По всему миру распространённость язвенной болезни среди взрослого населения составляет от 4 до 16,2%.

Уровень заболеваемости среди сельского населения значительно ниже, чем среди городского. Это связано с генетическими особенностями различных этнических групп, а также с традициями питания и низкой подверженностью стрессам.

Причина развития язвенной болезни

Чаще всего причиной язвенной болезни является бактерия Пилорический хеликобактер, которая колонизирует слизистую оболочку желудка и двенадцатиперстной кишки.

Исследования показали, что эти бактерии разрушают защитный барьер слизистой оболочки, состоящий из слизи и бикарбоната, что приводит к повышению агрессивности желудочного сока. Именно увеличение кислотности желудочного сока при наличии бактерии Пилорический хеликобактер становится главным патофизиологическим механизмом развития язвенной болезни.

Симптомы

Язвенная болезнь — это серьёзное заболевание, которое характеризуется болью, изжогой, тошнотой, рвотой и чёрным стулом, если есть кровотечение.

Симптомы язвенной болезни двенадцатиперстной кишки обычно более выражены. Боли в этом случае появляются натощак или ночью. Они могут быть разными: ноющими, тупыми, жгучими, схваткообразными, режущими, сверлящими. Обычно боль нарастает и достигает максимальной интенсивности, заставляя больного принимать вынужденное положение — лёжа на животе, на боку или с подтянутыми к животу ногами.

Диагностика

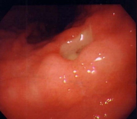
Диагноз язвенной болезни желудка и двенадцатиперстной кишки ставится на основании эндоскопического и/или рентгенологического исследования этих органов.

Для подтверждения диагноза пациентам обычно назначаются следующие диагностические процедуры:

1. **Фиброгастроскопия** — осмотр слизистой оболочки желудка и двенадцатиперстной кишки с помощью специального прибора — фиброгастроскопа. Это исследование должно проводиться неоднократно, чтобы контролировать процесс заживления язвенного дефекта на слизистой. Во время эндоскопии обязательно выполняются биопсии с краев язвы для проведения гистологических исследований, что позволяет исключить рак.

2. Рентгенологическое исследование желудка и двенадцатиперстной кишки с использованием бария (в настоящее время используется крайне редко).

3. Диагностика наличия в слизистой бактерии Пилорического хеликобактера: «уреазный тест», иммуноферментный анализ или гистологическое исследование биоптата слизистой оболочки желудка, позволяющие выявить присутствие бактерий.

4. Проведение пробы на скрытую кровь в кале.

5. Исследование желудочной секреции: суточная рН-метрия, с помощью которой можно определить кислотность желудка в течение суток в зависимости от различных факторов, таких как положение лежа или стоя, курение, прием пищи, лекарств и других. Этот метод наглядно демонстрирует, например, повышение кислотности при курении.

Прогноз

Если своевременно обратиться за медицинской помощью и начать лечение, прогноз обычно благоприятный. Однако язвенная болезнь может привести к серьезным осложнениям, таким как прободение, кровотечение или сужение (стеноз) из-за рубцовых изменений.

Если язвенная болезнь протекает долго и затрагивает желудок, есть риск развития рака желудка.

Как предупредить развитие рака?

· **Настойчиво лечитесь** и избавляйтесь от бактерий, что поможет вам выздороветь.

· **Включите в свой ежедневный рацион** продукты, богатые аскорбиновой кислотой (витамин С), бета-каротином и витамином А. Эти вещества играют важную роль в поддержании здоровья.

· **Раннее выявление рака желудка** — это залог успешного лечения. Поэтому:

– Регулярно сдавайте тест на скрытую кровь в кале.

– Не реже одного раза в год проходите фиброгастроскопическое исследование желудка.

Лечение

Обычно лечение больных проводится в условиях стационара. Однако с появлением новых, высокоэффективных препаратов, таких как блокаторы Н2-рецепторов и протонных насосов, а также других средств, стационарное лечение не всегда является необходимым.

Терапия должна быть комплексной и включать в себя:

* Диетическое питание;

* Применение противоязвенных средств;

* Отказ от курения и употребления алкоголя;

* Исключение из рациона препаратов, вызывающих язву (нестероидных противовоспалительных средств, соляной кислоты, ферментных препаратов и т. д.).

Если в слизистой желудка были обнаружены бактерии, то обязательным этапом лечения является антибиотикотерапия, которая значительно снижает риск рецидивов.