Найти в Дзене
Середина неба

Пяточная шпора прямо в сердце

Я даже не могу назвать момента когда это началось. Где то летом. Стало больно вставать на пятку. А потом я помню,как пошла гулять, а обратно на своих двоих дойти уже не смогла. От адской боли,будто в пятку воткнули гвоздь. Муж забрал меня с остановки,где я сидела, измученная этой острой ,и одновременно тягучей болью. По всем симптомам это плантарный фасциит- воспаление фасции. Во всех статьях в причинах значится лишний вес, плоскостопие, возраст за 40... Ничего из этого у меня нет. С какого перепугу он меня настиг!? Есть подозрение,что из за особенности походки неверно распределяется нагрузка на стопу- всегда справа у меня были стоптаны больше набойки на обуви, шпора тоже справа. Больше всего на свете я любила ходить. Для меня 20 километров по городу пешком было в радость.  Когда ещё ходила по ученикам ( я репетитор), ходила пешком по часу в одну сторону. Для меня это как медитация, пейзаж сменяется перед глазами, время поразмышлять обо всем. И вот именно этого я лишилась. Теперь даж

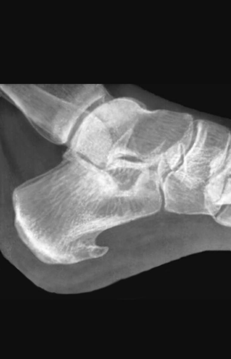
По ощущениям,у меня уже как то так,при чем шип растет вниз...
По ощущениям,у меня уже как то так,при чем шип растет вниз...

Я даже не могу назвать момента когда это началось. Где то летом. Стало больно вставать на пятку. А потом я помню,как пошла гулять, а обратно на своих двоих дойти уже не смогла. От адской боли,будто в пятку воткнули гвоздь. Муж забрал меня с остановки,где я сидела, измученная этой острой ,и одновременно тягучей болью.

По всем симптомам это плантарный фасциит- воспаление фасции. Во всех статьях в причинах значится лишний вес, плоскостопие, возраст за 40... Ничего из этого у меня нет. С какого перепугу он меня настиг!? Есть подозрение,что из за особенности походки неверно распределяется нагрузка на стопу- всегда справа у меня были стоптаны больше набойки на обуви, шпора тоже справа.

Больше всего на свете я любила ходить. Для меня 20 километров по городу пешком было в радость. 

Когда ещё ходила по ученикам ( я репетитор), ходила пешком по часу в одну сторону. Для меня это как медитация, пейзаж сменяется перед глазами, время поразмышлять обо всем.

И вот именно этого я лишилась. Теперь даже лёгкая нагрузка на ногу даёт усиление боли (и,видимо,воспаления). Пятку эту дёргает. Лечение даёт временный эффект ,но стоит дать нагрузку,хоть пол часа- все по новой.

Ощущение ,будто мое тело меня предало... Ну а теперь ещё и лишний вес , обе без физической активности +10 кг. Замкнутый круг какой то...