Найти в Дзене

Дисплазия ТБС/эндопротезирование суставов

Итак, продолжаем нашу историю лечения дисплазии... напомню, что началось всё с щенячества, где первым решением была миопластика средне ягодичной мышцы - https://dzen.ru/a/Zw9VU1MkymPUX4M8 здесь описано начало нашего пути. В завершении восстановительно периода после миопластики, мы постепенно увеличивали нагрузку бегательную, чтобы нарастить мышечную массу. Нужно отдельно отметить и немного забежать в перед - то что мы как итог пришли к протезированию совершенно не говорит о том, что миопластика была не эффективна, как раз наоборот; благодаря ей мышцы использовались более правильно и щадяще воздействовало на суставы, да чуда не произошло, но не делая её Джеки перестала бы ходить в возрасте около двух лет, а так мы не просто ходили, но и укрепили мышечную массу на жопке). Контрольная явка к ортопеду для оценки формирования суставов была назначена на полуторалетний Джекин возраст, что мы и сделали. Где врач отметила мою ответственность (хотя я бы это назвала тревожностью), объяснив это т
Оглавление
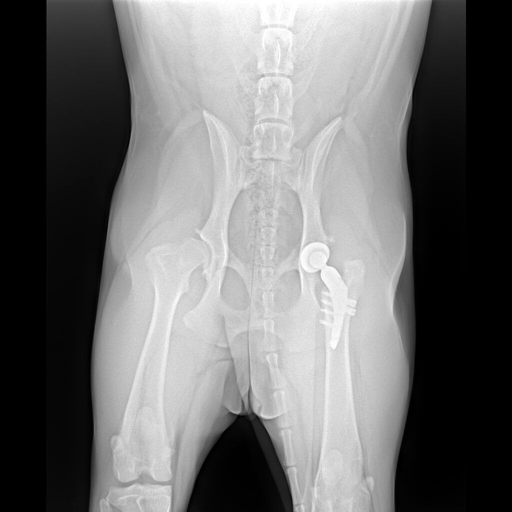
левая сторона - протез/правая сторона - разрушенный сустав, который под замену в 25м году.
левая сторона - протез/правая сторона - разрушенный сустав, который под замену в 25м году.

Итак, продолжаем нашу историю лечения дисплазии... напомню, что началось всё с щенячества, где первым решением была миопластика средне ягодичной мышцы - https://dzen.ru/a/Zw9VU1MkymPUX4M8 здесь описано начало нашего пути.

В завершении восстановительно периода после миопластики, мы постепенно увеличивали нагрузку бегательную, чтобы нарастить мышечную массу. Нужно отдельно отметить и немного забежать в перед - то что мы как итог пришли к протезированию совершенно не говорит о том, что миопластика была не эффективна, как раз наоборот; благодаря ей мышцы использовались более правильно и щадяще воздействовало на суставы, да чуда не произошло, но не делая её Джеки перестала бы ходить в возрасте около двух лет, а так мы не просто ходили, но и укрепили мышечную массу на жопке).

Контрольная явка к ортопеду для оценки формирования суставов была назначена на полуторалетний Джекин возраст, что мы и сделали. Где врач отметила мою ответственность (хотя я бы это назвала тревожностью), объяснив это тем, что как правило после данной операции собаке действительно становится лучше, боли или уходят, ну или как минимум становятся тише, поэтому, видя положительный эффект, люди просто не возвращаются. И их в этом можно понять - поездка в клинику всегда стресс и финансовые траты.

На приёме первым делом была оценка походки Джеки - как она пользуется задними лапами и визуальное определение отличия (непропорциональности) переда собаки от зада, так как сама по себе дисплазия вызывает именно такие явления из за перераспределения собакой нагрузки для облегчения болей, в следствии чего грудь и перед ставится более крепким, а таз и задние конечности заметно меньше в объеме из за атрофии мышц. Так вот у Джеки такого "перекоса" не было, что конечно меня обрадовало, но рано...

Следующим этапом оценки таза были снимки самих суставов, где стало понятно, что избежать более сложных вмешательств не получится... и выбор пал на протезирование по следующим причинам : Джеки молодая (вся жизнь только впереди) и мне бы пришлось пожизненно её обезболивать, а хорошее обезболивние это:

Превикокс (средняя цена 6т за 30 таблеток), Онсеор (8т за 28 таблеток), Трококсил (2 таблетки на 2 месяца 12т) «Имеются противопоказания к применению и использованию ПРЕПАРАТОВ, необходимо ознакомиться с инструкцией по применению или получить консультацию специалиста».

естественно это цены на мою собаку, мы крупные, надо понимать - чем меньше зверюга тем дешевле, но всё же пожизненно, и получается это очень дорого, а в пересчете на минимальные 10 лет жизни собаки, что не факт потому что качество жизни далеко не лучшее, т е есть и риски более раннего ухода собаки, все таки боль и пилюли это такое себе в масштабах постоянности, ну и сумма таблеток на целую жизнь получится внушительная.

Приведу пример по состоянию собаки, представьте что у вас всё время болит голова, то больше то меньше, но всегда... наверное через месяц появится раздражительность на жизнь в целом, сложно её любить, испытывая постоянно страдания, так и собака, испытывая непроходящие ноющие боли суставные, будет далека от благополучия, что и на поведении сказывается естественным образом.

Протезирование же позволяет вернуть практически полный функционал конечностей и избавляет от вечных болей при движении (кости просто стираются друг об друга и именно это вызывает воспаление и боль),

«Имеются противопоказания по проведению данного вмешательства, необходимо получить консультацию специалиста».

на правой стороне снимка выше можно увидеть разрушенный сустав, где головка бедра явно не круглой формы, а вертлужной впадины как таковой вообще нет, сам сустав живет за счет мышечной массы, за что спасибо миопластике; в норме у собаки бедренная кость сидит полотно в тазовой кости, имеет ровные округлые формы. Протезированная сторона у нас может считаться здоровой. Да дорого (но как мы видим из расценок выше из протезирования вырисовывается разовая крупная трата, зато в перспективе экономия и долгие годы без болей), да сложная реабилитация, но если выбирать между страданиями пожизненными и благополучием собаки, по мне так выбор очевиден.

Заказали протез, его подбирают индивидуально, от этого зависит и цена так скажем, нет смысла расписывать стоимость так как она может оказаться не актуальной, мы с вами живем в непредсказуемое время, где и метал пляшет в ценах и из за санкций логистика только дорожает.... сегодня протез стоит 100т, а завтра - кто знает, что будет завтра?!... дождались получения протеза клиникой и преступили к самой замене больного сустава на искусственный. конечности оперируют по очереди, так как параллельно (сразу две) делать нельзя, у собаки должна быть опорная нога для долгой реабилитации. Обязательное уточнее, протезирование сложная инженерно-хирургическая работа, но это только половина дела...

После операции будет длительный период реабилитации: первая точка послоблений ограничетильных подвижности мер - 3 месяца, за этот период восстанавливаются мышцы, связки и мягкие ткани в целом. вторая точка это 6 месяцев к этому времени завершается процесс врастания протезных компонентов в костные структуры вокруг протеза. косточки как бы обрастают вокруг протеза (сам протез а именно "стыковочные" компоненты имеют пористую структуру), что позволяет добиться еще большей и естественной устойчивости протеза, на врачебном языке это называется интеграцией. и так мы видим, что реабилитация более долгий путь, чем сама операция. но нельзя упускать тот факт, что операция сложная, длительная. операция длится не меньше 3х часов (оооочень рекордную не экономить на наркозе, газовый на такой срок эффективнее так как всё время контролируется анестезиологом и более безопасен в принципе). далее собаку переводят в стационар, где она находится не менее трех дней под наблюдением врачей (срок прибывания в стационаре регулируют врачи, раньше трех дней не отдадут, а дальше зависит от состояния собаки, тут стоит доверится врачам, так как операция всё таки очень сложная).

пока Джеки находилась в стационаре я не тратила время на переживания, а занялась подготовкой квартиры. разобрала все диваны и убрала в другую комнату это нужно для исключения заскакивания, пока это движение под запретом, из за вероятности вывиха протеза или (не дай бог) перелома косточек (они травмированы операцией и будут нуждаются в спокойствии для восстановления), и дальше я бросила матрас на пол, Джеки спит со мной (единственное существо с кем разделить постель на время сна, я не против)))). матрас на полу, что бы так же не скакала, на ближайшие полгода лучше вести "напольную" жизнь, разделяя ее с собакой, что бы не было даже соблазна прыгнуть. идем дальше, весь пол в квартире я застелила ковролином, что бы исключить и подскальзывания. под миску с водой я подложила силиконовый коврик (диаметром больше чем миска) с бортиками, что бы вода не попадала на пол, моя Джеки пьет как поросенок))).

Квартира готова, мы слава богу пробыли в стационаре положенные три дня не больше, что было добрым знаком - отсутствие осложнений. пользоваться протезированной ногой Джеки начала на следующий день после операции, конечно хромала, конечно это ожидаемо. Еще моменты обязательные для подготовки к реабилитации это надо купить или сшить поддержку под живот, что бы помогать собаке подниматься и спускаться по лестнице. (мы живем на третьем этаже и дом без лифта)

-2
Транспортировочный бандаж для собак при дисплазии, артрите, травмах, пожилом возрасте купить на OZON по низкой цене (1314352703)

мы использовали вот такую поддержку, так как мы к операции готовились заранее, успели попробовать разные, эта оказалась самой удобной, меховая подкладка внутри, которая не трет животик, единственное я нашила пуговицу и застежку, что бы поддержка всегда была закрепленана время прогулки, а у меня были свободные руки.

очень удобная замена пластиковой "люстры", швы нужно снимать и 14 дней собаке будет легче
очень удобная замена пластиковой "люстры", швы нужно снимать и 14 дней собаке будет легче

самое сложное в реабилитации - это невозможность объяснить зверюге, что нужно беречься, конечно все собаки разные по темпераменту и кто то сам по себе спокоен, а Джеки например, молодая и бешенная. через 7 дней после операции она уже просилась погулять без поводка, когда операционные боли стихают, становится сложно уговаривать вести лежачий образ жизни. главное проявить стойкость, и понимать, то что собаке стало лучше, совершенно не говорит о том что можно физически нагружать собаку, и любые послабления могут закончиться как минимум поездкой в клинику как максимум новой операцией. мы шагали строго по врачебному плану - короткие гигиенические прогулки и лежачий режим (первый месяц); со втрого месяца по третий включительно увеличивать можно только шаговую нагрузку, исключая игры с собаками и всё что быстрее шага). с четвертого по шестой месяц можно нашагивать, но сквозь все 6 месяцев строго гулять на поводке. мы на третьем месяце сменили 2х метровый поводок на 5 метров, Джеки была счастлива и этому "серьезно - можно отойти от тебя?!" читалось в её глазах.

что хочется отметить отдельно - сложнее всего морально, я переживала за каждое движение и прочее, даже камеру дома поставила)))

Как помочь собаке в реабилитационном периоде - стоит описать отдельно. следующая публикация будет посвящена этому.

И так же, обращаю ваше внимание, данный текст исключительно наш личный с Джеки опыт, я не в врач и не кинолог. Вот в следующей публикации очень надеюсь на участие нашего кинолога, благодаря чьим рекомендациям по разгрузке собаки мы более легче перенесли реабилитацию и усилили нашу связь с Джеки.