Добавить в корзинуПозвонить
Найти в Дзене
Прайм-Стоматология

Что делать, если произошла травма зуба

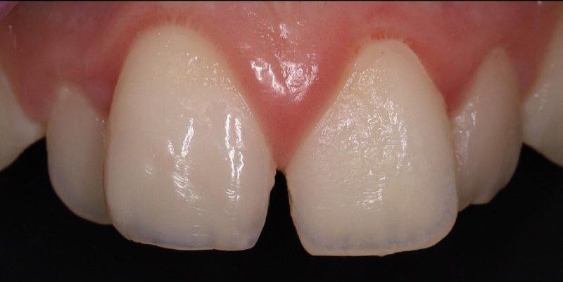
По статистике клиник ПРАЙМ, количество зубных травм на новогодние праздники всегда возрастает. Пациенты обращаются к нам с самыми разными случаями: сколами, вывихами, трещинами зубов. К сожалению, от таких неприятностей не застрахованы ни взрослые, ни дети. Какие бывают травмы зубов, и что делать в случае их возникновения – читайте далее. Итак, травма зуба произошла. Важно сохранить спокойствие и оценить степень повреждения. Травмы бывают разные: - зуб частично/полностью выбит. Есть шанс восстановить такой зуб, если действовать мгновенно. Постарайтесь найти фрагмент зуба и, держа его за коронковую часть (корень трогать нельзя!), поместите в физраствор/молоко. Эти жидкости помогут сохранить клетки зуба и повысят шансы дальнейшего восстановления. Важно в течение 30-60 минут после травмы обратиться к стоматологу! Если фрагмент найти не удалось, не расстраивайтесь. Опытные доктора клиник ПРАЙМ смогут восстановить контуры зуба с помощью композитной реставрации. Смотрите на фото ниже приме

По статистике клиник ПРАЙМ, количество зубных травм на новогодние праздники всегда возрастает. Пациенты обращаются к нам с самыми разными случаями: сколами, вывихами, трещинами зубов. К сожалению, от таких неприятностей не застрахованы ни взрослые, ни дети.

Какие бывают травмы зубов, и что делать в случае их возникновения – читайте далее.

 Наши доктора готовы помочь Вам даже новогодние праздники!
Наши доктора готовы помочь Вам даже новогодние праздники!

Итак, травма зуба произошла. Важно сохранить спокойствие и оценить степень повреждения. Травмы бывают разные:

- зуб частично/полностью выбит.

Есть шанс восстановить такой зуб, если действовать мгновенно. Постарайтесь найти фрагмент зуба и, держа его за коронковую часть (корень трогать нельзя!), поместите в физраствор/молоко. Эти жидкости помогут сохранить клетки зуба и повысят шансы дальнейшего восстановления.

Важно в течение 30-60 минут после травмы обратиться к стоматологу!

Если фрагмент найти не удалось, не расстраивайтесь. Опытные доктора клиник ПРАЙМ смогут восстановить контуры зуба с помощью композитной реставрации.

Смотрите на фото ниже пример такой реставрации, в данном случае травма произошла у ребёнка.

- зуб треснул.

Это повреждение не так критично по сравнению со сколом, но визит к стоматологу откладывать не стоит. Дело в том, что трещина может вызывать дальнейшее разрушение зуба и увеличивает риск инфицирования.

Исключите сильные нагрузки на повреждённый зуб!

- после ушиба зуб почернел.

Зуб остаётся на месте, но окружающие его ткани пострадали.

В таком случае важно обеспечить полную неподвижность повреждённого зуба и записаться в стоматологическую клинику в ближайшее время.

При ушибе зуба возможна гибель зубной пульпы.
При ушибе зуба возможна гибель зубной пульпы.

- зуб на месте, но смотрит в сторону.

Когда связь зуба с лункой потеряна, то речь идёт о вывихе.

Это самая распространённая детская травма.

Вывихи бывают разные: полные, неполные, с переломом коронки или без. Если незамедлительно обратиться к доктору, шансы спасти зуб довольно высоки.

Некоторые травмы зуба могут быть устранены путём шинирования.
Некоторые травмы зуба могут быть устранены путём шинирования.

При травме зуба важно не терять времени и сразу же приступать к активным действиям. Чем быстрее Вы получите медицинскую помощь, тем больше шансов сохранить зуб и с меньшими затратами вернуть красивую улыбку.

Доктора клиник ПРАЙМ всегда готовы помочь Вам даже в самых сложных случаях, записывайтесь на приём по номеру - (4912)292-000.

________________________________

Наши клиники в г. Рязань:

· Есенина, 110

· Советской армии, 9

· Бирюзова, 28а

· Интернациональная, 23

· Полетаева, 34 (клиника корпоративного университета)

https://www.prime-med.ru/