Найти в Дзене
MY ORT

Давно отсутствует зуб и мало места для коронки? Раздвигаем зубы под имплантацию с помощью брекетов.

Многие из нас уверены, что ортодонтическое лечение - это исключительно детская забота. И если в детстве нам не поставили брекеты, а сейчас зубы кривые, то ничего страшного не произойдет, ведь это вопрос только эстетики. Зубы выпадут, поставим импланты, либо вообще ALL-ON-4/6 и проблема решена, ведь так? Это не так. И сегодня я - врач-ортодонт, гнатолог Зинченко Илья Станиславович покажу наглядный пример почему ортодонтическое лечение так важно перед имплантацией. Девушка 31 год. Первая консультация девушки была у врача-хирурга по поводу имплантации в области отсутствующих зубов (4 и 5 зуб на верхней челюсти отсутствуют). После осмотра хирург направил ее ко мне (ортодонту) для исправления прикуса и создания условий под имплантацию и протезирование. После тщательного анализа ситуации я предложил несколько вариантов плана лечения: 1. Ортодонтическое лечение на брекет-системе с челюстно-лицевой операцией. 2. Удаление 4 премоляров. 3. Удаление 4 зубов мудрости и компенсация прикуса при
Оглавление

Многие из нас уверены, что ортодонтическое лечение - это исключительно детская забота. И если в детстве нам не поставили брекеты, а сейчас зубы кривые, то ничего страшного не произойдет, ведь это вопрос только эстетики. Зубы выпадут, поставим импланты, либо вообще ALL-ON-4/6 и проблема решена, ведь так?

Это не так. И сегодня я - врач-ортодонт, гнатолог Зинченко Илья Станиславович покажу наглядный пример почему ортодонтическое лечение так важно перед имплантацией.

Исходная ситуация. Жалобы пациентки

Девушка 31 год.

Первая консультация девушки была у врача-хирурга по поводу имплантации в области отсутствующих зубов (4 и 5 зуб на верхней челюсти отсутствуют). После осмотра хирург направил ее ко мне (ортодонту) для исправления прикуса и создания условий под имплантацию и протезирование.

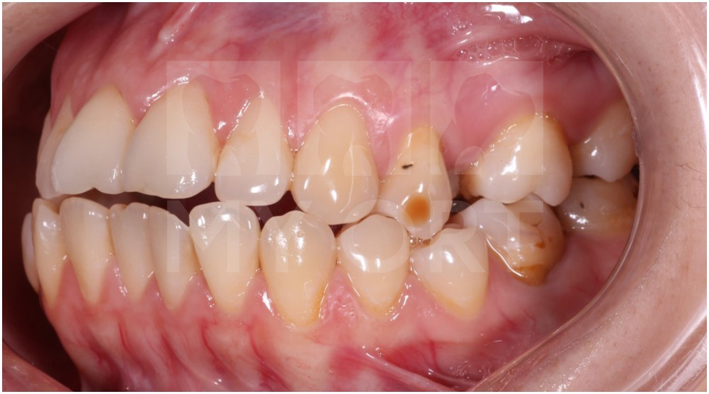
Верхняя челюсть ДО
Верхняя челюсть ДО
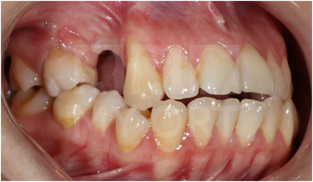
Нижняя челюсть ДО
Нижняя челюсть ДО

План ортодонтического лечения

После тщательного анализа ситуации я предложил несколько вариантов плана лечения:

1. Ортодонтическое лечение на брекет-системе с челюстно-лицевой операцией.

2. Удаление 4 премоляров.

3. Удаление 4 зубов мудрости и компенсация прикуса при помощи минивинтов в 4 сегментах.

Мы с пациенткой выбрали третий способ.

Ход лечения

Я зафиксировал комбинированную брекет-систему (керамическую на верхнюю челюсть+металлическую на нижнюю челюсть).

Через 2 месяца после начала ортодонтического лечения были установлены минивинты и подключены эластические тяги, что позволило начать процесс выравнивания зубного ряда.

Эластические тяги
Эластические тяги
минивинт
минивинт
-6

Через 12 месяцев был подключен небно расположенный премоляр (та самая кривая 5-ка) для установки его в зубной ряд.

Наш 5-ый зуб ДО
Наш 5-ый зуб ДО

Через 2 месяца пятый зуб уже встал в зубной ряд.

-8

Результат спустя 16 месяцев ортодонтического лечения.

Результат лечения через 16 месяцев
Результат лечения через 16 месяцев

Результат

Всё лечение заняло 26 месяцев. Посмотрите какой результат у нас получился. Я и моя пациентка очень им довольны!

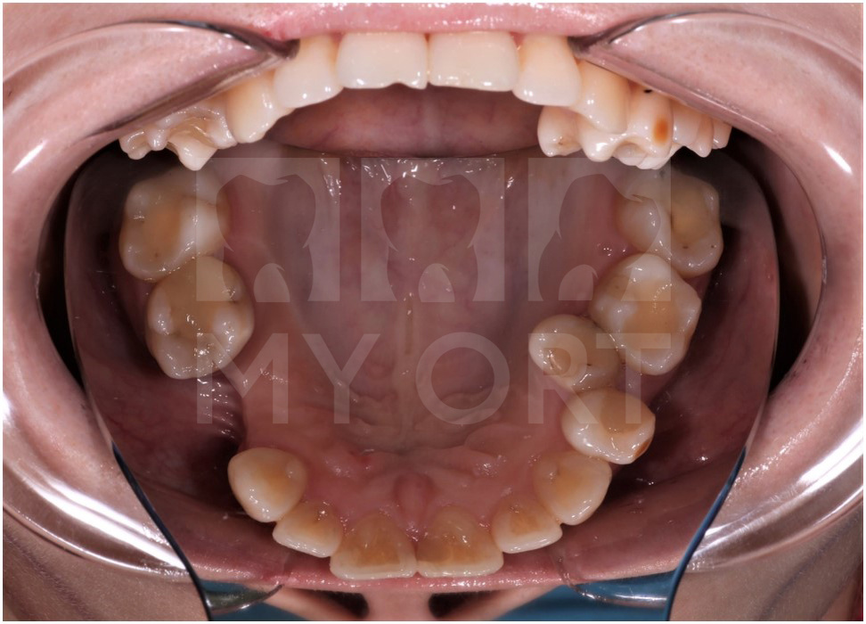
Результат после
Результат после

Дальше пациентке нужна костная пластика, имплантация и протезирование 4 и 5 зубов у хирурга и стоматолога-ортопеда. Все условия, с точки зрения ортодонтии успешно исполнены.

Заключение

Неправильный прикус может привести к множеству осложнений: от проблем с жеванием до износа зубов и заболеваний десен. Кроме того, если не исправить прикус перед установкой имплантов, это может привести к неправильному расположению имплантов и их неэффективной работе. Поэтому проходить ортодонтическое лечение не поздно в любом возрасте. Берегите свои здоровье и свои зубы!

Пишите в комментарии, как Вам результат и давайте разберем Ваш случай.

Автор: Зинченко Илья Станиславович. Врач-ортодонт, гнатолог