Добавить в корзинуПозвонить
Найти в Дзене
Два Дантиста

Что такое искусственная десна?

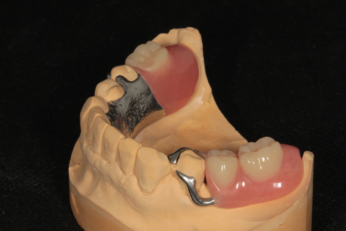
Искусственная десна — это часть конструкции протеза, которая имитирует мягкие ткани в полости рта и используется для восстановления эстетики и функциональности улыбки. Чаще всего она применяется при отсутствии зубов, когда происходит атрофия десен и костной ткани. Искусственная десна изготавливается из мягкого силикона. В случае с протезами на имплантатах выполняет важную роль: Показания к установке Показания к использованию искусственной десны включают: Очень часто в стоматологической практике встречаются пациенты с потерей зубов и нарушением структуры прикуса. Искусственная десна в этом случае позволяет восстановить форму зубного ряда и вернуть пациентам уверенность в себе. Методы протезирования с искусственной десной Уход за искусственной десной После установки искусственной десны важно соблюдать правила ухода за полостью рта: В клинике «Два Дантиста» пациент может получить консультацию у опытного стоматолога. Имплантолог и ортопед подберут для вас оптимальный план протезирования с

Искусственная десна — это часть конструкции протеза, которая имитирует мягкие ткани в полости рта и используется для восстановления эстетики и функциональности улыбки. Чаще всего она применяется при отсутствии зубов, когда происходит атрофия десен и костной ткани. Искусственная десна изготавливается из мягкого силикона.

В случае с протезами на имплантатах выполняет важную роль:

  • Эстетика: позволяет создать естественный вид десен, что особенно важно при протезировании передних зубов.
  • Функциональная адаптация: искусственная десна улучшает фиксацию протезов, уменьшая нагрузку на мягкие ткани.

Показания к установке

Показания к использованию искусственной десны включают:

  • Атрофия костной ткани и мягких тканей десен.
  • Потеря нескольких зубов или даже всего зубного ряда.
  • Необходимость в установке зубных имплантов для восстановления полной или частичной утраты зубов.
  • Сложные случаи протезирования, когда требуется компенсация значительной утраты десны.
  • Эстетическая необходимость улучшить внешний вид улыбки при серьезных дефектах десен.

Очень часто в стоматологической практике встречаются пациенты с потерей зубов и нарушением структуры прикуса. Искусственная десна в этом случае позволяет восстановить форму зубного ряда и вернуть пациентам уверенность в себе.

Методы протезирования с искусственной десной

  • Протезирование на имплантах: метод, который обеспечивает надежную фиксацию зубов и эстетический результат. В этом случае искусственная десна заполняет пространство между имплантами и десной, восполняя утраченные ткани.
-2
  • Съемные и несъемные конструкции: съемные протезы, такие как бюгельные, используются при частичной потере зубов, а несъемные — на имплантах для постоянной фиксации.
  • Металлокерамические и циркониевые коронки: используются для восстановления не только эстетики, но и функций зубного ряда.
  • Мостовидные конструкции: применяются для восстановления нескольких отсутствующих зубов в ряду.
-3

Уход за искусственной десной

После установки искусственной десны важно соблюдать правила ухода за полостью рта:

  • Ежедневная чистка зубов и использование специальных средств для ухода за протезами.
  • Регулярные визиты к стоматологу для профессиональной чистки и контроля состояния протезов.
  • Избегание чрезмерных нагрузок на зубные конструкции, особенно во время жевания твердой пищи.

В клинике «Два Дантиста» пациент может получить консультацию у опытного стоматолога. Имплантолог и ортопед подберут для вас оптимальный план протезирования с искусственной десной, учитывая индивидуальные особенности и высоту корня зуба. Мы предлагаем качественный подход к восстановлению эстетики и функции зубов, включая комплексную диагностику, изготовление протезов и их установку.

Записаться в клинику «Два Дантиста» можно через сайт или по тел. 8 (812) 223-43-29