Найти в Дзене
Прайм-Стоматология

Композитные виниры: за и против

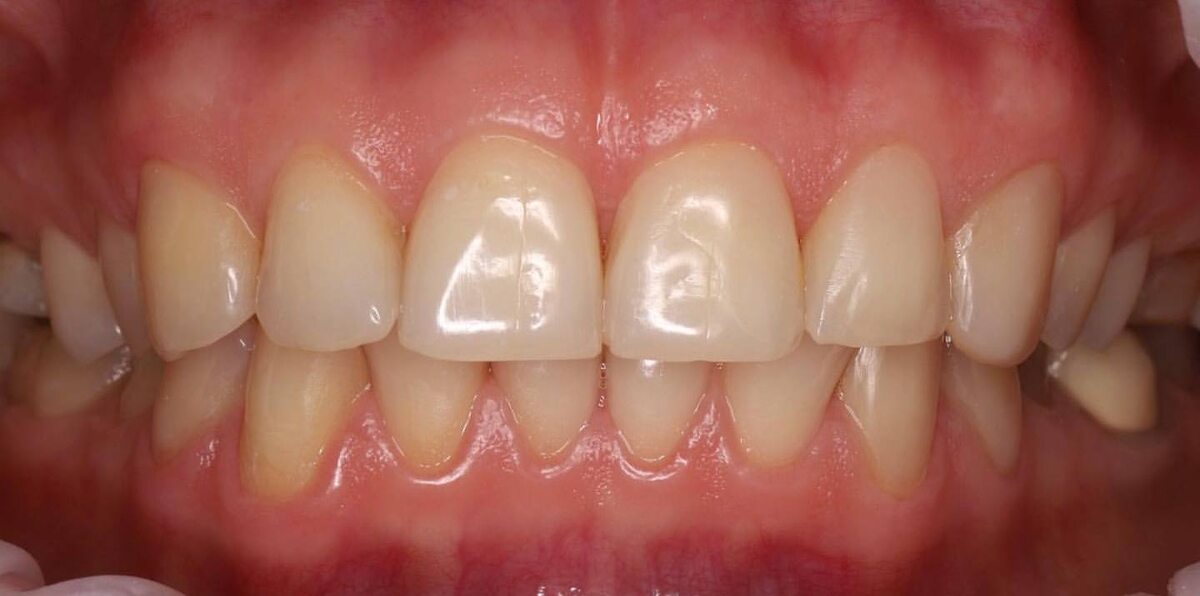
Если Вам нужно срочно исправить косметический дефект передних зубов, то помогут композитные виниры. Эти тонкие пластинки эффективно скрывают недочёты зубного ряда: небольшие сколы, неровности, потемнения эмали. Какие преимущества/недостатки есть у композитных виниров, и насколько они долговечны – читайте в этом материале. ИЗ ЧЕГО СОСТОЯТ КОМПОЗИТНЫЕ ВИНИРЫ? Как правило, пластинки изготавливаются из светополимерного нанокомпозитного материала, который также используется для пломб. Накладки послойно наносятся или наклеиваются на фронтальную поверхность проблемной единицы, тем самым улучшая эстетику улыбки. Поверхность зуба получается блестящей, однородной и максимально приближенной к натуральной эмали. ПРО ПРЕИМУЩЕСТВА. Помимо того, что композитные виниры легко скрывают незначительные дефекты зубного ряда и эмали, у них есть масса других плюсов: ПРО НЕДОСТАТКИ. Наряду с достоинствами, композитным винирам присущи и некоторые недостатки: СТОИТ ЛИ СТАВИТЬ КОМПОЗИТНЫЕ ВИНИРЫ? Однозначно да,

Если Вам нужно срочно исправить косметический дефект передних зубов, то помогут композитные виниры. Эти тонкие пластинки эффективно скрывают недочёты зубного ряда: небольшие сколы, неровности, потемнения эмали.

Какие преимущества/недостатки есть у композитных виниров, и насколько они долговечны – читайте в этом материале.

ИЗ ЧЕГО СОСТОЯТ КОМПОЗИТНЫЕ ВИНИРЫ?

Как правило, пластинки изготавливаются из светополимерного нанокомпозитного материала, который также используется для пломб. Накладки послойно наносятся или наклеиваются на фронтальную поверхность проблемной единицы, тем самым улучшая эстетику улыбки. Поверхность зуба получается блестящей, однородной и максимально приближенной к натуральной эмали.

ПРО ПРЕИМУЩЕСТВА.

Помимо того, что композитные виниры легко скрывают незначительные дефекты зубного ряда и эмали, у них есть масса других плюсов:

  • возможность установки за один приём. Изготавливает врач-стоматолог терапевт, который специализируется на эстетических реставрациях,
  • минимальная обработка здоровых зубов,
  • доступная цена по сравнению с другими видами реставрации,
  • высокий уровень эстетики: можно подобрать оттенок, гармонирующий с цветом остальных зубов,
  • простой ремонт, который производится опять же за один приём.
Особенность композитных виниров в том, что их изготавливают прямо в ротовой полости пациента, а не создают по индивидуальным слепкам.
Особенность композитных виниров в том, что их изготавливают прямо в ротовой полости пациента, а не создают по индивидуальным слепкам.

ПРО НЕДОСТАТКИ.

Наряду с достоинствами, композитным винирам присущи и некоторые недостатки:

  • хрупкость. Композитный винир может не выдержать серьёзные механические нагрузки, поэтому нужно соблюдать осторожность,
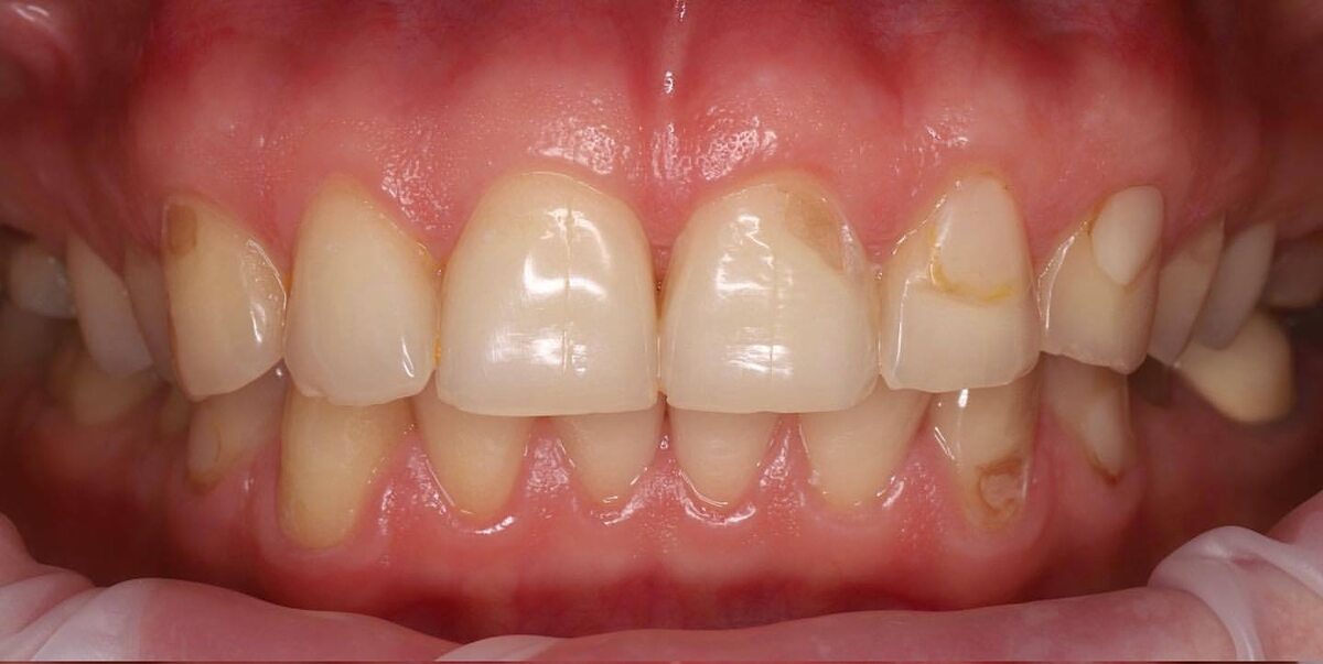
  • небольшой срок службы - до 5 лет. Со временем накладки теряют блеск и темнеют. Для полного восстановления эстетики требуется замена пластинок,
  • необходимость «белой диеты». Композитные виниры меняют свой цвет из-за красящих пигментов, в том числе из-за курения,
  • регулярное посещение стоматолога (один раз в 3-4 месяца) для профилактической полировки.
После установки композитных виниров не рекомендуется кусать твёрдые продукты, лучше порезать их на кусочки.
После установки композитных виниров не рекомендуется кусать твёрдые продукты, лучше порезать их на кусочки.

СТОИТ ЛИ СТАВИТЬ КОМПОЗИТНЫЕ ВИНИРЫ?

Однозначно да, если Вы хотите быстро восстановить эстетику нескольких передних зубов и готовы ради красоты отказаться от употребления красящих и твёрдых продуктов.

Если Ваша цель - долгосрочные реставрации, то рекомендуем обратить внимание на керамические виниры. Чем они хороши, читайте здесь.

Записаться на консультацию по установке виниров в ПРАЙМ можно по телефону - (4912)292-000.

_______________________________

Наши клиники в г. Рязань:

· Есенина, 110

· Советской армии, 9

· Бирюзова, 28а

· Интернациональная, 23

· Полетаева, 34 (клиника корпоративного университета)

https://www.prime-med.ru/