Найти в Дзене
N + 1

Асбест с одежды отца в детстве вызвал плевральные бляшки у пожилых американок

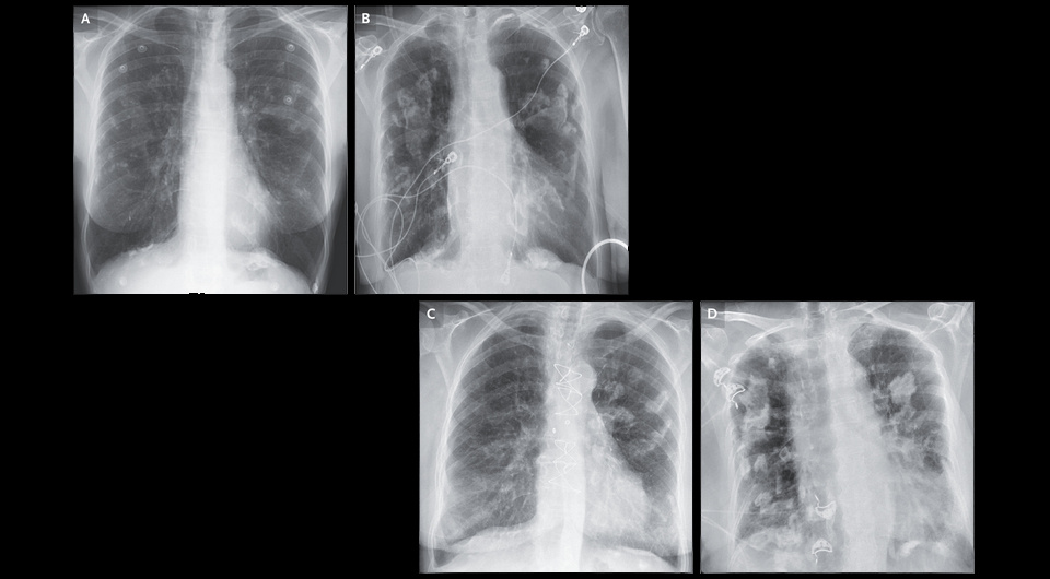
В американскую больницу поступила 80-летняя женщина с обострением хронической обструктивной болезни легких. В анамнезе у нее был стаж курения 40 пачко-лет и вторичный контакт с асбестом в детстве — она с двумя сестрами играла с отцом, который приходил с работы по установке теплоизоляции в одежде, покрытой похожими на снег частицами. При аускультации легких определялись рассеянные влажные хрипы без свистящих. На рентгенограмме и компьютерной томограмме визуализировались плевральные бляшки с кальцинатами с обеих сторон, значительно более выраженные, чем на снимке 20-летней давности. Врачи Шон Чиллаг (Shawn Chillag) и Ричард Скотт Морхед (Richard Scott Morehead) из Научно-медицинского центра Университета Западной Виргинии поделились этим случаем в New England Journal of Medicine.

  Shawn Chillag, Richard Scott Morehead / NEJM, 2024
Shawn Chillag, Richard Scott Morehead / NEJM, 2024

По результатам обследования пациентке поставили диагноз плевральных бляшек в результате вторичного воздействия асбеста. Эти относительно бесклеточные образования состоят из плотного гиалинизированного коллагена и четко связаны с вдыханием асбестовых частиц, причем появляются они обычно через 20–30 лет после контакта с минералом. На недавних рентгенограммах сестер женщины также были видны кальцинированные бляшки, более выраженные, чем 20 лет назад, а также прогрессирующее утолщение плевры. Обострение хронической обструктивной болезни легких у пациентки успешно купировали и выписали ее из стационара.