Добавить в корзинуПозвонить
Найти в Дзене

История пациента: исправляем клык в обратном перекрытии

Пациентка Мария, 26 лет, пришла к нам с запросом на красивую улыбку. Девушка очень стеснялась улыбаться: ее резцы были сильно сточены, а нижний клык перекрывал верхние зубы. Покажем, как справились с этой ситуацией, а заодно расскажем о трендах в ортодонтии. Начали с подробного анализа зубочелюстной системы, провели цефалометрию (изучение параметров лица и костных структур) и выявили основные проблемы. У Марии наблюдалось нарушение угла наклона зубов. Межрезцовый угол (внутренний угол между верхними и нижними передними зубами) у нее составлял 151,5 градуса вместо нормы в 130 градусов. Нижние зубы были сильно смещены назад, они отклонялись от оптимального положения на 13 градусов. Хотя прикус Марии можно было условно отнести к первому классу, тенденция к третьему классу уже начала проявляться. Верхние и нижние передние зубы начали стираться, а нижний клык из-за неправильного положения создавал дополнительную нагрузку на челюсть. Оптимальный угол в 130 градусов позволяет зубам работать с
Оглавление

Пациентка Мария, 26 лет, пришла к нам с запросом на красивую улыбку. Девушка очень стеснялась улыбаться: ее резцы были сильно сточены, а нижний клык перекрывал верхние зубы. Покажем, как справились с этой ситуацией, а заодно расскажем о трендах в ортодонтии.

Содержание

  • Клиническая картина
  • Предварительный этап — санация ротовой полости
  • Фиксация брекетов
  • Результат ортодонтического лечения
  • Почему между зубами остались промежутки?
  • Это интересно: ортодонтическая мода
  • Завершение лечения

Клиническая картина

Начали с подробного анализа зубочелюстной системы, провели цефалометрию (изучение параметров лица и костных структур) и выявили основные проблемы.

У Марии наблюдалось нарушение угла наклона зубов. Межрезцовый угол (внутренний угол между верхними и нижними передними зубами) у нее составлял 151,5 градуса вместо нормы в 130 градусов. Нижние зубы были сильно смещены назад, они отклонялись от оптимального положения на 13 градусов.

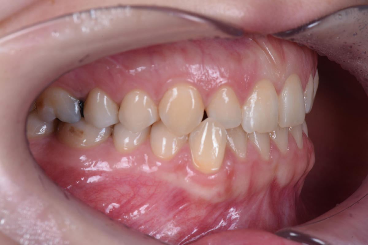
Нижние резцы у Марии сильно задавлены верхними
Нижние резцы у Марии сильно задавлены верхними

Хотя прикус Марии можно было условно отнести к первому классу, тенденция к третьему классу уже начала проявляться. Верхние и нижние передние зубы начали стираться, а нижний клык из-за неправильного положения создавал дополнительную нагрузку на челюсть.

Клык (4.3) в обратном перекрытии
Клык (4.3) в обратном перекрытии

Почему важно исправить межрезцовый угол?

Оптимальный угол в 130 градусов позволяет зубам работать слаженно и распределять нагрузку равномерно. У Марии этот угол был увеличен на 20 градусов — это грозит неприятными последствиями:

  • Увеличенная нагрузка на передние зубы. Из-за неправильного смыкания они могут начать расшатываться, а костная ткань в области корней может начать убывать. Это грозит потерей зубов.
  • Смещение нижней челюсти назад создает предпосылки для суставных проблем в будущем.

Предварительный этап — санация ротовой полости

Перед началом ортодонтического лечения очень важно привести ротовую полость в порядок: вылечить все кариозные зубы, удалить зубы мудрости при наличии показаний, провести профессиональную гигиену полости рта. Теоретически кариозные зубы можно лечить и в процессе ношения брекетов, но это сопряжено с рядом сложностей. Во-первых, для проведения терапии необходимо будет снять брекет с зуба. Это усложняет и удлиняет процесс ортодонтического лечения. Во-вторых, боль от непролеченного кариеса может помешать адаптации к брекет-системе.

У Марии зубы мудрости уже были удалены, это облегчило подготовку. Однако у нее обнаружили кариес на зубах 3.7, 4.5 и 4.6, которые мы успешно пролечили. Финальным этапом стала профессиональная чистка зубов.

Фиксация брекетов

Установили Марии самолигирующие брекеты Experience — это надежная японская система, зарекомендовавшая себя в сложных случаях. Эта система позволяет ускорить лечение за счет удобной фиксации дуг без использования резинок и обеспечивает пациенту комфортное ношение.

Разделили установку брекетов на два посещения: сначала зафиксировали систему на верхней челюсти, затем, спустя три недели — на нижней. Так делается для того, чтобы пациенту было проще адаптироваться: сразу после фиксации брекетов зубы, скорее всего, будут немного ныть.

Выбор брекет-системы в каждом случае определяется совместным решением врача и пациента. Если у пациента есть предпочтения, например, керамические брекеты для большей эстетичности, врач оценивает возможность их использования. Марии было не важно, из какого материала будут изготовлены брекеты, и мы выбрали металлическую систему — она надежна и позволяет достичь лучших результатов за оптимальное время.

Как устанавливают брекеты?

  • Подготовка зубов. Очистили поверхность зубов, протравили участки, куда будут прикреплены брекеты. Нанесли бонд (специальный химический комплекс, который обеспечивает прочную связь стоматологических материалов с твердыми тканями зуба) для улучшения адгезии.
  • Размещение брекета. На каждый брекет нанесли композитный клей и приложили брекет к зубу. Положение брекета замеряется с помощью специального позиционера, чтобы он находился на необходимом расстоянии от режущего края зуба (3,5–4,5 мм). После уточнения положения зафиксировали брекет с помощью световой лампы.
  • Установка дуги. Дугу, обладающую памятью формы, закрепили в пазах брекетов. В системе Experience для этого используются крышечки на замочках, которые заменяют традиционные резинки.
Через специальные крышечки на замочках, как через каналы, продевается дуга.
Через специальные крышечки на замочках, как через каналы, продевается дуга.

Каждый брекет адаптирован под определенный зуб: центральные резцы, клыки, премоляры и моляры имеют свои параметры наклона и формы.

Ортодонтическое лечение Марии длилось около года, каждый месяц она приходила на прием для коррекции.

Результат ортодонтического лечения

Вот какого результата удалось добиться после года ортодонтического лечения:

Результат после лечения на брекет-системе
Результат после лечения на брекет-системе

Сразу установили ретейнеры и порекомендовали Марии после реставрации зубов носить ночные ретенционные каппы. Они используются, чтобы удерживать ширину зубных рядов, которую не покрывает проволочный ретейнер (он фиксирует только передние шесть верхних и нижних зубов). Особенно это важно, если зубные ряды расширялись в процессе лечения. Кроме того, каппы можно применять для ремотерапии: в них закладываются специальные гели, которые питают и укрепляют зубы, восстанавливая их после нагрузок брекет-системы.

Сразу установили ретейнеры
Сразу установили ретейнеры

Почему между зубами остались промежутки?

Это было запланировано заранее. У Марии верхние передние зубы были небольшого размера. Это создавало конфликт с нижними зубами: верхние зубы «давили» на нижние, что заставляло нижние передние зубы отклоняться назад под углом около 13 градусов. Один из нижних клыков из-за нехватки места выдвинулся над зубным рядом. Избыточное давление верхних зубов привело к скученности нижних передних зубов и их деформации. То есть, передние верхние зубы создали конфликт с передними нижними зубами.

Чтобы исправить эту ситуацию, необходимо было сделать верхние резцы крупнее. Это позволило развернуть нижние зубы в правильное положение, а также предотвратить обратное перекрытие (когда нижние передние зубы перекрывают верхние), которого можно было ожидать, если не увеличивать верхние зубы.

Пространства между зубами остались с учетом последующей реставрации. Увеличив верхние передние зубы до правильного размера, мы компенсируем дисбаланс между верхними и нижними зубами. Кроме того, при правильном положении зубов и их размере снижается нагрузка на челюстной сустав и предотвращаются повреждения эмали.

Это интересно: ортодонтическая мода

В ортодонтии тоже есть свои тренды, и то, что было популярно 20–30 лет назад, сегодня кажется устаревшим. Раньше считалось идеальным, когда передние зубы выстроены строго вертикально, почти перпендикулярно полу. Это придавало улыбке аккуратный и «правильный» вид. Но такие зубы делали лицо более строгим, а нижнюю часть — визуально «сжатой» и менее выразительной.

Сегодня в тренде придание объема нижней трети лица: это касается увеличения не только губ, но и зубов. Крупные передние зубы помогают создать гармонию черт лица и визуально «раскрывают» улыбку. А легкий наклон зубов вперед добавляет объем и делает улыбку живой и привлекательной.

Дальнейшее лечение

После завершения ортодонтического этапа Марии провели отбеливание, а затем выполнили реставрацию передних зубов, чтобы увеличить их размер и создать гармоничное соотношение с чертами лица и улыбкой.

Результат впечатляет:

-6

Лечащий врач

Ли Игорь Олегович. Стоматолог-ортодонт, магистр, научная степень D.D.S., M.D.S. Ортодонтическое лечение на брекет-системе.

🏥 Клиника реконструктивной стоматологии

Задать вопрос ✍️ WhatsApp

Позвонить 📞 +7 (495) 989-57-49

Мы рядом 🏥 Москва, Ленинский проспект, 105к1

Читайте также:

Смотрите также: