Добавить в корзинуПозвонить
Найти в Дзене
MY ORT

Как бабушке неправильно запротезировали зубы. Ошибка доктора

В моей практике бывают случаи, когда приходится переделывать ортопедические работы коллег-врачей. По разным причинам, к сожалению, в том числе из-за врачебной халатности. Пациентка обратилась с жалобами на болевые ощущения и кровоточивость мягких тканей после недавнего протезирования передних зубов верхней челюсти. Пациентка носит частично-съемные протезы на обоих челюстях. Фронтальные зубы у нее свои. Но нуждаются в лечении и дальнейшем протезировании для защиты. 3 месяца назад бабуля собралась с духом и средствами и заняла верхним рядом зубов. Ей был установлен несъемный мостовидный протез из металлокерамики от 4 до 4 зуба. Казалось бы, пациент должен был быть счастлив после протезирования, но нашей героине не повезло. Могу только представить, как она устала. Мы сняли протез. Что под ним: Ситуация была удручающая. Учитывая, что протез новый и с момента его установки прошло совсем мало времени. Основными задачами стали: Устранить воспаление Заменить несъемное протезирование Восст
Оглавление

В моей практике бывают случаи, когда приходится переделывать ортопедические работы коллег-врачей. По разным причинам, к сожалению, в том числе из-за врачебной халатности.

Расскажу про 78-летнюю бабушку, которая на протяжение 3 месяцев мучилась с установленным мостовидным протезом во фронтальной зоне.

СитуацияДО. Вид спереди
СитуацияДО. Вид спереди
Ситуация ДО. Вид сбоку
Ситуация ДО. Вид сбоку

Пациентка обратилась с жалобами на болевые ощущения и кровоточивость мягких тканей после недавнего протезирования передних зубов верхней челюсти.

ИСХОДНАЯ СИТУАЦИЯ

Пациентка носит частично-съемные протезы на обоих челюстях.

Фронтальные зубы у нее свои. Но нуждаются в лечении и дальнейшем протезировании для защиты.

3 месяца назад бабуля собралась с духом и средствами и заняла верхним рядом зубов. Ей был установлен несъемный мостовидный протез из металлокерамики от 4 до 4 зуба.

БОЛИ И ЖАЛОБЫ

Казалось бы, пациент должен был быть счастлив после протезирования, но нашей героине не повезло.

  1. Ну, во-первых, мостовидный протез постоянно натирал, вызывал сильные боли и кровоточивость десен.
  2. Во-вторых, её не устаивала форма и высота моста. Они были слишком крупные для её миниатюрного и аккуратного лица.
  3. И в-третьих, все эти 3 месяца ношения протеза пациент посещала своего доктора, но положительной динамики не было.

Могу только представить, как она устала.

ПРИЧИНЫ БОЛИ

Мы сняли протез. Что под ним:

Сразу после снятия моста
Сразу после снятия моста

  • Воспаление мягких тканей вокруг установленного протеза и межзубных сосочков
  • Оголение шеек
  • Плохое прилегание протеза
  • Дискомфорт при использовании съемного протеза из-за давления и болей
  • Сильная кровоточивость вследствие воспаленных тканей

Ситуация была удручающая. Учитывая, что протез новый и с момента его установки прошло совсем мало времени.

ПЛАН ДЕЙСТВИЙ

Основными задачами стали:

Устранить воспаление
Заменить несъемное протезирование
Восстановить линию улыбки и жевательную функцию

КАК РЕШАЛИ ПРОБЛЕМЫ

Сняли несъемный протез, чтобы убрать воспаление.

Период восстановления в таком возрасте - это не быстро. Поэтому, чтобы пациентка чувствовала себя комфортно, я поставил ей в эту зону временные коронки.

Когда мягкие ткани начали восстанавливаться, а воспаление утихать, я делал перебазировку временных коронок, для устранения образующегося зазора между ними и деснами.

Без протеза, на временных коронках пациент ходила почти 3 месяца.

Установили 2 новых моста вместо 1 старого

После стабилизации состояния мягких тканей можно было приступить к протезированию.

Я снял оттиск цифровым методом и в зуботехнической лаборатории для нее изготовили 2 новых мостовидных протеза из металлокерамики.

Обязательно учел все пожелания нашей героини по форме и высоте мостов.

Почему 2 моста, а не 1?

Во избежание рецидивов воспаления межзубного сосочка между передними единичками я изготовил 2 моста вместо одного: на 4 левых зуба (от 11 до 14) и на 4 правых зуба (от 21 до 24).

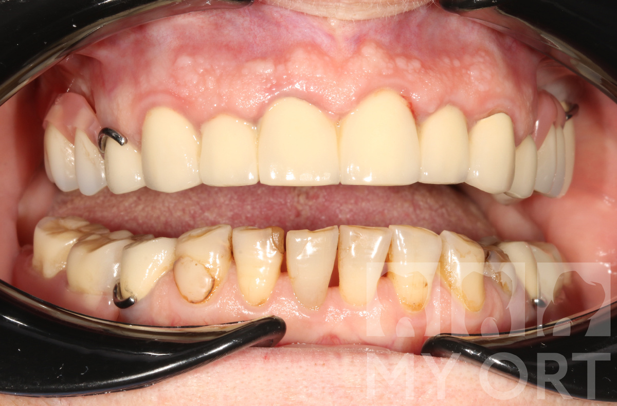
РЕЗУЛЬТАТ ЛЕЧЕНИЯ

  • Десна нормализовалась и стала бледно-розового цвета, без признаков воспаления и кровоточивости
  • Новые мостовидные протезы плотно прилегают к десне, исключая оголение шеек.
  • Пациентка довольна внешним видом новых конструкций
  • А главное - было обеспечено плотное прилегание конструкций к десне для предотвращения воспаления

Конечный результат
Конечный результат

КАК ВАМ РЕЗУЛЬТАТ?

Пишите в комментариях своё мнения. Буду раз ответить на вопросы.

Автор статьи: Колодяжный Александр Владимирович - врач-стоматолог ортопед-гнатолог.