Добавить в корзинуПозвонить
Найти в Дзене
RT на русском

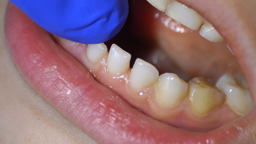
Стоматолог Кадиева перечислила причины потемнения зубов

Стоматолог-терапевт, стоматолог-пародонтолог «СМ-Стоматология» Ният Кадиева рассказала о причинах, по которым зубы со временем могут приобретать более тёмный оттенок. Это может происходить на фоне врождённого заболевания, связанного с нарушением пигментного обмена, а также из-за потребления воды с избыточным содержанием фтора, что характерно для некоторых регионов России, объяснила специалист в беседе с «Газетой.Ru». Есть также ряд причин, которые относят к приобретённым. Среди них курение, образование зубного камня и возрастные изменения. Реже встречаются потемнения зубов, связанные с употреблением каких-либо препаратов или ополаскивателей для полости рта. Также данная проблема может наблюдаться у работников вредных производств, добавила Кадиева. Ранее стоматолог-терапевт «СМ-Стоматологии» Павел Лысенков рассказал о причинах чувствительности зубов.
  Gettyimages.ru
Gettyimages.ru

Стоматолог-терапевт, стоматолог-пародонтолог «СМ-Стоматология» Ният Кадиева рассказала о причинах, по которым зубы со временем могут приобретать более тёмный оттенок.

Это может происходить на фоне врождённого заболевания, связанного с нарушением пигментного обмена, а также из-за потребления воды с избыточным содержанием фтора, что характерно для некоторых регионов России, объяснила специалист в беседе с «Газетой.Ru».

Есть также ряд причин, которые относят к приобретённым. Среди них курение, образование зубного камня и возрастные изменения.

Реже встречаются потемнения зубов, связанные с употреблением каких-либо препаратов или ополаскивателей для полости рта. Также данная проблема может наблюдаться у работников вредных производств, добавила Кадиева.

Ранее стоматолог-терапевт «СМ-Стоматологии» Павел Лысенков рассказал о причинах чувствительности зубов.