Добавить в корзинуПозвонить
Найти в Дзене
ДОКТОР КАРЧАКОВ

Болит пятка — куда бежать?!

Существует такая проблема как пяточная шпора. Пяточная шпора — это костное разрастание в форме шипа или клина, расположенное в области основания бугра пяточной кости. У многих пациентов начинаются боли в пятке, при этом какие-либо травмы пациенты отрицают. Знакомо? Так вот это – оно самое! Основной симптом — это боль. Пациенты ощущают жгучие боли, похожие на ощущение гвоздя в пятке, возникающие при самой минимальной физической нагрузке на стопу. Выделяют три основные причины формирования пяточной шпоры: 1) плоскостопие; 2) травмы стоп и позвоночника; 3) патологии обмена веществ, особенно подагра. Главное осложнение — хроническая боль в пятке, которая сильно ухудшает качество повседневной жизни. Постоянная боль провоцирует: Главным методом диагностики этой проблемы является рентгенография, на которой определяется костный вырост и его размеры. Иногда признаки воспаления и утолщения подошвенного апоневроза определяются при ультразвуковом исследование стопы. А вот на выполнение МРТ стопы д

Существует такая проблема как пяточная шпора. Пяточная шпора — это костное разрастание в форме шипа или клина, расположенное в области основания бугра пяточной кости. У многих пациентов начинаются боли в пятке, при этом какие-либо травмы пациенты отрицают. Знакомо? Так вот это – оно самое!

Основной симптом — это боль. Пациенты ощущают жгучие боли, похожие на ощущение гвоздя в пятке, возникающие при самой минимальной физической нагрузке на стопу.

Выделяют три основные причины формирования пяточной шпоры:

1) плоскостопие;

2) травмы стоп и позвоночника;

3) патологии обмена веществ, особенно подагра.

Главное осложнение — хроническая боль в пятке, которая сильно ухудшает качество повседневной жизни. Постоянная боль провоцирует:

  • ограничение подвижности;
  • сложности с самообслуживанием;
  • нарушение сна и бессонницу.

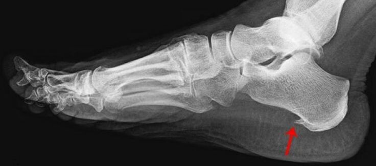
Главным методом диагностики этой проблемы является рентгенография, на которой определяется костный вырост и его размеры. Иногда признаки воспаления и утолщения подошвенного апоневроза определяются при ультразвуковом исследование стопы. А вот на выполнение МРТ стопы деньги можете не тратить.

Рентгенологическая картина пяточной шпоры
Рентгенологическая картина пяточной шпоры

При наличии симптомов и их прогрессировании рекомендую сразу обратиться к врачу для назначения вам необходимого лечения. Пока ожидаете приема к врачу, можно начинать использовать меры профилактики:

1) нормализация массы тела;

2) ограничение физических нагрузок и исключение перегрузок;

3) использование удобной обуви на амортизирующей подошве.