Найти в Дзене
Шаги без боли

Вальгусное отклонение большого пальца стопы: диагностика, лечение и упражнения

Вальгусное отклонение первого пальца стопы (Hallux Valgus) — это деформация, при которой большой палец отклоняется кнаружи, а первая плюсневая кость смещается внутрь, что приводит к нарушению работы сустава и сопровождается болью, дискомфортом и прогрессирующим изменением структуры стопы. Часто в народе эту проблему называют "шишкой" или "косточкой". Однако важно понимать, что это не костный нарост, а изменение положения костей стопы. Своевременное обращение к врачу, корректная диагностика и понимание механизма заболевания могут предотвратить серьёзные осложнения, такие как артроз сустава. Причины деформации многофакторны и включают: · Генетическую предрасположенность: наследуемая слабость связочного аппарата и особенности строения стопы. · Неправильную обувь: ношение узкой, тесной обуви или обуви на высоком каблуке провоцирует перераспределение нагрузки на передний отдел стопы. · Плоскостопие: сниженный свод стопы изменяет биомеханику движения и способствует деформации. · Избыточный в
Оглавление

Вальгусное отклонение первого пальца стопы (Hallux Valgus) — это деформация, при которой большой палец отклоняется кнаружи, а первая плюсневая кость смещается внутрь, что приводит к нарушению работы сустава и сопровождается болью, дискомфортом и прогрессирующим изменением структуры стопы. Часто в народе эту проблему называют "шишкой" или "косточкой". Однако важно понимать, что это не костный нарост, а изменение положения костей стопы.

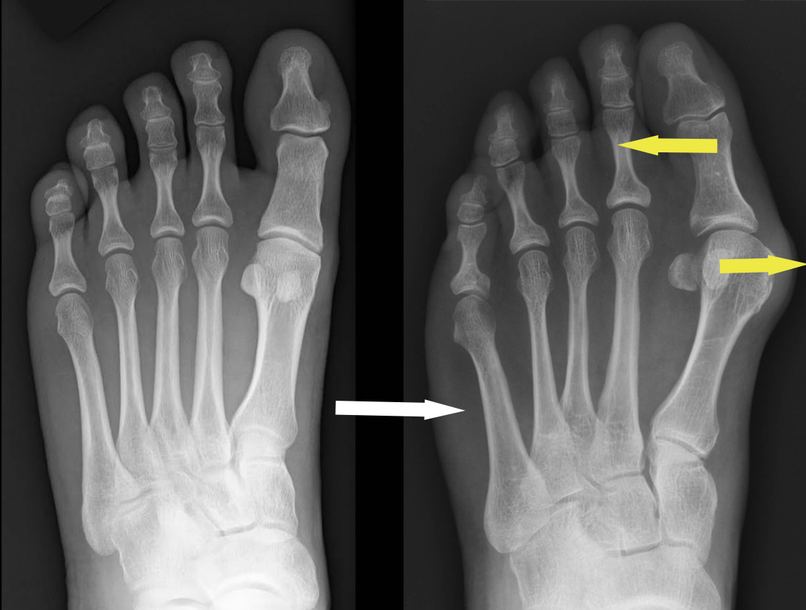
Пример рентгенограмм стопы без деформации (слева) и с характерным смещением костей (справа). Обратите внимание на "кругляшки" в области сустава. Это сесамовидные кости - важный элемент работы сустава и ориентир во время операций.
Пример рентгенограмм стопы без деформации (слева) и с характерным смещением костей (справа). Обратите внимание на "кругляшки" в области сустава. Это сесамовидные кости - важный элемент работы сустава и ориентир во время операций.

Своевременное обращение к врачу, корректная диагностика и понимание механизма заболевания могут предотвратить серьёзные осложнения, такие как артроз сустава.

Что вызывает вальгусное отклонение?

Причины деформации многофакторны и включают:

· Генетическую предрасположенность: наследуемая слабость связочного аппарата и особенности строения стопы.

· Неправильную обувь: ношение узкой, тесной обуви или обуви на высоком каблуке провоцирует перераспределение нагрузки на передний отдел стопы.

· Плоскостопие: сниженный свод стопы изменяет биомеханику движения и способствует деформации.

· Избыточный вес: увеличивает нагрузку на передний отдел стопы.

· Воспалительные заболевания суставов: например, ревматоидный артрит, который также влияет на состояние мягких тканей и суставов стопы.

Обувь на высоких каблуках влияет на распределение нагрузки на разные отделы стопы и может служить предрасполагающим фактором развития деформаций.
Обувь на высоких каблуках влияет на распределение нагрузки на разные отделы стопы и может служить предрасполагающим фактором развития деформаций.

Примечание: впрочем, не стоит корить себя за ношение высоких каблуков! Без генетической предрасположенности деформация проявляется редко. "Шишки" на стопах известны с давних времен, когда высокие каблуки не были распространены. Примеры деформаций стоп можно увидеть на известных картинах:

«Аллегория силы» — картина Сандро Боттичелли, 1470г. Обратите внимание на стопы!
«Аллегория силы» — картина Сандро Боттичелли, 1470г. Обратите внимание на стопы!

Почему деформация опасна: связь с артрозом

Ключевая проблема вальгусного отклонения — нарушение работы первого плюснефалангового сустава. В норме сустав функционирует как шарнир, перераспределяя нагрузку во время ходьбы. При деформации:

· Сустав смещается и начинает работать неправильно.

· Появляются зоны избыточного давления, где суставная поверхность постепенно изнашивается.

· Развивается артроз: истирание хряща сопровождается болью, воспалением и ограничением подвижности.

Если не лечить деформацию, артроз прогрессирует, делая сустав негодным для адекватного выполнения его функций.

Научные данные подтверждают связь между выраженностью деформации и степенью артрозных изменений. Подробнее об этом можно прочитать в обзоре:

Munteanu et al., 2020. "Hallux Valgus and Its Association With First Metatarsophalangeal Joint Osteoarthritis: A Systematic Review." (Journal of Foot and Ankle Research).

-4

Как диагностируют вальгусное отклонение?

Ключевым инструментом диагностики являются рентгенограммы стоп с нагрузкой. Это важно, поскольку в положении стоя кости стопы испытывают реальную нагрузку, и их взаимное расположение отличается от того, что можно увидеть в положении лёжа.

При рентгенографии оцениваются:

· Угол отклонения первого пальца.

· Угол между первой и второй плюсневыми костями.

· Степень повреждения суставных поверхностей (наличие артроза).

Важно! Только на основании рентгенограмм с нагрузкой можно корректно оценить степень деформации и выбрать оптимальный метод лечения.

Разница рентгенограмм одного пациента: слева - без нагрузки (сидя), справа - с нагрузкой (стоя). Обратите внимание, как изменился угол большого пальца и увеличилось расстояние между костями (белые линии).
Разница рентгенограмм одного пациента: слева - без нагрузки (сидя), справа - с нагрузкой (стоя). Обратите внимание, как изменился угол большого пальца и увеличилось расстояние между костями (белые линии).

Консервативное лечение: когда оно эффективно?

Консервативное лечение не исправляет деформацию, но может замедлить её прогрессирование, облегчить симптомы и подготовить стопу к последующей реабилитации (если потребуется хирургическое вмешательство). Основные методы:

1.Ортопедические стельки и обувь: помогают перераспределить нагрузку на стопу.

2. Фиксаторы и шины: используются для снятия болевого синдрома. Эти устройства НЕ исправляют деформацию, их применение оправдано, если пациенту легче ночью или в обуви с разделителями. Научные данные подтверждают, что фиксаторы полезны для уменьшения субъективных симптомов, но не влияют на угол отклонения пальца (Budiman-Mak et al., 2019, Foot and Ankle International).

Пользователь одной из социальных сетей демонстрирует моментальный возврат деформации после снятия фиксатора.
Пользователь одной из социальных сетей демонстрирует моментальный возврат деформации после снятия фиксатора.

3. Физиотерапия: улучшает кровообращение и снимает воспаление.

4. Упражнения для стоп: укрепляют мышцы и связки, замедляя прогрессирование.

Хирургическое лечение: современный стандарт

Когда консервативная терапия не даёт результата, а деформация сопровождается болью, прогрессирующим артрозом и ограничением подвижности, требуется оперативное вмешательство. Наиболее популярные методы на сегодняшний день:

· Остеотомия Scarf: выполняется на первой плюсневой кости для коррекции её положения.

· Остеотомия Akin: применяется для исправления угла отклонения большого пальца.

Эти методики позволяют восстановить правильное положение костей и работу сустава, а также предотвращают дальнейшее развитие артроза. Детально об этих операциях и их эффективности мы расскажем в следующем посте.

Пример пациентки, которой была выполнена реконструктивная операция на правой стопе более 3 лет назад. Изначальная деформация - одинаковая на обеих стопах, пациентка обратилась для реконструктивной операции на второй стопе. Фото опубликовано с разрешения пациентки.
Пример пациентки, которой была выполнена реконструктивная операция на правой стопе более 3 лет назад. Изначальная деформация - одинаковая на обеих стопах, пациентка обратилась для реконструктивной операции на второй стопе. Фото опубликовано с разрешения пациентки.

Упражнения для укрепления стопы

Для улучшения состояния стопы полезны следующие упражнения:

1. Сгибание и разгибание пальцев: стимулирует кровообращение.

2. Катание мяча: улучшает подвижность суставов и массажирует стопу.

3. Подъём мелких предметов пальцами: тренирует мелкие мышцы.

4. Растягивание резинки: укрепляет связки большого пальца.

5. Подъёмы на носки: активизируют работу свода стопы.

Регулярная практика укрепляет мышцы, улучшает биомеханику стопы и снижает нагрузку на суставы.

Выводы

Вальгусное отклонение большого пальца — это прогрессирующее заболевание, которое влияет на структуру и функции стопы. Ключом к успешному лечению является ранняя диагностика, основанная на рентгенографии с нагрузкой, и комплексный подход к терапии.

На начальных стадиях помогают консервативные методы, а на поздних — современные хирургические операции. Важно помнить, что деформация ведёт к артрозу, поэтому затягивать с лечением нельзя.

Рекомендации и научные данные подтверждают эффективность комплексного подхода. Например:

· Coughlin MJ, Shurnas PS. Hallux valgus: demographics, etiology, and radiographic assessment. Foot and Ankle International, 2020.

· Kilmartin TE. Surgical treatments for hallux valgus: evidence-based review. The Journal of Foot Surgery, 2022.

Оставайтесь с нами — в следующем посте мы подробно расскажем об операциях Scarf и Akin, их преимуществах и особенностях реабилитации.

Представленная информация носит ознакомительный характер. Назначение лечения требует обязательной консультации со специалистом.

Понравилась статья - поделитесь с друзьями и знакомыми!

Есть комментарий - пишите!