Добавить в корзинуПозвонить
Найти в Дзене
Parodoctor

Загадочная история здорового зуба, который болел-болел, а потом перестал. Невнимательность врачей, моя глупость и нерв, гнивший 8 лет

"Древние египтяне верили, что мыши находятся под покровительством Бога солнца, поэтому к больному зубу прикладывали ещё тёплые потроха только что распотрошённой зверушки". Была у меня в жизни странная история, связанная с зубной болью. Во времена интернатур-ординатур приключилось несчастье, до сих пор мною неразгаданное в полной мере. Что это, вообще, было-то? Одним не чудесным летним днём прихватило, значит, резец на нижней челюсти. Сначала показалось, что дело житейское и скоро пройдёт. Но очень скоро стало понятно, что нужно начинать охоту на мышей, ежей, чертей - кого угодно, лишь бы отпустило. Болело - страшно. Расколённой кочергой в самое сердце через этот несчастный зуб, будь он неладен, летели яркие молнии и сыпались из глаз искры. И, ладно бы, гнилушка какая... Из себя этот отросток дьявола представлял благолепие полное. Целый зуб без единой дырки и трещины. Целёхонький. От того особенно гадко. И загадочно. Так как про целебные свойства мышиных поторохов я в те времена не ве

"Древние египтяне верили, что мыши находятся под покровительством Бога солнца, поэтому к больному зубу прикладывали ещё тёплые потроха только что распотрошённой зверушки".

Была у меня в жизни странная история, связанная с зубной болью. Во времена интернатур-ординатур приключилось несчастье, до сих пор мною неразгаданное в полной мере. Что это, вообще, было-то?

Одним не чудесным летним днём прихватило, значит, резец на нижней челюсти. Сначала показалось, что дело житейское и скоро пройдёт. Но очень скоро стало понятно, что нужно начинать охоту на мышей, ежей, чертей - кого угодно, лишь бы отпустило.

Болело - страшно.

Расколённой кочергой в самое сердце через этот несчастный зуб, будь он неладен, летели яркие молнии и сыпались из глаз искры. И, ладно бы, гнилушка какая... Из себя этот отросток дьявола представлял благолепие полное. Целый зуб без единой дырки и трещины. Целёхонький.

От того особенно гадко. И загадочно.

Так как про целебные свойства мышиных поторохов я в те времена не ведала, пришлось купировать острые ощущения по-старинке - таблетками обезболивающими. Сначала помогали стандартные ибупрофены. Потом магия закончилась,тначалась суровая реальность. Самые сильные обезболы из тех, что продавались в аптеках тех лет, помогали на час. Потом опять приступ боли. Бывало, что воды под рукой не находилось и таблетки глотались всухомятку.

Мои хождения по коллегам толку не дали - ни в поликлинике (где я проходила практику), ни в парочке частных ничего не обнаружили и не помогли! Делали рентген, смотрели на зуб, говорили про чудеса и разводили руками.

Я готова была к решительным действиям - удалять, к чёртовой матери!

Но не удаляли.

Страдала я так какое-то время, показавшееся вечностью. Пока в одно, теперь уже точно - прекрасное, утро, не проснулась без боли. Только шишка на десне надулась. На хирургическом отделении родной поликлиники сделали укол, разрез, поковырялись и отпустили на летние каникулы (с глаз долой).

С тех пор жизнь моя текла привычно, о зубе я старалась не вспоминать. Ощущался во рту всё-равно - нечто отличающееся от зубов других, определённо, выделяло его. Если упереться зубом верхним и языком - будто хочется покачать да избавиться от самозванца. И всё это без боли.

У меня ума тоже не было! То ли хирургия поликлиническая плановая (а я три года ей отдала во время обучения) так повлияла на мозг - но догадаться, что зуб погибал через страдания, я не смогла. Нерв тю-тю! Кирдык. Фриз-тест? Ха-ха-хааа. Никто не проверял. И я не проверила.
История невообразимой глупости. Разрезали и решили, что "починилося". Сейчас мне всё это кажется очень странным. Ладно я, салага, а что же матёрые спецы ничего не поняли? Не поняли.

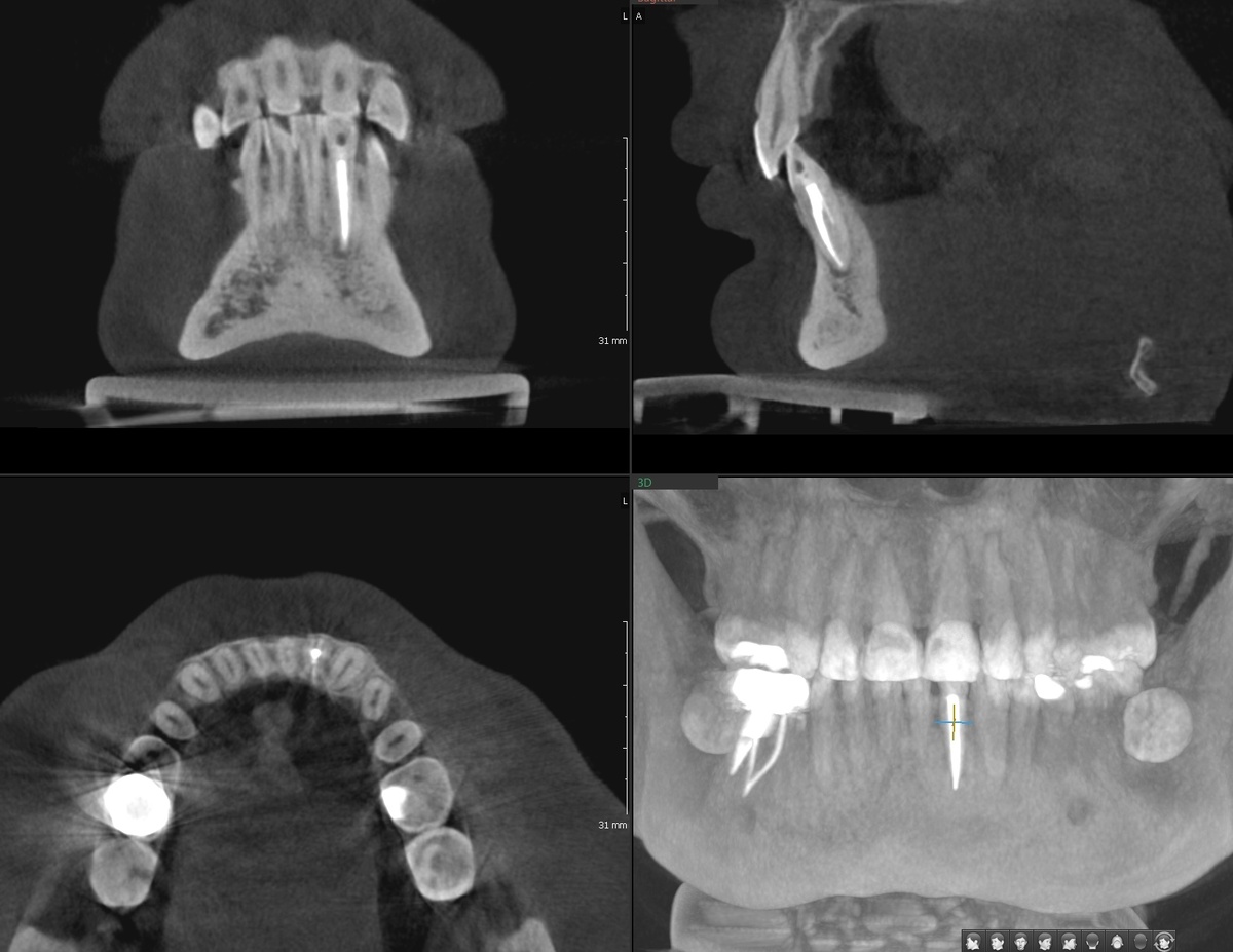
Судьба зуба прояснилась уже в 2022 году, когда уже в мою клинику установили аппарат КЛКТ. Страшно было выполнять исследование, вдруг новости будут печальные...

И да, вот что обнаружилось на снимке:

Периодонтит зуба 3.2
Периодонтит зуба 3.2

Признаки почившего много лет назад (2014 год, если память не изменяет) зуба. 8 лет в кости был очаг деструкции.

В 2022 же году один из коллег (не работает у меня, это были дообмайкинские даже времена) зуб пролечил, убрал некротизированную пульпу и запломбировал канал.

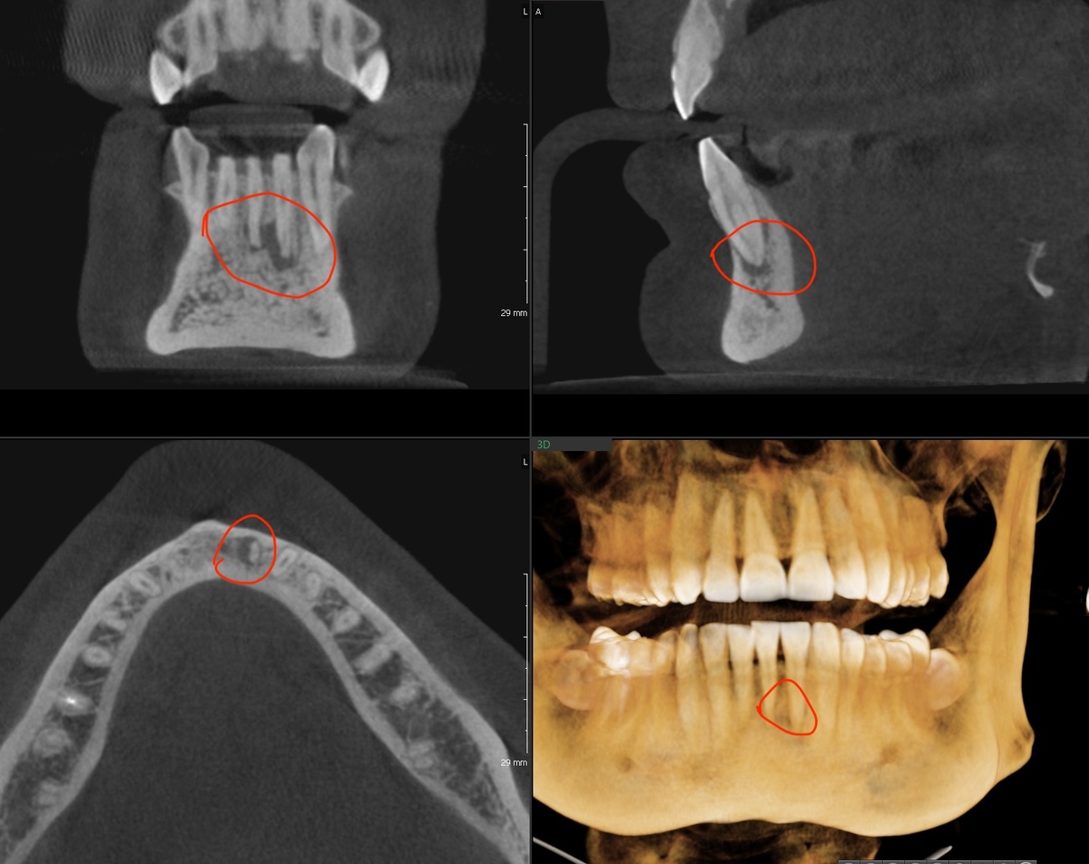
Вот как выглядел зуб в 2023 году:

2023 год
2023 год

Небольшой очаг остался, остались, кстати, и ощущения в зубе, отличающие его от остальных (нормальных) зубов. На десне шрам (фиброз) - нечто инородное, выпирающее. Возможно, дело в нём. А, возможно, в мелком очаге на апексе.

Посмотрим в динамике, год 2024:

2024 год
2024 год

Вроде, значительных изменений нет - ни в хорошую сторону, ни в плохую. Канал расширили знатно, не уверена, то зубу на пользу пойдёт повторная эндодонтия. Пускай остаётся в таком виде, в каком он есть сейчас.

Станет хуже - буду думать. Всегда есть РВК в закромах (резекция верхушки корня).

А почему же зуб не выжил?

Не знаю. Возможно, была травма. Но я ничего такого не припоминаю. В зубы не получала точно.

Да и, если честно, не интересно (есть темы, меня не цепляющие). Было и было.

Всем адекватных лекарств и своевременной диагностики желаю.

  • Случались странные зубные истории с вами или вашими знакомыми?

Наша терапия:

Наша терапия | Parodoctor | Дзен

Связь со мной и много всего интересного о работе клиники:

Parodoctor

С уважением, Лежачёва Наталия Александровна, хирург-пародонтолог и главный врач стоматологии Parodent, СПб.