Добавить в корзинуПозвонить
Найти в Дзене
Шаги без боли

Лечение вальгусной деформации первого пальца стопы (Hallux Valgus): что важно знать об остеотомии scarf и Akin?

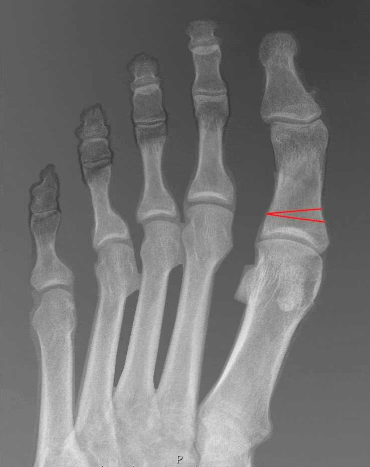
Вальгусная деформация первого пальца стопы (или "шишка на стопе") — это распространённая проблема, которая может доставлять боль и дискомфорт, нарушая качество жизни. В некоторых ситуациях консервативного лечения уже недостаточно, и требуется выполнение операции. Мы уже обсуждали в прошлом посте, что "шишка" - это не просто костный нарост, а изменение положения костей стопы, что хорошо видно на рентгене: Поэтому просто "отрезать" выступающую часть часто бывает недостаточным и даже вредным - если отпилить половину сустава, он не будет работать, но будет сильно болеть при ходьбе. Поэтому целей у операции две: сделать палец ровным и сохранить возможность движений большого пальца (сохранить сустав). Из-за этого большинство распилов кости во время операции делают вдали от сустава и толкают кости на свое место. Одним из вариантов такой операции, наиболее популярным в последние годы, являются остеотомии scarf и Akin. Расскажем простым языком, что это такое, кому подходит операция, и как прох
Оглавление

Вальгусная деформация первого пальца стопы (или "шишка на стопе") — это распространённая проблема, которая может доставлять боль и дискомфорт, нарушая качество жизни. В некоторых ситуациях консервативного лечения уже недостаточно, и требуется выполнение операции.

Пример пациента до операции и сразу после. Смайлик закрывает видимый шов. Фото опубликовано с разрешения пациента.
Пример пациента до операции и сразу после. Смайлик закрывает видимый шов. Фото опубликовано с разрешения пациента.

Мы уже обсуждали в прошлом посте, что "шишка" - это не просто костный нарост, а изменение положения костей стопы, что хорошо видно на рентгене:

-2

Поэтому просто "отрезать" выступающую часть часто бывает недостаточным и даже вредным - если отпилить половину сустава, он не будет работать, но будет сильно болеть при ходьбе. Поэтому целей у операции две: сделать палец ровным и сохранить возможность движений большого пальца (сохранить сустав). Из-за этого большинство распилов кости во время операции делают вдали от сустава и толкают кости на свое место. Одним из вариантов такой операции, наиболее популярным в последние годы, являются остеотомии scarf и Akin. Расскажем простым языком, что это такое, кому подходит операция, и как проходит восстановление.

Пример рентгенограмм стопы в прямой проекции до (слева) и после (справа) остеотомий scarf и Akin
Пример рентгенограмм стопы в прямой проекции до (слева) и после (справа) остеотомий scarf и Akin

📌 Что такое остеотомии scarf и Akin?

Это хирургические вмешательства, которые направлены на коррекцию неправильного положения костей стопы.

  • Остеотомия scarf: выполняется на плюсневой кости. Кость распиливается в форме буквы Z (создаются искусственные переломы), её положение корректируется и фиксируется специальными винтами.
Схема отеотомии scarf (вид сбоку)
Схема отеотомии scarf (вид сбоку)
Схема отеотомии scarf (вид сверху)
Схема отеотомии scarf (вид сверху)

  • Остеотомия Akin: проводится на фаланге большого пальца, чтобы устранить оставшийся угол отклонения (когда плюсневая кость стоит на своем месте, но палец все ещё отклонен).
Схема остеотомии Akin (вид сверху)
Схема остеотомии Akin (вид сверху)

Эти методы эффективны для восстановления формы и функции стопы. И могут применяться как по отдельности, так и вместе для лучшего результата.

❓ Кому показана операция?

Не всем пациентам с "шишкой на ноге" нужно сразу идти на операцию. Основные показания:

  • Постоянная боль, мешающая повседневной жизни.
  • Проблемы с подбором обуви.
  • Заметное ухудшение качества жизни.

Когда scarf и Akin не подойдут?

Существует более 300 видов операций для лечения вальгусной деформации, и выбор метода всегда индивидуален. Эти операции лучше подходят пациентам со средней степенью деформации и без тяжёлого артроза суставов. Если у вас серьёзная деформация или сопутствующие патологии, хирург может порекомендовать другие методики.

Рекомендация: не стоит относится к операции на «косточке», как к косметической операции. Это полноценное ортопедическое вмешательство, которое требует реабилитации и связано с определенной долей осложнений.

⚙️ Как проходит операция?

Операция включает:

  1. Доступ (разрез).
  2. Распил кости с её последующей коррекцией.
  3. Фиксация винтами для стабилизации правильного положения (иногда требуются другие фиксаторы).
  4. Завершение процедуры с минимальным травмированием тканей.

Процедура проводится под анестезией и требует соблюдения всех рекомендаций врача для успешного результата.

Примечание: многих пациентов волнует, нужно ли удалять винты. Мое личное мнение: если винты не доставляют дискомфорт, в обязательном удалении нет необходимости. Я удаляю винты у своих пациентов только по показаниям, например, если они раздражают окружающие мягкие ткани или сместились, когда кость уже срослась. Но каждая ситуация индивидуальна и требует обсуждения с лечащим врачом!

Внешний вид стопы с гиперкератозом (мозолью), связанным со смещением винта.
Внешний вид стопы с гиперкератозом (мозолью), связанным со смещением винта.

Рекомендация: обязательно уточните у лечащего врача, какие металлоконструкции были поставлены во время операции на случай, если понадобится их удалять через какое-то время. Чаще всего, эти данные указаны отдельно в выписных документах.

🦶 Реабилитация после операции

1. Первое время: нагрузка на ногу минимальная, ходить можно уже на следующий день в специальной обуви (ботинок Барука).

-8
-9

Обратите внимание при покупке: ботинки Барука могут быть предназначены для разных целей, обычно после операции используются модели с вырезом подошвы под носком (как на фото выше). Лучше уточнить этот аспект у лечащего врача.

2. 6–8 недель: постепенное восстановление, после чего можно перейти на обычную обувь.

3. Реабилитация: обязательна! Комплекс упражнений (ЛФК), физиотерапия, работа с инструктором помогут вернуть стопе функциональность.

⚠️ Почему операция — не всегда идеальная опция?

Каждый случай уникален. Если боль и деформация не нарушают вашу жизнь, хирургическое вмешательство может быть необязательным. Обсудите альтернативы с врачом:

  • Ортопедические стельки.
  • Подбор обуви.
  • Физиотерапия.

🏥 Успешный результат зависит от:

  1. Качества операции (опыт врача).
  2. Вашего участия в реабилитации.
  3. Выполнения всех рекомендаций.

Послеоперационное восстановление: занимает несколько месяцев.

Примечание: результат лечения во многом зависит от реабилитации и разработки пальца. Даже при идеально выполненной операции палец может двигаться плохо, если не уделить должное внимание ЛФК. Многие пациенты обращаются к реабилитологу или ходят в специальных группы ЛФК при поликлиниках.

***

💡 Интересный факт о названии остеотомии scarf

Остеотомия scarf получила своё название от термина «scarf joint», используемого в архитектуре и столярном деле. Этот термин обозначает соединение, при котором концы двух элементов вырезаются и соединяются таким образом, чтобы они плотно прилегали друг к другу, образуя непрерывную структуру. В контексте остеотомии scarf это отражает Z-образную форму распила кости.

-10

Так как scarf - это не имя автора, название пишется с маленькой буквы. Но часто используется вариант написания с большой буквы, который встречается даже в медицинских научных статьях.

А вот остеотомия Akin названа в честь своего создателя - норвежского ортопеда Дагфина Акина (Dagfin Akin), поэтому ее название пишется с большой буквы 😊.

***

Представленная информация носит ознакомительный характер. Назначение лечения требует обязательной консультации со специалистом.

Понравилась статья - поделитесь с друзьями и знакомыми!

Есть комментарий - пишите!

***

Вот подборка современных англоязычных систематических обзоров, посвящённых остеотомиям scarf и Akin при лечении вальгусного отклонения первого пальца стопы:

  1. Ferreira G.F., Borges V.Q., Moraes L.V.M., Stéfani K.C. "Percutaneous Chevron/Akin (PECA) versus open scarf/Akin (SA) osteotomy treatment for hallux valgus: A systematic review and meta-analysis" // PLOS ONE, 2021.PLOS Journals
  2. Peng Y.-N., Peng Y.-H., Chen C.P.C. "Chevron osteotomy and scarf osteotomy for hallux valgus angle and intermetatarsal angle correction: a systematic review and meta-analysis of randomized controlled trials" // Journal of Orthopaedic Surgery and Research, 2024.Josr Online
  3. Kilmartin T.E., O'Kane C. "Combined rotation scarf and Akin osteotomies for hallux valgus: a patient-focused 9-year follow-up of 50 patients" // Journal of Foot and Ankle Research, 2010.JFootAnkle Res
  4. Xie W., Lu H., Li G., Yuan Y., Xu H. "Rotation scarf + Akin osteotomy for severe hallux valgus with a new evaluation index: distance between the first and second metatarsals" // BMC Musculoskeletal Disorders, 2022.BMC Musculoskeletal Disorders
  5. Ferreira G.F., Borges V.Q., Moraes L.V.M., Stéfani K.C. "Percutaneous Chevron/Akin (PECA) versus open scarf/Akin (SA) osteotomy treatment for hallux valgus: A systematic review and meta-analysis" // PLOS ONE, 2021.PLOS Journals
  6. Kilmartin T.E., O'Kane C. "Combined rotation scarf and Akin osteotomies for hallux valgus: a patient-focused 9-year follow-up of 50 patients" // Journal of Foot and Ankle Research, 2010.JFootAnkle Res
  7. Xie W., Lu H., Li G., Yuan Y., Xu H. "Rotation scarf + Akin osteotomy for severe hallux valgus with a new evaluation index: distance between the first and second metatarsals" // BMC Musculoskeletal Disorders, 2022.BMC Musculoskeletal Disorders
  8. Peng Y.-N., Peng Y.-H., Chen C.P.C. "Chevron osteotomy and scarf osteotomy for hallux valgus angle and intermetatarsal angle correction: a systematic review and meta-analysis of randomized controlled trials" // Journal of Orthopaedic Surgery and Research, 2024.Josr Online