Классификация ZAGA
Zygoma anatomy-guided approach
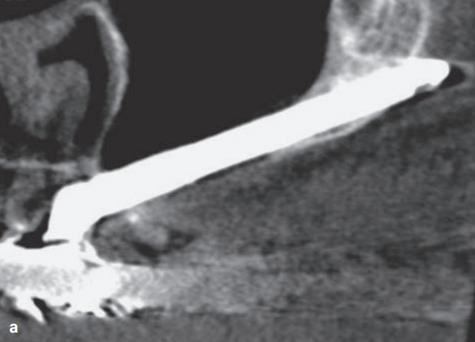
Скуловые имплантаты (впервые описана Бранемарком) используются для ортопедической реабилитации сильно резорбированнойверхней челюсти. Первоначальная методика включала в себя исключительно интрасинусный путь имплантата, и подготовку окна в передней стенке верхнечелюстной пазухи для визуализации скуловой кости во время установки имплантата.
Чтобы использовать анатомически и ортопедическиориентированный подход, первоначальная методика была модифицирована, также допуская экстрасинусальный путь для скуловых имплантатов. При этом новом подходе изначальное окно или щель не создаются на латеральнройстенке верхнечелюстной пазухи.
ZAGA 0
•Передняя стенка верхней челюсти очень плоская.
•Шейка имплантата расположена в альвеолярном гребне.
•Тело имплантата имеет транссинусальный путь.
•Имплантат контактирует с костью на уровне альвеолярного гребня и скуловой кости, а иногда и с боковой стенке пазухи.
Эта группа составила 15% пациентов.
ZAGA 1
•Передняя стенка верхней челюсти слегка вогнута.
•Шейка имплантата расположена на альвеолярном гребне
•Хотя имплантат можно увидеть через латеральную стенку синуса, большая часть тела имплантата имеет трассинусальный путь.
•Имплантат контактирует с костью на альвеолярном гребне, латеральной стенке пазухи и скуловой кости
Эта группа пациентов составляет 49%.
ZAGA 2
•Передняя стенка верхней челюсти вогнутая.
•Шейка имплантата расположена на альвеолярном гребне.
•Имплантат виден через стенку, и большая часть тела имеет экстрасинусальный путь.
•Имплантат контактирует с костью на альвеолярном гребне, латеральной стенке пазухи и скуловой кости.
Эта группа пациентов составляет 20,5%.
ZAGA 3
•Передняя стенка верхней челюсти очень вогнутая.
•Шейка имплантата расположена на альвеолярном гребне.
•Большая часть тела имплантата имеет передний экстрасинусальный путь.
•Средняя часть тела имплантата не касается самой вогнутой части стенки.
•Имплантат контактирует с костью в корональной альвеолярной и апикальной скуловой кости.
Эта группа составила 9% пациентов.
ZAGA 4
•Верхняя челюсть и альвеолярный отросток демонстрируют экстремальную вертикальную и горизонтальную атрофию.
•Шейка имплантата расположена щечноот альвеолярного гребня. На этом уровне отсутствует или минимальна остеотомия.
•Большая часть тела имплантата имеет экстрасинусный/экстрамаксиллярный путь. Только апикальная часть имплантата окружена костью.
•Имплантат контактирует с костью в скуловой кости и частью боковой стенки пазухи.
•Эта группа составила 6,5% пациентов.
Классификация PAGA
Pterygoid anatomy guided approach
PAGA — это абакроним, который расшифровывается как «pterygoid anatomy guided approach».
Этот метод представляет собой навигационный подход для установки птеригоидногоимплантата.
Часто из-за анатомических особенностей у хирурга недостаточно объема кости для установки имплантата под углом 45 градусов в крыловидный отросток, не прободая в гайморову пазуху. В таких случаях имплантат располагается транссинусально.
Уникальные анатомические характеристики комплекса Крыловидный отросток + бугор ВЧ , которые находятся в непосредственной близости от Гайморова синуса, требуют корректировки протоколов установки.
PAGA 1
Позиция: имплантат полностью находится в альвеолярном отростке
PAGA 2
Позиция: имплантат фенестрирует дистальную стенку ВЧ-синуса, в этой ситуации протокол операции: работа с птеригойдным остеотомом (закрытым доступом).
ZAGA 3
Позиция: бухта выражена и мезиальная поверхность имплантата прободает в ВЧ-синус, в таком случае нам нужно делать крестальный доступ техникой SLOT (щелевидный доступ) и отслаивать Шнайдерову мембрану.
Классификация NASA
Nasal Anatomic Systematic Approach
В зависимости от анатомических особенностей раковинного и остаточного альвеолярного гребня можно выделить различные способы размещения трансназальныхимплантатов.
Для упрощения выбора местоположения имплантатов в этой области В.Б. Камаргосоздал классификацию хирургических доступов, основанную на систематическом анализе анатомии носовой полости и околоносовых структур (Nasal Anatomic Systematic Approach, NASA), которая включает 5 классов.
NASA 0
Доступ: через резцовое отверстие
NASA I
Доступ: через центральный резец
NASA II
Доступ: через медиальный резец
NASA III
Доступ: через клык
NASA IV
Доступ: через клык с оголенными витками тела имплантата
