Найти в Дзене

Лечим Мурзика

Даже не знаю, как наши новости назвать. Хорошие они или плохие. Вчера вечером приехала с работы, Мурзику все так же плохо. Или даже хуже. А весь день я переписывалась с разными специалистами. Спасибо всем большое, кто откликнулся. Оказывается, на дзене я нашла настоящих друзей! К вечеру все таки сошлись на том, что у Мурзика инородка. Снимок, сделанный накануне. Ещё днем я обзванивала ветклиники. Приехав домой, у нас состоялся серьёзный разговор, так сказать семейное совещание. С учётом того, что мы ещё не отдали все долги за лечение Рыжика, муж не особо хорошо воспринял мою идею везти Мурзика в клинику. Сын плакал, я молчала и ждала, когда у мужа дрогнет сердце. И оно дрогнуло. Я мужа не осуждаю. Мы лечим то одного, то другого. А тут выяснилось, что сыну нужны новые зимние ботинки. И куртка зимняя новая нужна. Планировали куртку купить в декабре с зп мужа. А мы все средства вбухиваем в лечение котов. Я стала звонить в клиники, не говоря мужу, что сделала это ещё днем и записала

Даже не знаю, как наши новости назвать.

Хорошие они или плохие.

Вчера вечером приехала с работы, Мурзику все так же плохо. Или даже хуже.

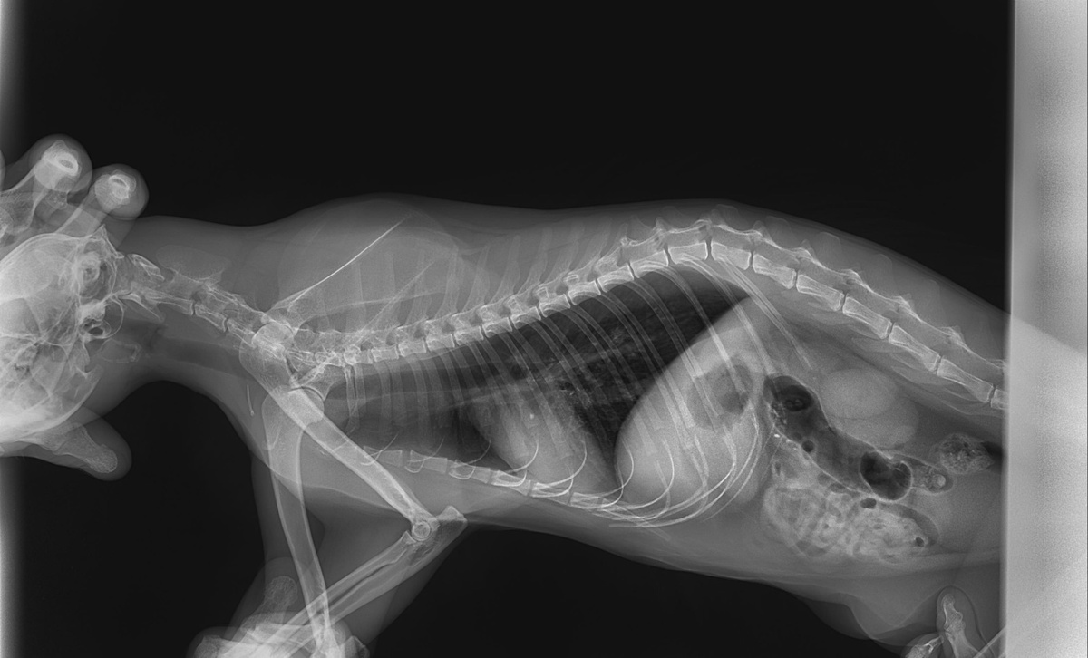
А весь день я переписывалась с разными специалистами. Спасибо всем большое, кто откликнулся. Оказывается, на дзене я нашла настоящих друзей! К вечеру все таки сошлись на том, что у Мурзика инородка.

Снимок, сделанный накануне.

Ещё днем я обзванивала ветклиники.

Приехав домой, у нас состоялся серьёзный разговор, так сказать семейное совещание.

С учётом того, что мы ещё не отдали все долги за лечение Рыжика, муж не особо хорошо воспринял мою идею везти Мурзика в клинику. Сын плакал, я молчала и ждала, когда у мужа дрогнет сердце. И оно дрогнуло. Я мужа не осуждаю. Мы лечим то одного, то другого. А тут выяснилось, что сыну нужны новые зимние ботинки. И куртка зимняя новая нужна. Планировали куртку купить в декабре с зп мужа. А мы все средства вбухиваем в лечение котов.

Я стала звонить в клиники, не говоря мужу, что сделала это ещё днем и записала Мурзика на сегодня к ветеринару (муж сегодня работает и я хотела это от него скрыть, да плохо, но так бы он не узнал, сколько я потратила бы на кота).

В итоге нам в одной клинике сказали, что у них в ночь работает хирург эндоскопист. Мы быстрее поехали туда.

Приехали, а нам говорят- извините, у нас такое не первый раз, что оператор говорит не правду. Нужного специалиста нет.

Мурзику от этого не легче. Нам тоже.

В городе ещё 2 круглосуточные клиники. Одна - в которой мы были накануне.

В этой клинике Мурзику делали узи, рентген и взяли кровь. Отпустили нас домой, сказав, что жизни ничего не угрожает. Они на снимке не увидели инородку. Я показала снимок ещё нескольким специалистам и мне сказали - она там есть. Мы просто потеряли целые сутки.

В итоге мы позвонили сразу в третью клинику. Скинули все снимки и нам говорят - видим инородку. Рентген сделать не сможем, сможем сразу вскрыть, посмотреть и вынуть. Мы сразу туда. При ощупывании Мурзика выяснилось, что у него ещё и кишка в кишку зашла, а это плохо. Если не выпрямится, то придётся этот кусок отрезать и сшивать. И как приживется - не известно. В общем, оставили его в клинике.

В 2 часа ночи мне позвонили и сказали, что нет у Мурзика инородки. А у него жуткий панкреатит... и обезвоживание.

Сказали, что выпустили ему газы и даже маленькую какаху.

Сегодня с утра им набрала, Мурзик под капельницами. Его обезболивают и восстанавливают воду в организме.

Будет там до вечера. Если к вечеру лучше не станет, то оставлять ещё на сутки.

По цене за операцию врач вместо 25 тр сказала возьмёт 8. Пока мы не заплатили не копейки, все потом.

Стационар сутки около 15 тр.

Чтобы снизить цену, предложили самим купить корм (гастро), пеленки и лекарства. В течение дня пришлют список.

Сейчас самое главное - запустить Мурзику кишечник. И чтобы он начал есть.

Помню, как я плакала, когда из стационара прислали видео, как Рыжик ест.

Каким кошачьим богам надо молиться, чтобы и у Мурзика все обошлось?

Вчера мне на работе сказали, что я придумываю своим котам болезни. Не придумываю. Думаю, думаю и сама не понимаю, как так может быть, что болеют один за другим? Почему? Что мы делаем не так? И как такое вообще возможно?

Я именно поэтому и не хотела просить финансовой помощи. А то вдруг люди подумают, что я мошенница.

А я не мошенница. Просто как то так у нас не удачно сложилось(((

Конечно, это как то не реально звучит, что за такое короткое время у нас заболел второй кот. И так сильно. Но я никогда в жизни не стала бы манипулировать ничьим здоровьем, даже здоровьем своих питомцев.

Вот такую сумму с нас взяли за Мурзика в первый день:

-2

Сейчас снова позвонили из клиники. По плану сделать УЗИ, посмотреть работу кишечника.

После работы поеду к ним, повезу лекарства,еду и пелёнки.

Вот такие у нас дела....

Спасибо всем за помощь и поддержку!

П. С. С этими всеми проблемами я стала понимать, насколько неважны в жизни дорогие телефоны, украшения, одежда и другие вещи. Самое дорогое - это жизнь!