Найти в Дзене

Роль высокоинтенсивного лазера в восстановлении суставов: исследование и результаты

Заболевания суставов, как остеоартроз, приводят к утрате подвижности и снижению качества жизни. Традиционные методы лечения ограничены, что стимулирует поиск новых подходов. Высокоинтенсивная лазерная терапия (HILT) показывает себя как эффективный метод для ускорения заживления тканей и снижения боли, становясь важным инструментом в медицине. Это современный и эффективный метод физиотерапии, который широко используется в различных областях медицины, включая ортопедию, дерматологию, стоматологию и реабилитацию. Она основывается на воздействии направленного света определённой длины волны, обладающего высокой концентрацией и точностью. Это позволяет лазеру проникать в глубокие слои тканей, стимулируя клеточные процессы восстановления и ускоряя регенерацию повреждённых участков. К числу главных преимуществ лазерной терапии можно отнести её безболезненность (что делает её подходящей даже для чувствительных пациентов), минимальную инвазивность (отсутствие повреждения кожи и снижение риска ин
Оглавление

Заболевания суставов, как остеоартроз, приводят к утрате подвижности и снижению качества жизни. Традиционные методы лечения ограничены, что стимулирует поиск новых подходов. Высокоинтенсивная лазерная терапия (HILT) показывает себя как эффективный метод для ускорения заживления тканей и снижения боли, становясь важным инструментом в медицине.

Лазерная терапия

Это современный и эффективный метод физиотерапии, который широко используется в различных областях медицины, включая ортопедию, дерматологию, стоматологию и реабилитацию. Она основывается на воздействии направленного света определённой длины волны, обладающего высокой концентрацией и точностью. Это позволяет лазеру проникать в глубокие слои тканей, стимулируя клеточные процессы восстановления и ускоряя регенерацию повреждённых участков.

Механизм действия лазерной терапии включает несколько ключевых аспектов:

  • Повышение выработки АТФ для энергии клеточной регенерации;
  • Ускорение кровообращения и лимфооттока, что способствует устранению отёков;
  • Усиление синтеза коллагена, необходимого для восстановления тканей.

К числу главных преимуществ лазерной терапии можно отнести её безболезненность (что делает её подходящей даже для чувствительных пациентов), минимальную инвазивность (отсутствие повреждения кожи и снижение риска инфекций), ускоренную регенерацию тканей, а также снижение воспаления и улучшение кровообращения, что способствует лучшему снабжению повреждённых тканей кислородом и питательными веществами. Процедуры лазерной терапии обычно занимают 5-20 минут, не вызывая побочных эффектов и хорошо переносятся пациентами. Лазерная терапия также эффективно сочетается с другими методами лечения, включая медикаментозную терапию и физиотерапевтические процедуры.

Применение лазерной терапии охватывает различные области медицины:

  • В ортопедии и спорте лазер помогает при лечении растяжений, разрывов связок, тендинитов, артритов и восстановлении после операций;
  • В неврологии лазерная терапия применяется для уменьшения болевых синдромов при радикулитах и невритах;
  • В дерматологии лазер помогает в лечении акне, псориаза, экземы, рубцов и ожогов;
  • В стоматологии лазер эффективно лечит пародонтит, стоматит и уменьшает боль после вмешательств;
  • В реабилитации лазер ускоряет восстановление после травм и операций.

Одним из наиболее актуальных направлений использования лазерной терапии является лечение остеоартроза коленного сустава (ОАКС). ОАКС является одним из самых распространённых дегенеративных заболеваний суставов, которое вызывает боль, ограничение подвижности и существенное снижение качества жизни пациентов. Лазерная терапия при остеоартрозе может значительно улучшить состояние пациентов, ускорив восстановление тканей и уменьшив болевые ощущения.

Результаты исследования, проведённого Мазлумом Сердаром Акалтуном и коллегами, подтверждают эффективность высокоинтенсивной лазерной терапии (HILT) при остеоартрозе коленного сустава. В исследовании приняли участие 40 пациентов с диагнозом ОАКС, которые были разделены на две группы: одна группа получала лечение с высокоинтенсивной лазерной терапией (HILT) в сочетании с лечебной физкультурой (ET), а другая – плацебо лазерной терапией (PL) и ET. Лечение проводилось 5 раз в неделю в течение 2 недель. Оценивались уровень боли (VAS), функциональная активность (WOMAC), толщина хряща (ультразвук) и диапазон движений (гониометрия).

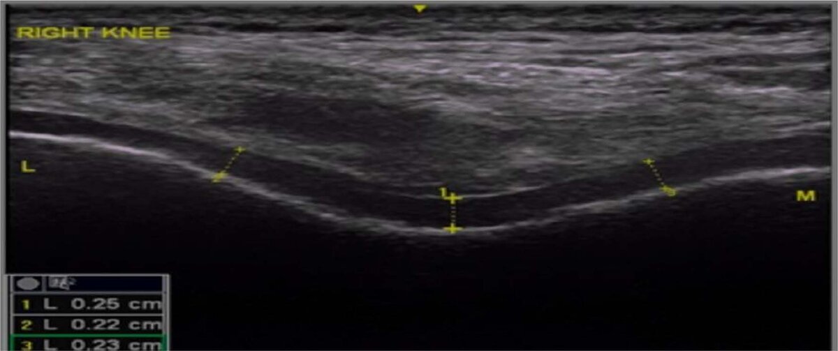
Рисунок 1 Ультразвуковое измерение толщины бедренного хряща на обоих коленях в трех различных местах (межмыщелковый, латеральный и медиальный)
Рисунок 1 Ультразвуковое измерение толщины бедренного хряща на обоих коленях в трех различных местах (межмыщелковый, латеральный и медиальный)

Результаты показали, что в обеих группах наблюдались статистически значимые улучшения в показателях боли и функциональной активности, а также в толщине хряща уже на 2-й неделе лечения. Однако на 6-й неделе группа HILT + ET показала более выраженные улучшения по всем оценочным шкалам, включая уменьшение боли (VAS) и улучшение функциональной активности (WOMAC), а также значительное увеличение толщины хрящевой ткани. Это указывает на большую эффективность высокоинтенсивной лазерной терапии в комбинации с лечебной физкультурой по сравнению с плацебо-терапией.

Таким образом, высокоинтенсивная лазерная терапия (HILT) является мощным и эффективным методом лечения остеоартроза коленного сустава, значительно улучшая клинические показатели и ускоряя восстановление тканей. Для качественного проведения лазерной терапии следует использовать современное оборудование, например, аппараты для лазерной терапии BTL. Они эффективны при болях в опорно-двигательном аппарате, вызванных травмами, хроническими заболеваниями, хирургическими вмешательствами и воспалениями. Аппараты BTL обеспечивают высокую эффективность, точность и безопасность процедуры. Они широко используются в медицинской практике и позволяют достигать оптимальных результатов при лечении остеоартроза и других заболеваний.

В целом, лазерная терапия представляет собой перспективный и безопасный метод лечения, который помогает не только уменьшить болевые симптомы, но и способствовать восстановлению повреждённых тканей, что делает её незаменимым инструментом в современной медицине.