Найти в Дзене
Пикабу

ТРЭШ СТОМАТОЛОГИИ

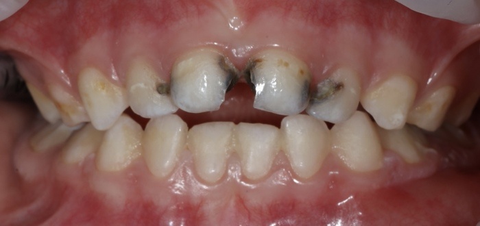
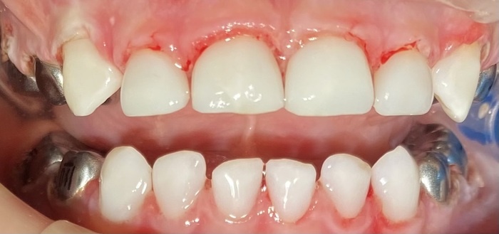
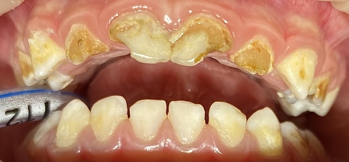
Хочу поделиться ещё и работами стоматологов, с которыми я работаю. Зубы детские. Все! До/После. Лечат под седацией.

Единственный вариант, избежать дорогостоящего лечения:

Чистить зубы ребенку самому 2 раза в день. Особенно важно ночью.

Хотя бы раз в год водить на осмотры. Они почти во всех клиниках бесплатные.

Пост автора forGirls.

Читать комментарии на Пикабу.