Найти в Дзене
Белка в позе

Дежурство обычное, в мой "любимый" день недели

Здравствуйте.🤝 Красивый приемник–это пустой приемник, но это не про больницу скорой помощи. Вот и в семь утра дверь рентгена подпирала каталка с пациенткой, ожидающей снимков. Но, кварцевали кабинет, и девушку никто не завозил на снимки. Наконец , прокварцевали и завезли. Ситуация -банальнейшая до скрежета зубовного для ночи пятницы и утра субботы. В баре девчонки подрались, и , потерпевшая , размазывая слезы по нетрезвому лицу, была больше исцарапана и с хорошо потаскаными волосами, которые неаккуратно торчали со всех сторон головы. Устав лежать, кабинет она покидала на своих двоих, позже , дозвонившись до родственников, которые были разбужены неприятной новостью, покинула приемник. ************************ Завозят каталку , женщину сопровождают родственники. Открытый перелом. Да , елки палки, когда все это прекратится? Когда пациент выдаст "шок" прям в кабинете? А у нас , если что , только нашатырь , да и тот полулегально. Женщина поскользнулась дома , на разлитой воде. Сняли тольк

Здравствуйте.🤝

Красивый приемник–это пустой приемник, но это не про больницу скорой помощи.

Вот и в семь утра дверь рентгена подпирала каталка с пациенткой, ожидающей снимков.

Но, кварцевали кабинет, и девушку никто не завозил на снимки.

Наконец , прокварцевали и завезли.

Ситуация -банальнейшая до скрежета зубовного для ночи пятницы и утра субботы.

В баре девчонки подрались, и , потерпевшая , размазывая слезы по нетрезвому лицу, была больше исцарапана и с хорошо потаскаными волосами, которые неаккуратно торчали со всех сторон головы.

Устав лежать, кабинет она покидала на своих двоих, позже , дозвонившись до родственников, которые были разбужены неприятной новостью, покинула приемник.

************************

Завозят каталку , женщину сопровождают родственники.

Открытый перелом. Да , елки палки, когда все это прекратится? Когда пациент выдаст "шок" прям в кабинете?

А у нас , если что , только нашатырь , да и тот полулегально.

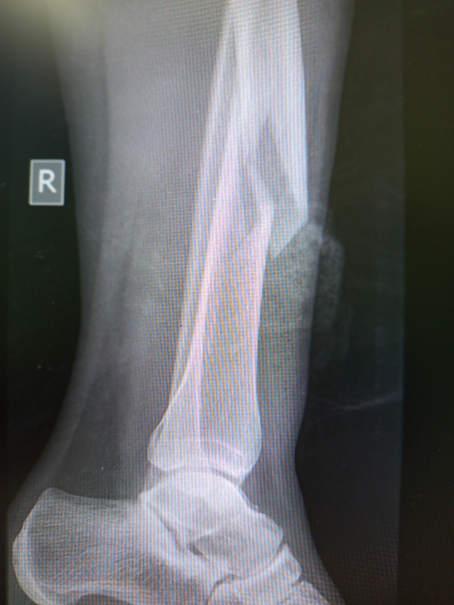
Женщина поскользнулась дома , на разлитой воде.

-2

Сняли только так , просто побоялись поворачивать ногу, пациентка ее чувствует и плачет от боли.

Минут через пятнадцать после осмотра травматолога завозят опять, назначили колено , на той же конечности.

-3

И вправду, там еще подломила.

Представляете , если мы ротировали ногу? Жесткий перелом, обычное недоразумение , несчастный случай.

Пациентку сразу же подняли в оперу, на временную внешнюю фиксацию костей. В понедельник поставят в план.

*********************

Принимаем пациентов далее , дверь только успевает открываться и закрываться. В очередной раз открыв дверь в нос шибает такооой ароматище, прям до рвотных позывов.

Полицейские привели чудо-чудное, весь какой-то побитый, комбинезон уделан в чем-то , заторможен, но запашист.

–Что он-то сделал? За что вы его задержали?

–Ничего, –ответили сопровождающие, –лежал на вокзале, пришлось хоть за что-то задержать.

Интересно-интересно, скорая ввела платный тариф что ли для вызывающих?

Сесть не разрешила пациенту, стулья у меня не лишние, кое-как , не дыша , сняла череп. Отправила из кабинета.

Проявила снимки , ну , блэк, прямой снимок зашевеленный, боковой–четкий.

Но и на задвиганном снимке угадывается трещина. Ну , думаю, на КТ отправят.

Работу кабинета тормознули на десять минут , необходимо было проветрить помещение и обработать хлором все , за что касался пациент.

–Да, тяжеленькая у вас работенка, –замечает следующий пациент.

–А главное , какая ароматная!

–Да мы в курсе , на весь коридор запах, как вы это терпите?

–А тут главное скорость и тренированные легкие. Задержал дыхание на четыре минуты, потом в соседней комнате можно выдохнуть, а вот товарищи полицейские с ним три часа уже контактируют!Вот где выдержка нужна!

Приводят того пациента снова. Прямой снимок переделать. Опять задерживаю дыхание , делаю.

-4

Хоть в этот раз постоял. Госпитализировали моментально, откатали на КТ , подняли в операционную.

Мужчина пришел, за локоть держится.

–Упали?

–Прям, участковый,......, перестарался!

-5

Да, есть немного.

С одиннадцати вечера наш кабинет превратился в филиал нейрохирургии. Заработали кассеты 35 на 35.

-6

Спрашивать на счет совести у людей в 12 ночи , просто ударившихся о боковину дивана не имело смысла.

Женщина пришла , лоб рассечен. Тут хотя бы понятен смысл обращения.

–Обо что ударились?

–Кружкой зарядили мне!

–Как так, за что?

–На вахте была, сегодня приехала, вот , отмечали!

–А где на вахте?

–В Норильске.

–Ну и как ? Платят там?

–Не жалуемся , от 180 и выше?

–Кем же вы работаете?

–Клининговые услуги.....

Все , от зависти в зобу дыханье сперло. В кондукторы не иду, на север еду!

–А график какой там при таких зарплатах?

–Три месяца там , один дома.

–Чтобы уехать , надо что-то?

–Деньги на билет, но там , где я работаю, потом возвращают. Жилье –предоставляют.

–А не знаете , медики там требуются или все хватает?

–Конечно, там больницы все в одном месте располагаются. Зарплата у них от 240.

–Серьезно??? У среднего персонала???? На сколько ставок??Это точно???

–Да, у меня сестра там работает, на ставку.

Ну , вот , почему так? Если я живу не на севере, то мне можно платить в шесть раз меньше , а то и в восемь? Работа же одна и та же. Да и в больницах там явно не ветер гуляет и сугробами заваливает.

А зимы и в средней полосе суровые бывают.

Так и закончилось мое дежурство, в полном недоумении и крайнем поражении.

Нас наверное и заваливают работой, чтоб времени не было одуматься и осмотреться?

Пока месяц отсидишь, приходя в себя, стаж отнимут, а при такой работе просто некогда задумываться. Вступил в болото и застрял в нем. Еще и сертификаты во время продлевать надо, если заканчивается–могут не трудоустроить...

В общем , на счет севера я подумаю!

Берегите себя!