Добавить в корзинуПозвонить
Найти в Дзене
Белка в позе

Дежурство субботнее , чудеса в наших руках

Здравствуйте🤝 Вот после вчерашнего аванса за ноябрь , мне сегодня не хотелось идти на дежурство,дали 4900, а если и прийти, то только для того, чтобы там напакостить. Семь утра , полный приемник, каталка с постоянником , ребенок у мамы на коленках сидит, и пара -тройка ходячих. Иллюзию толпы создавали сопровождающие, со всеми по одному , вот и получается вместо четырех-восемь человек. Ладно тут понятно, люди шли на работу, скользко. –Представляете, –охотно поясняет пациентка, –должна быть выходная сегодня, а сменщица попросила заменить ее, пошла на свою голову.Вот , позвонить хочу , "поблагодарить"! Да , луч сломала.Можно каждый денек благодарить, на протяжении месяца полтора , как минимум) –А кем работаете? –Кондуктором в транспорте. –Как там у вас платят хоть? –Ну , если не напрягаться , на ставку 60 тысяч, а кто хочет и дополнительно смен набирает–те и сотку получают. Однако. 👀Мы с нищими коллегами дружно переглянулись, вспомнив вчерашний аванс. Не , ну нормально? Что там та

Здравствуйте🤝

Вот после вчерашнего аванса за ноябрь , мне сегодня не хотелось идти на дежурство,дали 4900, а если и прийти, то только для того, чтобы там напакостить.

Семь утра , полный приемник, каталка с постоянником , ребенок у мамы на коленках сидит, и пара -тройка ходячих.

Иллюзию толпы создавали сопровождающие, со всеми по одному , вот и получается вместо четырех-восемь человек.

Ладно тут понятно, люди шли на работу, скользко.

–Представляете, –охотно поясняет пациентка, –должна быть выходная сегодня, а сменщица попросила заменить ее, пошла на свою голову.Вот , позвонить хочу , "поблагодарить"!

Да , луч сломала.Можно каждый денек благодарить, на протяжении месяца полтора , как минимум)

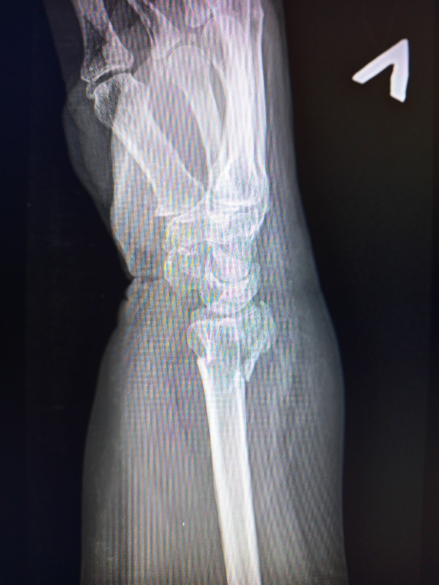
И шиловидный еще до кучи
И шиловидный еще до кучи

–А кем работаете?

–Кондуктором в транспорте.

–Как там у вас платят хоть?

–Ну , если не напрягаться , на ставку 60 тысяч, а кто хочет и дополнительно смен набирает–те и сотку получают.

Однако. 👀Мы с нищими коллегами дружно переглянулись, вспомнив вчерашний аванс. Не , ну нормально? Что там такого они делают невероятного? Да , труд тяжелый, вредность там тоже имеется, но , не вдвое же больше на ставку, и сутки они не протирают штаны в больницах с пациентами и образование , вроде , специального не требуется.Не принижаю нисколько их труд , ну а как же мы?Нас -то почему так "уделали"?)

Настроение упало окончательно.

-Ну , а у вас что? –Поинтересовались мы у молодой мамы, ребенок так и сидел на коленках .

–Да упала с кровати, с нашей, я вырубилась и проглядела.Мы у вас уже были два месяца назад , сейчас вот приехали, исключить..

– 30 недель ребенку и уже второй раз, нее, вы знаете , сходите сначала к врачу, скажет , что необходимо , тогда только и сделаем.

И знаете , случилось чудо! Назад они не пришли. Конечно , без снимков обычно они не общаются с пациентами.Но , в прошлую смену одна сопровождающая ребенка обещала не оставить без внимания то , что врачи отказываются смотреть детей без снимков.Вдруг это ее рук дело? Так бы найти ее и горячо поблагодарить🤝🤝🤝🤝🤝

********************

Пациентка по фамилии Стойкая , оказалась совсем не стойкая. Это та , из молодежи , которые сильно себя любят и , будучи абсолютно целыми и невредимыми с виду, морщатся от мнимой боли при каждом прикосновении.

Вот и она упала, дома, и придя на своих двоих нажаловалась врачу на все, снимали кости черепа , ШОП , плечо.

Безусловно, что там все целое, ну , ей в 19 лет утром необходимо было получить свою порцию икс лучей.

******************

Мы все обожаем приемные дни хирургий, их в неделю-5, и сегодня приемный день, с утра уже увидели в программе висящих пациентов , обратившихся по поводу хирургических патологий , нам это грозит обычно кучей снимков брюшной полости.

Как правило , такие пациенты -тяжелые , зачастую на каталках, а снимок органов брюшной полости информативен в укладке "стоя".

И с ходячими пациентами проблем не возникает, а вот с лежачими и прочими ослабевшими пациентами представляете себе , сколько времени займет одно исследование.

Вот и ставили дедушку минут десять в силу состояния и возраста. По описанию , без патологий, еще раз его привезла , я так понимаю , супруга, через два часа , на этот раз на снимок легких.

–Мы уже тут три часа почти, –жалуется сопровождающая, –А говорят , что ничего нет, но не просто так же он жалуется , ему плохо.

Да , не просто, 83 года , как-никак, нет таблетки от возраста, к сожалению.

Вот и в легких только возрастные изменения, но госпитализировали, так , прокапаться больше , у нас начальство ценит, когда все койко-места заняты. А пожилого пациента всегда есть с чем госпитализировать.

Сделали КТ , торакоабдоминальная расслаивающаяся аневризма аорты, возраст все-таки...

******************"

Народ выспался и все прибывал и прибывал, шли и шли , хоть не одновременно прибывал на поезде здоровья, но присесть не получалось.

Кое -как выкроили время на текущую уборку, после включили кварц. Нам наконец -то к бактерицидной лампе установили кварцевые лампы , современные, с встроенным таймером , ну ,и всучили еще на них журнал)))

Включили кварц , решили чуть присесть , не тут-то было.

В позе "нараскоряку "идет к кабинету парень, за ним семенит сопровождающая, открывают кабинет , ни мало не смущаясь наличию красной таблички , оповещающей, что идет кварцевание.

Замахали на них руками, но такое несчастное лицо было у парня , что насильно прекратили работу кварца, а потом все дружно , вместе с врачом приемника и пациентом смеялись.

Не над ситуацией , а над тем , как мы укладывали в нужные положения пациента для снимка костей таза и копчика.

А ситуация ,конечно ,тоже интересная. Травма случилась при катании на лыжах, как в комедии, ноги на лыжах разъехались в разные стороны , и в позе вертикального шпагата парень приземлился на скорости на пенек. Именно пятой точкой(и всеми органами близлежащими) в шпагате.

Укладка на кости таза -огонь просто)) но , пригласили сразу травматолога, чтобы сам видел , как тут все происходит)))

А на снимок копчика , на боковую проекцию он вообще оделся в фартук и сам держал ноги пациенту.

Просто ушибы, а столько пережил молодой человек.

Еще одна лыжница пожаловала) Врезалась рукой во дерево

-3

Вывих , почти как" лайк" получился снимок.

В общем , оздоровились молодые люди.

*************************

Парные случаи

Конечно же и они были, только в этот раз парность была не в том , что пациенты одинаково травмировались, обе пациентки были женщинами , пожилыми, их сопровождали сыновья .

Одной назначили снимок коленного сустава , завез ее сын;рассказав , что делать , как и с чего снять , куда и как сесть, я села за компьютер вносить данные и замечаю , что на направлении фамилия написана через "р", а по программе она через "л". Уточняю у пациентки фамилию, она говорит. А тут сын просто врывается ко мне в пультовую, и , сжимая в руке паспорт , на повышенных тонах говорит

–Вот ее паспорт, возьмите и списывайте оттуда! Почему вы все время спрашиваете! Может, она плохо слышит , а вы вопросы задаете!

–Во -первых, мне не нужен паспорт, все есть в программе, а во-вторых, я уже выяснила все , что хотела. Сняли брюки? На стол легли? –уточняю я у пациентки

–А если она сама не может? Кто это сделает?! –так же на высоком тоне спрашивает сын

–Вы! Вы же ее сопровождаете?

–Да это беспредел!

Тем временем вижу , что пожилая пациентка уже готова к снимкам.

–Вы выходите, сейчас светить буду.

–Да выйду я , выйду! –раздраженно отвечает мужчина.

Сделали снимки, пациентка оделась, пересела в кресло , я пригласила сына вывезти мать, указала направление к нужному кабинету.

А во втором случае , тоже немолодой сын завез на сидячей каталке пожилую маму на ОБП. Проинструктировала их , что нужно освободить верхнюю половину тела от одежды полностью и ушла в пультовую вносить данные.

Слышу , что из процедурки доносятся недовольные реплики мужчины:

–Это почему не говорят , что делать? Что мы тут стоим?!

–Повторяю, –реагирую я, –верхнюю часть тела освобождаем от одежды!

–А вообще, что будут делать?

–Рентген, области брюшной полости, –еще раз объяснила я.

–И что делать -то нужно? Куда идти?

–Снять халат, ночнушку и бюстгалтер , если есть!

–Кто это будет снимать?!

– Сами.

–Это ваша обязанность , да что это за организация!? –дошел до точки кипения мужик.

–Погодите, я свои обязанности знаю, из и выполняю.

–А что вы себя так ведете! Еще и кричите! –привел последний аргумент настоящий сын.

–Кричите здесь только вы , все выходите, мы дальше сами, –ответила я , взяла кассету и отправилась выполнять укладку для ОБП.

Железную дверь не могли бы захлопнуть сильнее , даже если бы постарались.

Я все понимаю, и что час ночи , и что вынуждены вы тут просиживать под кабинетами , а в кабинетах выполнять глупые требования глупых людей от медицины. Но это ж ваша мама.

К слову , старушка пыталась погасить конфликт,она и сняла все сама , а потом интересовалась , почему брюшную полость снимают стоя ? Я ей рассказала . Она поделилась со мной , что сорок лет отработала операционной медсестрой, и что раньше всегда в операционной делали снимки лёжа)

Не стала уточнять я , что там снимали лежа, но , сняв область, не стала звать помочь одеться пациентке раздраженного сына. Она и сама прекрасно справилась , под беседу)

И такие парные случаи бывают.

*********************

Пациентку привезли на снимок пальца кисти, но на сидячей каталке. Что -то ей и дурно и мутно , и вообще , бледная.

Есть у нас лаборант, Марьяна, она сразу зовет врача , за чьим приемником числится пациент.

Позвала и в этот раз.

Сняли одну проекцию, сняли вторую, поставили проявлять кассету с первой проекцией , а пациентка начала терять сознание.

Доктор приемника, кстати , тот молодой "кистевик", которого и "утянули" в приемник , уже не первый раз попадает на таких пациентов. Он и подбежал к пациентке, и на стол наш уложил , а потом сам укатил себе в кабинет. Что интересно, на прямой проекции не виден перелом , а на боковой-сразу. Вот вам и ненадобность второй проекции.

-4

************************

Пациент пришел, ночь уже , но у него рука болит, опять собака виновата, Алабай. Он с ней играл , но она цепь дернула.

–Не будете ругать собачку, если вдруг не просто болит? –задаю вопрос , увидев перелом

-5

–Нет , что вы! Я ее люблю, девочку мою, она мне деньги приносит!

–Как это? 👀

–Щенками! Знаете сколько щенок Алабая стоит?

–Нет.

–180 тысяч.

–Серьезно??

–Да, по семь штук щенится!

Так, перевод в кондукторы временно отменяется! Начинаю разводить алабаев)

*********************

Время к трем , но приемник полный каталок , работников , скоряков и полиции.

Ножевое сразу подняли в оперу.

Избитую девушку(не сильно), ко мне отправили , целая , но в анамнезе эпилепсия.

И завезли на каталке ну абсолютно пьяного , раздетого до исподнего , мужика. Видок , скажу я вам, еще тот, учитывая то , что он расшиб подбородок, весь залитый, но , перевязку сделали. Сопровождала молоденькая дочь. Папенька , оказывается с работы такой пришел и продолжил дома праздновать что-то, ровно до падения фейсом об тэйбл.

Рассек кожу на подбородке, дочь вызвала скорую. А почему дочь? А супруга на сутках на работе была.

Подозреваю , что он праздновал, видимо, вечер отсутствия супруги.

На первый раз снимки не получились, Мужик размахивал руками, матерился , слал меня в те места , которые и выпадывали из нижнего белья.

Вывезла, ну зачем мне это?

Минут через 15 уже в приемнике спросила его , будем ли мы сниматься?

–Каанешшна! А это бесплатно?

–Естественно , банкет, вернее снимки за наш счет!

–А ,поехали!

Опять его с дочерью завезли. И сделала я снимки.Он не сопротивлялся , только потом начал срывать все повязки , наложенные ему заботливо хирургом. Ну нет у меня ночью ни уборщицы ни санитарки , некому убирать кабинет от всяких использованных материалов! Сама , все сама!

-6

Чуть позже увидела , как уже одетого(вот сюрприз, я и весь приемник уже все достоинства увидели) полувменяемого папу дочь уговаривала выйти к такси и покинуть столь гостеприимное заведение для всех, любого возраста и состояния).

Кто-то отпраздновал на славу! Кто-то пошел на больничный!

А работники больницы скорой помощи и наработались и не заработали!

Берегите себя!