Найти в Дзене
НАУКА из первых рук

Нет худа без добра, или Ковид – против рака?

Почти сразу после открытия вирусов был обнаружен удивительный факт: перенесенное вирусное заболевание либо вакцинация может улучшить состояние онкобольных вплоть до наступления стойкой ремиссии. Так еще в начале XX в. родилась идея использовать «онколитические» вирусы в борьбе с раковыми заболеваниями человека, хотя этот метод до сих пор не получил широкого распространения. К таким вирусам, похоже, относится и SARS-CoV-2, ставший причиной недавней коронавирусной пандемии Во время пандемии COVID-19 были зарегистрированы случаи регрессии некоторых видов рака у онкобольных, зараженных коронавирусом SARS-CoV-2. Но подобный феномен был открыт уже давно для возбудителей других вирусных инфекций. Что касается самого феномена, то вирусам присуща способность убивать клетки, в которых они размножаются, и раковые клетки не являются исключением. Уже в начале прошлого века для лечения онкобольных стали применять живую вакцину против бешенства, содержащую ослабленный вирус, а полвека спустя – и непа
Клетки плоскоклеточной карциномы человека – раковой опухоли, обычно чувствительной к иммунотерапии
Клетки плоскоклеточной карциномы человека – раковой опухоли, обычно чувствительной к иммунотерапии

Почти сразу после открытия вирусов был обнаружен удивительный факт: перенесенное вирусное заболевание либо вакцинация может улучшить состояние онкобольных вплоть до наступления стойкой ремиссии. Так еще в начале XX в. родилась идея использовать «онколитические» вирусы в борьбе с раковыми заболеваниями человека, хотя этот метод до сих пор не получил широкого распространения. К таким вирусам, похоже, относится и SARS-CoV-2, ставший причиной недавней коронавирусной пандемии

Во время пандемии COVID-19 были зарегистрированы случаи регрессии некоторых видов рака у онкобольных, зараженных коронавирусом SARS-CoV-2. Но подобный феномен был открыт уже давно для возбудителей других вирусных инфекций. Что касается самого феномена, то вирусам присуща способность убивать клетки, в которых они размножаются, и раковые клетки не являются исключением.

Уже в начале прошлого века для лечения онкобольных стали применять живую вакцину против бешенства, содержащую ослабленный вирус, а полвека спустя – и непатогенные штаммы вирусов лихорадки Западного Нила, желтой лихорадки, аденовирусов и др. Эффекты такого лечения были неоднозначны и зачастую непредсказуемы, а трудности с высококачественной очисткой вирусных препаратов негативно отражались на их безопасности. Все это вместе с недостатком знаний о молекулярных механизмах антиракового действия вирусов и скепсисом контролирующих органов заставило врачей отступить.

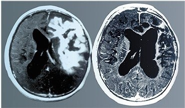
Один из самых поразительных случаев излечения рака с помощью вирусной терапии связан с глиобластомой, опасной и быстро развивающейся опухолью головного мозга. У больного (пятнадцатилетнего подростка) опухоль была уже очень большой и обычная терапия была бесполезна. Лечение проводилось вирусом болезни Ньюкасла. Вверху – томограммы мозга больного до и после лечения. По: (Csatary and Bakacs, 1999)
Один из самых поразительных случаев излечения рака с помощью вирусной терапии связан с глиобластомой, опасной и быстро развивающейся опухолью головного мозга. У больного (пятнадцатилетнего подростка) опухоль была уже очень большой и обычная терапия была бесполезна. Лечение проводилось вирусом болезни Ньюкасла. Вверху – томограммы мозга больного до и после лечения. По: (Csatary and Bakacs, 1999)

Новая глава в истории «вирусной терапии» рака началась десятилетия спустя благодаря выдающимся достижениям в молекулярной биологии и генетике и стремительному развитию биотехнологических методов исследования.

Онколитические вирусы из разных семейств. По: (Cattaneo, 2008)
Онколитические вирусы из разных семейств. По: (Cattaneo, 2008)

Механизм, который может лежать в основе связи между COVID-19 и регрессией раковой опухоли, обнаружили ученые из Медицинской школы Файнберга Северо-Западного университета (США), которые использовали для экспериментов мышиные модели рака человека и культуры человеческих клеток. Но чтобы понять значимость этого открытия, следует сделать небольшой экскурс в иммунологию.

На сегодня существует несколько подходов к лечению рака, которые часто сочетаются. К наиболее известным относятся удаление опухоли хирургическим путем и ее разрушение с помощью радио- либо химиотерапии.

Более новые методы основаны на активации иммунной системы самого пациента, чтобы она могла успешнее выполнять свои функции по уничтожению измененных клеток. К таким методам относится иммунотерапия с применением особым образом активированных Т-лимфоцитов больного, которых прицельно «натравливают» на раковые клетки. Но у этого способа есть ограничение: клетки опухоли, защищаясь, способны ингибировать лимфоциты хозяина, из-за чего она становится устойчивой к подобному лечению.

Для этой цели раковые клетки выделяют белок CCL2, который может влиять на передвижения иммунных клеток, включая классические моноциты, несущие рецептор к этому белку – CCR2. Эти иммунные клетки, привлеченные к опухоли, дифференцируются (превращаются) в ассоциированные с ней «плохие» клетки-макрофаги, которые подавляют иммунитет, способствуя прогрессированию и метастазированию рака.

Моноциты – одни из самых крупных клеток крови, которые в норме присутствуют в кровотоке человека. © CC BY-ND 2.0/Magdalena Wiklund
Моноциты – одни из самых крупных клеток крови, которые в норме присутствуют в кровотоке человека. © CC BY-ND 2.0/Magdalena Wiklund

При этом в норме некоторая часть классических моноцитов дифференцируется в «хорошие» неклассические моноциты (NCM), обладающие противораковыми свойствами. И здесь есть нюанс.

Ранее был известен лишь один молекулярный путь превращения классических моноцитов в неклассические – под действием белков, контролирующих синтез РНК с матрицы ДНК. Процесс этой дифференцировки сопровождается потерей рецепторов CCR2. Такие клетки, называемые сейчас натуральными неклассическими моноцитами (N-NCM), занимаются «патрулированием» в кровеносных сосудах, выявляя патогены и циркулирующие в крови опухолевые клетки и запуская механизм их уничтожения. Однако из-за отсутствия рецепторов CCR2 у них нет доступа к участкам опухоли, расположенным вне сосудов.

Недавно был обнаружен альтернативный путь образования уникальных классических моноцитов, сохраняющих рецепторы CCR2 и способность проникать в опухоль. Эти клетки, названные индуцируемыми неклассическими моноцитами (I-NCMs), секретируют в опухоли белок CCL6, который привлекает к ней иммунных клеток-киллеров, которые начинают напрямую уничтожать раковые клетки.

Слово «индуцируемые» в названии этих клеток отражает тот факт, что дифференцировка моноцитов в сторону I-NCMs идет под действием определенных внешних факторов. Американские исследователи установили, что к этим факторам относится воспалительный процесс, который может вызван инфекцией либо трансплантацией органов. В частности, у мышей и людей количество I-NCMS может увеличиваться при активации гена NOD2. Белок, который кодирует этот ген, активирует провоспалительный сигнальный путь при бактериальной инфекции и участвует в реакции отторжения трансплантата.

Как выяснилось в экспериментах, активацию гена NOD2 (и последующую дифференцировку моноцитов в сторону I-NCMs) можно запустить рядом низкомолекулярных соединений, в том числе уже одобренными в качестве иммуномодуляторов у людей. А также – внимание! – одноцепочечными молекулами РНК некоторых вирусов, где закодирована их генетическая информация, включая коронавирус SARS-CoV-2, возбудителя COVID-19.

На мышиных моделях рака было показано, что коронавирусная РНК провоцирует появление пула клеток I-NCMs, которые ингибируют рост опухолей и успешно проникают в очаги метастазов меланомы, рака легких, молочной железы и толстого кишечника.

Результаты этой работы говорят о том, что в крови онкобольного, переболевшего «тяжелым ковидом», может увеличиваться число иммунных клеток, способных оказать выраженный противораковый эффект. И кто знает, какое действие оказывает на организм человека коронавирусная инфекция меньшей тяжести, учитывая, что «неправильные» клетки появляются в нем постоянно и также постоянно уничтожаются иммунной системой.

Еще один важный результат – что уровень противораковых моноцитов I-NCM можно поднять фармакологическим путем. Пока этот подход опробован лишь на доклинических животных моделях, однако он может стать принципиально новым способом лечения онкологических больных, особенно при раке, устойчивом к иммунотерапии.

Публикации по теме:

Вирусы атакуют… опухоль

Как вирусы помогут вылечить рак

Иммунотерапия рака, или как обучить иммунитет команде «фас!»

Во власти опухоли: почему метастазы так трудно остановить?

Фото: https://www.flickr.com