Найти в Дзене
У зубного

Кейс: лечение на аппарате Хаас у 8-летней пациентки

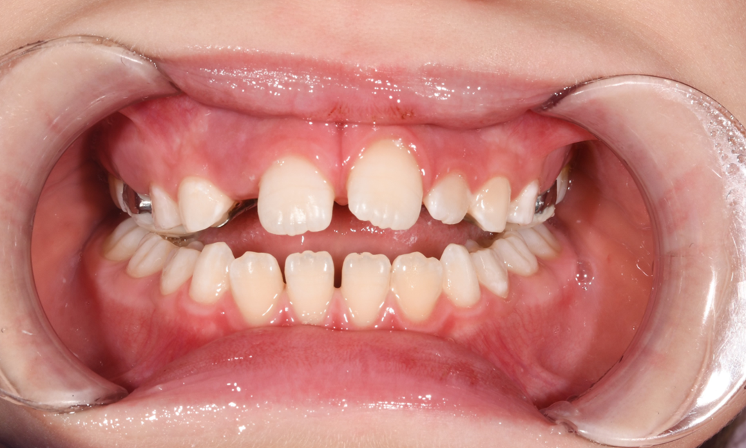
В стоматологическую клинику "Столица" обратились родители 8-летней пациентки с жалобами на недостаток места для прорезывания зубов. Диагностика показала узкую верхнюю челюсть, что мешало прорезыванию зубов 1.2 и 2.2. Без своевременного лечения такие проблемы могут привести к дальнейшим сложностям с прикусом и необходимостью более сложных ортодонтических вмешательств.
🩺 Диагностику и лечение провела Татьяна Евгеньевна Леонова — врач-ортодонт с более чем 7-летним опытом работы. Она специализируется на исправлении прикуса у детей и взрослых и использует как съемные, так и несъемные ортодонтические аппараты, включая аппарат Хаас. Этот аппарат был выбран для лечения Киры, поскольку он позволяет эффективно расширить верхнюю челюсть в период активного роста ребёнка. Ключевой этап, который включал компьютерную томографию, внутриротовое 3D-сканирование и фотопротокол. Это позволило точно оценить состояние челюсти и составить персонализированный план лечения. Аппарат Хаас — несъёмная конструкц
Оглавление

В стоматологическую клинику "Столица" обратились родители 8-летней пациентки с жалобами на недостаток места для прорезывания зубов. Диагностика показала узкую верхнюю челюсть, что мешало прорезыванию зубов 1.2 и 2.2. Без своевременного лечения такие проблемы могут привести к дальнейшим сложностям с прикусом и необходимостью более сложных ортодонтических вмешательств.

🩺 Диагностику и лечение провела Татьяна Евгеньевна Леонова — врач-ортодонт с более чем 7-летним опытом работы. Она специализируется на исправлении прикуса у детей и взрослых и использует как съемные, так и несъемные ортодонтические аппараты, включая аппарат Хаас. Этот аппарат был выбран для лечения Киры, поскольку он позволяет эффективно расширить верхнюю челюсть в период активного роста ребёнка.

🦷 Комплексная диагностика

Ключевой этап, который включал компьютерную томографию, внутриротовое 3D-сканирование и фотопротокол. Это позволило точно оценить состояние челюсти и составить персонализированный план лечения.

-2

🦷 Что такое аппарат Хаас?

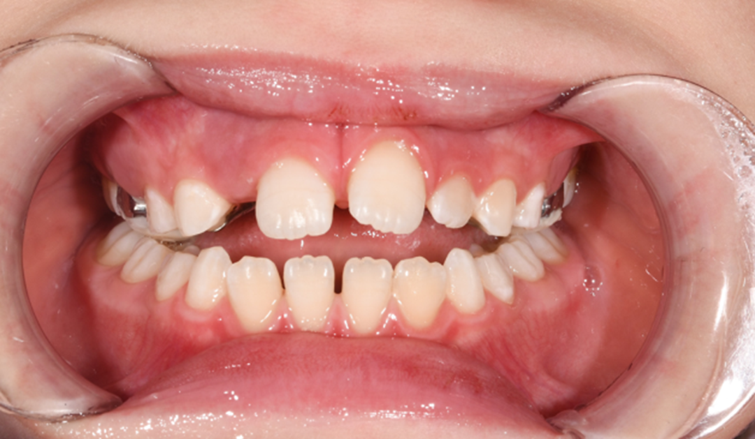
Аппарат Хаас — несъёмная конструкция, которая расширяет верхнюю челюсть, воздействуя на нёбный шов. У детей этот шов ещё не окостенел, что позволяет скелетно расширить челюсть, создавая пространство для нормального роста зубов. В течение месяца аппарат постепенно расширял челюсть пациентки, а винт был зафиксирован для закрепления результата. Через шесть месяцев аппарат сняли, и результаты лечения были очевидны: место для зубов появилось, что позволило им прорезаться естественно.

-3
-4

🩺 Почему это эффективно?

-5

Татьяна Евгеньевна использует современный подход и передовые методики. Благодаря своевременной установке аппарата Хаас удалось избежать более сложных вмешательств и сформировать правильное положение зубов.

Другие публикации канала:

Как часто логопед советует посетить стоматолога или ортодонта?

Сахар - актуальная тема для обсуждения: заметки врача

Выбор зубной щетки для ребенка

Все мамочки хотят, чтобы их детки были здоровы: от 0 до 5 лет

Молочные зубы: лечить нужно, а предупредить о заболевании можно

Кариес молочных зубов у детей

Коррекция короткой уздечки языка

Определяем здоровую эмаль зубов и ее заболевания

Короткая уздечка: коррекция уздечки языка

На МРТ в брекетах и с ретейнером

Брекеты: почему больно или почему результат не закрепился

Травма зуба: хочу, чтобы было красиво

Миофункциональная терапия: поговорим с врачом

Стоматология: профилактика наше всё

Серебрение: как метод лечения начальных форм кариеса