Добавить в корзинуПозвонить
Найти в Дзене
Белка в позе

Дежурить было легко ,да и "постоянники" все те же)

Здравствуйте🤝 Утро началось хорошо, я сделала себе снимок косточек носа, мда уж, двойной перелом, но , нос дышит , отек есть , но с моим носом в глаза не бросается. В общем пипец не лечится , а ерунда сама пройдет. Замечаю у кабинета одного нашего завсегдатая, Ирхов, молодой пьяница, разумеется нигде не работающий, но постоянно на что-то пьющий, и посещающий нас до тридцати раз за год. Иногда его госпитализируют, правда очень ненадолго, дня на три, обследуют уже по полной , включая КТ, УЗИ.Если он совсем не в адеквате, то его привязывают, и сильные руки санитарок нейрохирургии без особых усилий удерживают тщедушное тело. -Ирхов! –кричит медсестра приемника, –да что ж ты будешь делать! Опять у нас! –Я не сам, мне вызывают , –пьяно бормочет крошечного росточка "постоянник". –Ну и откажись от "доставки!" Языком же ворочаешь, хоть и слабо! В общем , сделала снимки черепа , ничего нет , отправили дальше пить. Абсолютно не удивлюсь, если ближе к ночи его опять доставят. *******************

Здравствуйте🤝

Утро началось хорошо, я сделала себе снимок косточек носа, мда уж, двойной перелом, но , нос дышит , отек есть , но с моим носом в глаза не бросается. В общем пипец не лечится , а ерунда сама пройдет.

Замечаю у кабинета одного нашего завсегдатая, Ирхов, молодой пьяница, разумеется нигде не работающий, но постоянно на что-то пьющий, и посещающий нас до тридцати раз за год. Иногда его госпитализируют, правда очень ненадолго, дня на три, обследуют уже по полной , включая КТ, УЗИ.Если он совсем не в адеквате, то его привязывают, и сильные руки санитарок нейрохирургии без особых усилий удерживают тщедушное тело.

-Ирхов! –кричит медсестра приемника, –да что ж ты будешь делать! Опять у нас!

–Я не сам, мне вызывают , –пьяно бормочет крошечного росточка "постоянник".

–Ну и откажись от "доставки!" Языком же ворочаешь, хоть и слабо!

В общем , сделала снимки черепа , ничего нет , отправили дальше пить. Абсолютно не удивлюсь, если ближе к ночи его опять доставят.

*********************

Сижу на приеме , дежурю, народ идет потихоньку тоже , с травмированными лучезапястными и кистями.

А нашего молодого врача , кистевика , поставили набивать руку на приемник, он и набивает , всем спицы Киршнера ставит, кстати , в отличии от просто травматологов, почти всегда попадает с первого раза, а то пациенты приходили на контрольные снимки по пять-шесть раз. Куда это годиться?

–Все , есть теперь личный кистевик на любой перелом по профилю?

–Конечно, толку нет от этих гипсов, все равно он сдвигается , а спицу поставил, через пару месяцев снял–почти идеально срастается, –говорит молодой кистевик , довольно-таки успешно работающий.

Привел одного пациента, на контрольный снимок.

Как же , как же узнаю , был в прошлую смену , ночью , нетрезвый , снимали череп и ОГК.

–Был же он уже , пару дней назад, пока пальцы не сломал спокойно не жилось?

–Ну , да , сделайте контроль ему, только поаккуратнее с кровью , она у него хм-хм,–сразу предупредил врач.

Ничего страшного , на кассету в таких случаях одеваем пакет жёлтого цвета и потом сразу утилизируем.

Вношу данные.

–Что-то мне не хорошо, давление , наверное, –слабым голосом дает о себе знать пациент.

–Так бывает, –отвечает травматолог, –это из-за новокаина. Потерпишь, ишь , нежные стали!

И пациент начал заваливаться , бросив все дела мы с врачом выбежали из пультовой. До реанимации не дошло , нашатырем обошлись , сделала снимки, но нужно было чуть поправить спицы , увели пациента еще на одну манипуляцию.

********************

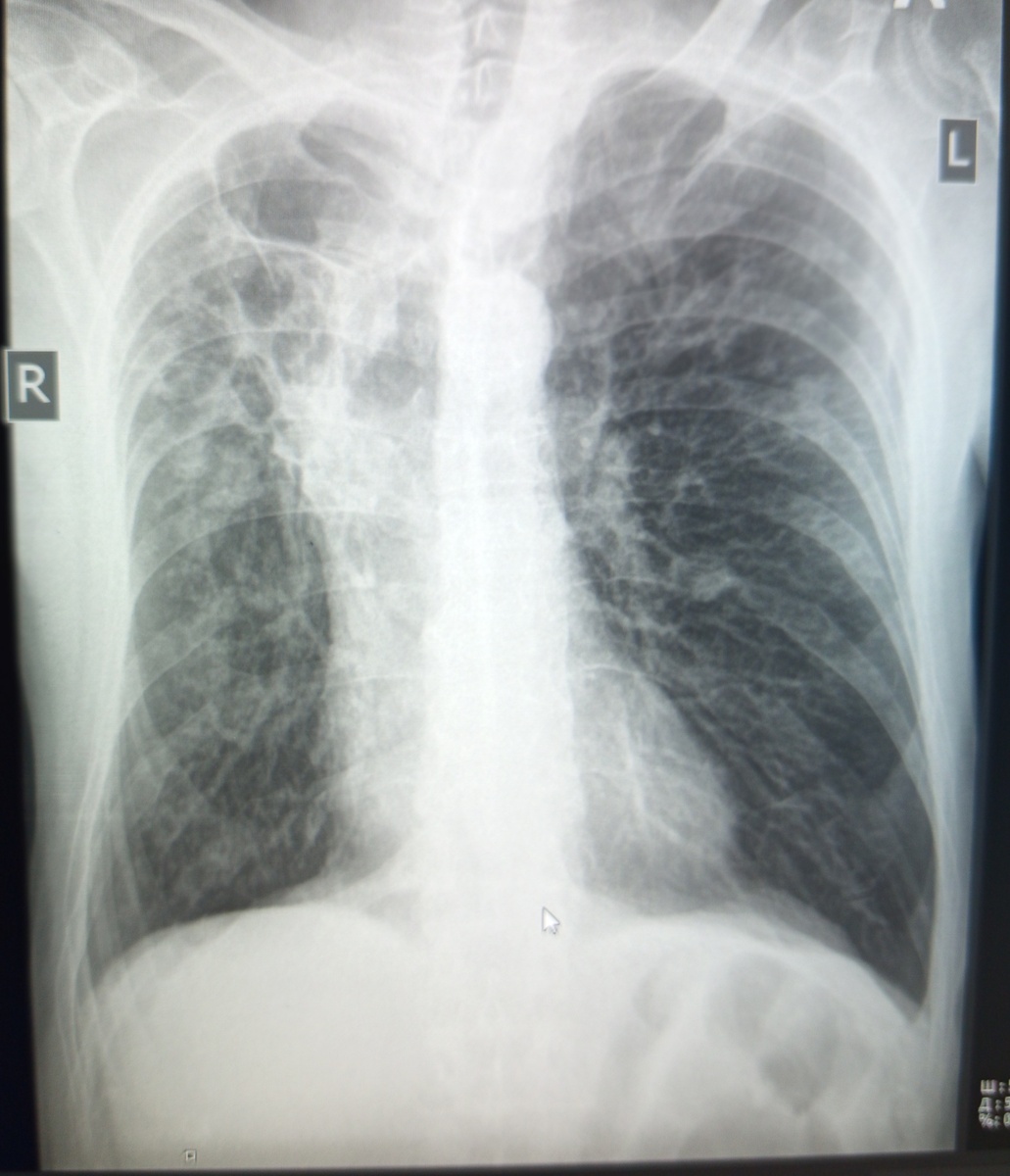
Завозят пациента , упал, снимать назначили череп , ОГК, ПОП.

Начала с легких, снимаю , вижу , что патология.

-2

–Что с легкими у вас ? Что в анамнезе?

–Да туберкулез был, у меня даже инвалидность после этого "дадена".

–А "тубик" вы где взяли?

–Не знаю...

–Сидели?

–Ну да , было дело.

–Понятно.

Хорошо, что ремиссия , но даже частенько у которых нет ремиссии с такими заболеваниями имеют право не одевать маску , при нахождении а многолюдных помещениях.

Кому нужно–тот и нацепит маску! Вот именно так!

Сняла пациента , ничего не обнаружилось по рентгену–повезли на КТ, а по описанию КТ , картина и консолидированных переломов(давность?) и компрессионных(давность?) и грудного отдела и поясничного.

После КТ пациент засобирался домой, прямо в приемнике начал собираться , несмотря на увещевания травматолога остаться. Прям –наш человек , ну , подумаешь, позвоночник там сломан или был когда-то)) Ходить же могу? Могу! Вот и собираюсь ходить до дому!)) Подписал отказ. Ну , не знаю, может , ему совсем не больно.

В отличии от молоденькой девушки , пришедшей на снимки черепа. Ее сестра дверью ударила! Сильно!

Абсолютно согласна с Михалной,ну вот что , так больно , что нужен снимок черепа?

–Да ! Голова прям раскалывается! –морщит лоб девушка.

То ли отлынивать желает барышня от учебы в ВУЗе? Больше объяснений нет.

Сняли-ушла. И вот таких бесполезных снимков за день очень много.

********************

Привели ребёнка на снимок черепа, мама, папа и бабушка. Им , как обычно ,в регистратуре дали направление на рентген.

–На рентген? Заводите парня!

–Подождите , –рвется в диалог бабушка ребенка, –нас еще врач не смотрел!

–Вас врач без снимка и смотреть не будет, –устало объясняем мы.–Даже если и осмотрит , то все равно потом придете на снимки.

–А может, ему не нужны снимки? Есть же другие методы обследования, помимо...

–Есть, безусловно, но , боятся пропустить травму , так что , так же безусловно сделаем снимки .

–Михална, может, мне написать инструкцию , я быстро "накреативлю", правила посещения детьми нейрохирургов? Ну каждый раз одно и то же! Или делегируем это все регистратуре? Пусть им инструкции зачитывают, а к нам уже без вопросов пусть приходят...

–А что, идея богатая, –Михална посмотрела на меня поверх очков.

********************

Завозят пациента , в сопровождении , сам он в характерной робе, на снимок костей таза, ну , сняли

-3

Консолидированный перелом левого ТБС и свежий субкапитальный справа.

Вывезли. Ненадолго, снова завезли вот с таким направлением.

-4

Быстро за закрытыми дверями собрали консилиум злых , опытных лаборантов. Ну какая Блэк боковая проекция таза? Глянув на фамилию врача, незнакомую нам причем, поняли , что вьюнош вчера после учебы , орду проходит.

Конечно, никакой боковой проекции не существует в природе, подумали, решили с отведение снять оба тазобедренных сустава. Зачем- не поняли, прямой снимок-информативен, описанный рентгенологом.

**********************

Пара парных случаев.

Обе выпали из трамвая, обе при выходе, обе поскользнулись.

А вот итог – разный. Одна пациентка сломала голень и была госпитализирована , а вторая получила ушибы и пошла домой с рекомендациями.

***********************

Опять больной человек , Виталий собственной персоной! В четверг он нас всех бодрил , остался на утро пятницы) Девчонки рассказывали , как он завершал днем в пятницу свои выкрутасы!

И опять тут!

–Виталик! Опять приехал? Зачем?

–Да подлечиться надо, –прошамкал беззубым ртом "постоянник", –на работу нужно выходить.

–На работуу? Да? И куда же , если не секрет?

–Да строим мы , объекты сдавать нужно , не время болеть.

Не знаю, правда это или нет, но время не позднее , есть шанс отправить его во свояси. Нет , родственница , конечно , хорошо устроилась, скорую вызовет , те везут к нам, мы терпим.А вот почему она не желает оформить его на интернат–понять никак не можем...

*******************

Звонок в дверь. Молодой мужчина с синяком под глазом, на снимки черепа. Его сопровождает приятного вида женщина , лет пятидесяти.

–Мне с ним можно? –спрашивает она.

–Не поняла вас ? Зачем ?

Она делает выразительные глаза , а парень мне протягивает руку и по -детский интересуется:

–Вы покажите мне , что делать нужно?

Понимаю сразу. Беру за руку , сопровождаю к стулу, рассказываю , как сидеть, одеваю защиту и на маму тоже.

–Глазки закрывать?

–Закрой, милый ,и главное не шевелись, договорились?

–А потом я к доктору пойду?

–А потом ты к доктору пойдешь...

–А мама со мной пойдет?

–И мама с тобой пойдет...

Аж сердце сжалось!

********************

В два ночи звонок в дверь.Ну кому там не спится в ночь глухую? Кто выпил и "набуянил" себе неприятности.

Девушка, абсолютно трезвая , очень милая , с гипсом на руке, в соседней больнице наложили , и направили на консультацию к нашим врачам.

Поведала о том , что просто бесились с подругой , а вышло вот так.

Ну , хоть и обе косточки , лучевую и локтевую сломала , но не критически.

-5

Не по бывшим зонам роста. Выписали по месту жительства.

*******************

А в три часа ночи санитарка приёмника привезла его самого, Ирхова, на лежачей каталке(

Не поверите, снимки черепа сделать! Ирхов мирно спал, но все равно нужно делать, травмы головы -в наличии.

А больше ночью никого и не было! Мирно спал город, да и мы подремали.

А так дежурство прошло неплохо! Чего и вам желаю!

И , моя "короночка" , которая со мной не сработала , но , я заметила , что ноябрь лично у меня – месяц неприятностей, не знаю почему , но именно в ноябре я вечно в каком-то эллипсе.

Берегите себя!