Добавить в корзинуПозвонить
Найти в Дзене
Expert Med

Вирус бешенства.

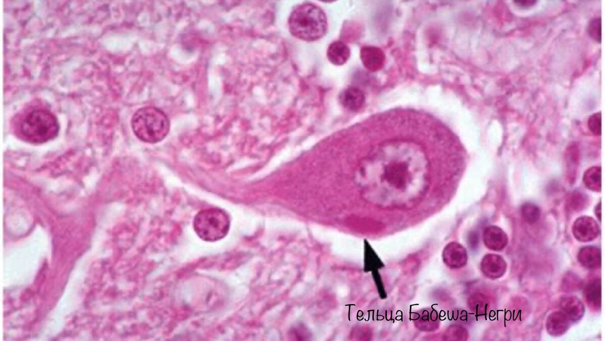
Вирус бешенства (семейство Rhabdoviridae род Lyssavirus) или почему так важно вакцинировать даже домашних кошечек и собачек 🐱🐶 Оболочечный, РНК- содержащий, по форме напоминает пулю. Инкубационный период: 10 дней - год. Источник: любое теплокровное животное (да-да, даже белочки в парке). От места укуса (возможен и аэрогенный механизм заражения! - пещерное бешенство от больных летучих мышей с пылью) вирус пробирается (по некоторым данным со скоростью 3 мм/час) по аксонам периферической нервной системы к ЦНС. Когда «уже поздно» развивается гидрофобия (ввиду спастических сокращений мышц глотки и гортани), аэрофобия, фотофобия и др. Бешенство НЕ ИЗЛЕЧИМО (известно 2 случая выздоровления -2005 г. и 2011г. путем введения пациента в кому) Обнаружение: РИФ, ПЦР, посмертно обнаружение телец Бабеша-Негри в нейронах. Лечение: как можно скорее – вакцина и иммунноглобулин. Профилактика: вакцинация животных, вет.надзор, не кормить животных с рук! Подготовка для студентов медВУЗов, материалы в своб

Вирус бешенства (семейство Rhabdoviridae род Lyssavirus) или почему так важно вакцинировать даже домашних кошечек и собачек 🐱🐶

Оболочечный, РНК- содержащий, по форме напоминает пулю.

Инкубационный период: 10 дней - год.

Источник: любое теплокровное животное (да-да, даже белочки в парке).

От места укуса (возможен и аэрогенный механизм заражения! - пещерное бешенство от больных летучих мышей с пылью) вирус пробирается (по некоторым данным со скоростью 3 мм/час) по аксонам периферической нервной системы к ЦНС.

Когда «уже поздно» развивается гидрофобия (ввиду спастических сокращений мышц глотки и гортани), аэрофобия, фотофобия и др.

Бешенство НЕ ИЗЛЕЧИМО (известно 2 случая выздоровления -2005 г. и 2011г. путем введения пациента в кому)

Обнаружение: РИФ, ПЦР, посмертно обнаружение телец Бабеша-Негри в нейронах.

Лечение: как можно скорее – вакцина и иммунноглобулин.

Профилактика: вакцинация животных, вет.надзор, не кормить животных с рук!

Подготовка для студентов медВУЗов, материалы в свободном доступе.