Добавить в корзинуПозвонить
Найти в Дзене
Узи аппараты - Verum

Анатомия селезенки и ее патологии на УЗИ-аппарате EDAN Acclarix LX9

Селезенка играет важную роль в поддержании иммунитета и фильтрации крови, а ультразвуковое исследование помогает быстро и точно оценить её состояние. Благодаря этому методу вы сможете обнаружить широкий спектр заболеваний: от увеличения органа до сложных патологий сосудов и новообразований. В данной статье мы подробно рассмотрим ультразвуковую анатомию селезенки, ее нормальные параметры, особенности визуализации и наиболее распространенные патологии, которые можно обнаружить с помощью УЗИ-аппарата EDAN Acclarix LX9. Селезенка — это самый крупный орган лимфатической системы, который играет ключевую роль в фильтрации крови и поддержании иммунитета. Ее функции и строение уникальны, а благодаря ультразвуковому исследованию вы сможете получить полное представление о ее состоянии. Размер селезенки у каждого человека может различаться в зависимости от роста и телосложения, но обычно ее длина составляет около 12 см, ширина — 7 см, а толщина — 4 см. Она расположена в левом верхнем квадранте брю
Оглавление

Селезенка играет важную роль в поддержании иммунитета и фильтрации крови, а ультразвуковое исследование помогает быстро и точно оценить её состояние. Благодаря этому методу вы сможете обнаружить широкий спектр заболеваний: от увеличения органа до сложных патологий сосудов и новообразований.

В данной статье мы подробно рассмотрим ультразвуковую анатомию селезенки, ее нормальные параметры, особенности визуализации и наиболее распространенные патологии, которые можно обнаружить с помощью УЗИ-аппарата EDAN Acclarix LX9.

Ультразвуковая анатомия селезенки в норме

Селезенка — это самый крупный орган лимфатической системы, который играет ключевую роль в фильтрации крови и поддержании иммунитета. Ее функции и строение уникальны, а благодаря ультразвуковому исследованию вы сможете получить полное представление о ее состоянии.

Размер и локализация

Размер селезенки у каждого человека может различаться в зависимости от роста и телосложения, но обычно ее длина составляет около 12 см, ширина — 7 см, а толщина — 4 см. Она расположена в левом верхнем квадранте брюшной полости, прилегая к задней стенке желудка, хвосту поджелудочной железы и левой почке.

Её связь с соседними органами осуществляется через желудочно-селезеночную и селезеночно-почечную связки, которые не просто фиксируют орган, а проводят артерии и вены, обеспечивающие питание и дренаж селезенки.

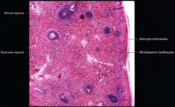
Гистологическое строение

Селезенка покрыта фиброэластической капсулой, от которой внутрь отходят трабекулы, тем самым образуя каркас органа. Внутреннее содержимое разделяется на две пульпы:

  • Белая пульпа состоит из лимфатических узлов, участвующих в иммунном ответе.
  • Красная пульпа выполняет фильтрацию крови, удаляя старые эритроциты и тромбоциты, а также служит депо крови, которое позволяет селезенке изменять объем при необходимости.
-2

Ультразвуковая картина

На УЗИ селезенка имеет однородную структуру, при этом ее эхогенность ниже, чем у поджелудочной железы, но выше, чем у печени. Орган удобно визуализируется через левую боковую линию в 10-11 межреберье, при этом пациент располагается на спине или правом боку, поднимая левую руку для лучшего доступа.

Особое внимание уделяется селезеночной вене в месте пересечения срединной линии и артерии. Нормальный диаметр вены составляет 5-10 мм, а её кровоток показывает ленточный профиль с минимальными дыхательными колебаниями. Диаметр артерии варьируется от 4 до 8 мм, а характер её кровотока низко-резистивный, что способствует хорошему кровоснабжению селезенки.

-3

Различие в диаметре при обычном дыхании и глубоком вдохе составляет 50-100%, если оно <20% — признак портальной гипертензии. Отметим, что ультразвуковая картина низкой резистентности селезеночной артерии и извитости сосуда может привести к турбулентности и расширению спектрограммы.

Ультразвуковое исследование селезенки на EDAN Acclarix LX9 позволяет не только оценить её размеры и структуру, но и проверить проходимость кровотока в селезеночной вене — важный показатель нормальной работы органа. Знание тонкостей анатомии данного органа поможет вам быстрее выявить отклонения и принять экстренные меры для поддержания здоровья пациента.

Основные заболевания, которые можно обнаружить на УЗИ

УЗИ является одним из самых информативных методов выявления патологий селезенки. Оно позволяет оценить состояние органа, выявить структурные изменения и определить наличие новообразований. Рассмотрим основные патологии, которые можно выявить на УЗИ-аппарате EDAN Acclarix LX9.

Спленомегалия

Спленомегалия — увеличение размеров селезенки. Хотя четких критериев для нормы не существует, однако диагноз ставится, если селезеночный индекс (длина × ширина × толщина) превышает 500 см³. Увеличение может быть легким, умеренным или выраженным, в зависимости от причины:

  • Легкая: инфекционные заболевания (мононуклеоз), хроническая сердечная недостаточность
  • Умеренная: портальная гипертензия, острый лейкоз
  • Выраженная: хронический лейкоз, лимфома, малярия.
Спленомегалия селезенки на УЗИ
Спленомегалия селезенки на УЗИ

На УЗИ спленомегалия может сопровождаться изменением эхогенности паренхимы:

  • Гипоэхогенные зоны — при серповидноклеточной анемии, миеломе или гранулематозной инфекции.
  • Гиперэхогенные участки — при лейкозе, саркоидозе или метастазах.

Дополнительно допплерография помогает определить нарушения кровотока, такие как тромбоз селезеночной вены, спленоренальный шунт, реканализация пупочной вены и коллатеральные сосуды в воротах селезенки.

Кисты

Кисты — анэхогенные или гипоэхогенные образования, вызывающее эффект заднего акустического усиления. Они делятся на врожденные (первичные) и приобретенные (вторичные):

Киста селезенки на УЗИ
Киста селезенки на УЗИ
  • Врожденные включают в себя эпидермоидные и редкие случаи, связанные с аутосомно-доминантной поликистозной болезнью почек. К диагностическим признакам относятся анэхогенные образования с ровными краями, часто с эффектом заднего акустического усиления. В такой ситуации возможны осложнения (кровоизлияние или воспаление), приводящие к появлению эхогенных сигналов в полости кисты.
  • Приобретенные часто возникают после травм или инфекций и могут содержать детрит, кальцинаты и перегородки. Они имеют кальциноз стенки, содержат детрит и могут быть смешанными по эхогенности.

На УЗИ кисты преимущественно выглядят как четко отграниченные анэхогенные образования, которые при осложнениях могут наблюдаться эхосигналы, напоминающие «метель», из-за кровоизлияний или воспалений.

Опухоли

Опухоли селезенки делятся на доброкачественные и злокачественные:

К доброкачественным можно отнести:

  • Гемангиома: наиболее частое доброкачественное новообразование, обычно гиперэхогенное и бессимптомное. Они не причиняют дискомфорта и часто обнаруживаются случайно. Однако если гемангиом много, то это может быть связано с редкими синдромами (Клиппеля-Треноне-Вебера или Беквита-Видеманна).
  • Гамартома: редкая патология с четкими границами и кистозными компонентами, состоящее из «неправильной комбинации» нормальных тканей селезенки. В большинстве случаев гамартомы не проявляют себя клинически и выявляются лишь на УЗИ или после смерти пациента.
  • Лимфангиома: одно- или многокамерное гипоэхогенное образование, чаще встречающееся у детей. Они выглядят как четко очерченные участки с перегородками, не имеющие сосудов внутри.
Опухоль селезенки на УЗИ
Опухоль селезенки на УЗИ

К злокачественным опухолям:

  • Лимфома: самая распространенная злокачественная опухоль селезенки, которая либо отдельными новообразованиями, либо диффузным поражением органа.
  • Метастазы: редкое явление, которое проявляется узловыми или диффузными гипоэхогенными изменениями, но их стоит учитывать при обследовании пациентов с раком молочной железы, легких, яичников или желудка. Они могут выглядеть по-разному: от небольших узлов до «мишенеподобных» структур с характерным ободком.
  • Ангиосаркома: крайне редкое, но агрессивное новообразование с метастазами. Её сложно обнаружить на ранних стадиях, и она быстро распространяется на другие органы, например, печень.

Инфаркт

Инфаркт — это нарушение кровоснабжения органа, приводящее к его повреждению. Причиной может быть тромбоз селезеночной вены, окклюзия артерии или увеличение. В таком случае важно обследовать не только саму селезенку, но и сосуды, чтобы выявить первопричину. На УЗИ его можно распознать по участкам с пониженной отражающей способностью, которые в цветовой допплерографии выглядят как бессосудистые области.

УЗИ селезенки при инфаркте
УЗИ селезенки при инфаркте

При остром инфаркте зоны чаще всего имеют клиновидную форму и располагаются вплотную к капсуле. Однако возможны и другие формы — круглые или полосообразные. На начальной стадии участок поражения выглядит темным (гипо- или анэхогенным), а со временем может становиться светлее, приобретая изо- или гиперэхогенный вид.

Хронический инфаркт проявляется уменьшением размера и рубцовыми изменениями. Такие участки селезенки иногда деформируются, контуры становятся неровными, а в ткани органа могут образоваться кальцинаты.

Рекомендации по визуализации

Для точной диагностики важно учитывать анатомические особенности. Например, полный вдох может скрывать селезенку за основанием легкого, а её задняя часть плохо визуализируется из-за перекрытия органа желудком или ребрами. Поэтому важно правильно выбрать угол наклона датчика и оптимальное акустическое окно.

Резюмируем

Ультразвуковое исследование селезенки — эффективный инструмент, позволяющий вовремя выявить отклонения и принять необходимые меры для лечения пациента.

Если вы хотите узнать больше о возможностях УЗИ-аппаратов или подобрать оборудование, которое обеспечит высокую точность и удобство диагностики, мы, медицинская компания VERUM, готовы вам помочь. Оставьте заявку на коммерческое предложение, и наши специалисты предложат решения, подходящие именно для вашего медицинского центра.

Обратившись к нам, вы получите подробное коммерческое предложение, консультации по установке оборудования и профессиональную поддержку на всех этапах. Хотите узнать, какой УЗИ-аппарат подойдет вашей клинике? Свяжитесь с нами уже сегодня, чтобы сделать первый шаг к развитию вашего бизнеса!