Найти в Дзене

Как за 6 месяцев получить ровные зубы без брекетов

Клинический случай от врача-ортодонта сети клиник ПРАЙМ Соколовой Марии Владимировны.

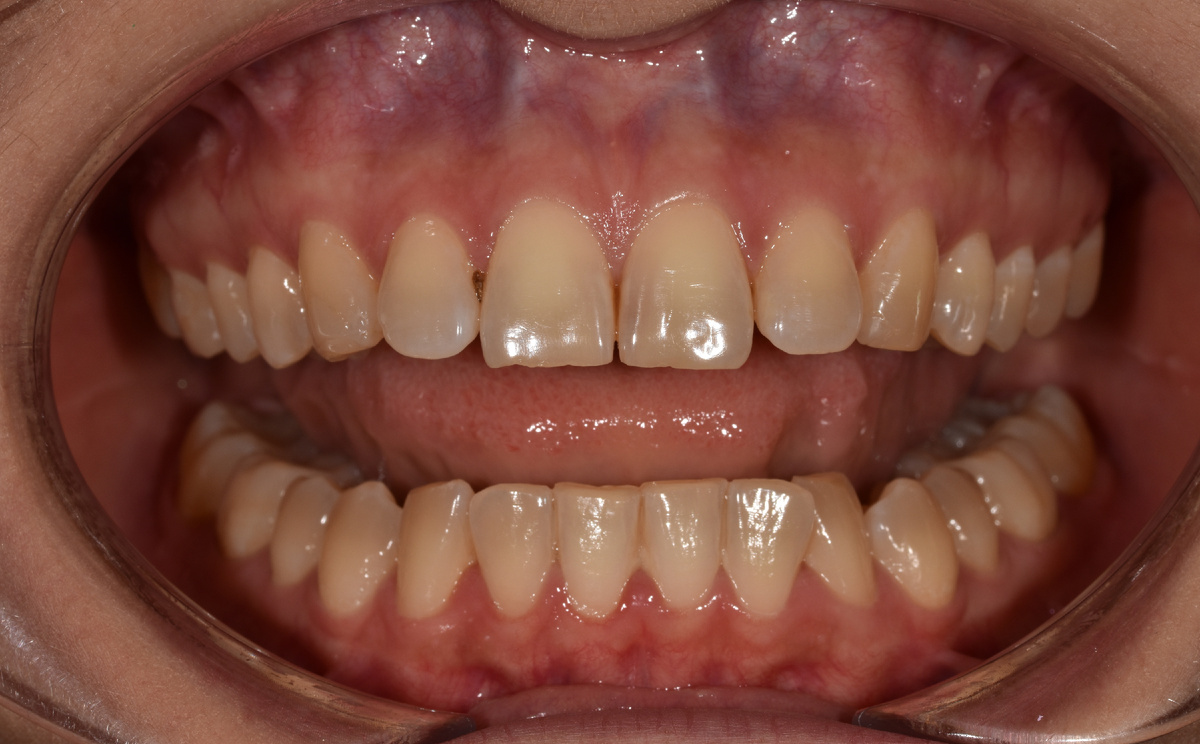
Ирина обратилась в клинику с жалобами на скученность зубов на нижней челюсти, которая появилась при прорезывании зубов мудрости. Это затрудняло гигиену полости рта и не устраивало нашу пациентку в эстетическом плане. В ходе консультации Мария Владимировна совместно с Ириной выбрали для устранения дефекта элайнеры: они идеально подходили под данный клинический случай.

Скученность зубов - не просто эстетическая проблема. Она мешает полноценной гигиене, провоцирует кариес и даже может влиять на прикус.

После проведенного фотопротокола, внутриротового сканирования, анализа рентгеновских снимков была проведена диагностика и составлен виртуальный план лечения. Ирина могла заранее увидеть будущую улыбку на экране компьютера, что очень стимулирует пациентов чётко соблюдать режим ношения элайнеров и гигиену полости рта.

⏳Срок ортодонтического лечения составил всего 6 месяцев. За всё время было использовано 12 пар элайнеров. Результат достигнут: скученность устранена, пациентка получила здоровую, красивую и естественную улыбку!

Хотите такую же улыбку? Запишитесь на консультацию по исправлению прикуса, устранению скученности зубов в ПРАЙМ— (4912)292-000.

_________________________________

Наши клиники в г. Рязань:

Есенина, 110

Советской армии, 9

Бирюзова, 28а

Интернациональная, 23

Полетаева, 34 (клиника корпоративного университета)

Праволыбедская, 50 (дентальная лаборатория)

https://www.prime-med.ru/