Добавить в корзинуПозвонить
Найти в Дзене

Образование переднего средостения

Эта пространство в груди между легкими, где расположены сердце, аорта, пищевод, трахея и еще много чего. Так вот там могут располагаться различные образования (опухоли и не только), которых там быть не должно. Анатомы делят средостение на верхнее и нижнее. В нижнем выделяют переднее, среднее и заднее. Хирурги делят средостение на переднее и заднее. Но вам это знать совершенно не обязательно, до тех пор, пока вы не начнете делать операции, ну или хвастаться соседям своими познаниями в торакальной хирургии. Т.к. в средостении нет болевых рецепторов, то там может вырасти достаточно большое по размеру образование, и человек об этом не узнает, пока не сделает рентген или КТ ОГК. Конечно есть исключение, когда образование сдавливает соседние органы, развивается так называемый «синдром верхней полой вены» при котором отекает верхняя половина туловища, руки, шея, голова. Но это совсем другая история и тема отдельной статьи. Как диагностировать образование переднего средостения? Либо рентг
Оглавление

Что такое средостение?

Эта пространство в груди между легкими, где расположены сердце, аорта, пищевод, трахея и еще много чего. Так вот там могут располагаться различные образования (опухоли и не только), которых там быть не должно.

Классификация

Анатомы делят средостение на верхнее и нижнее. В нижнем выделяют переднее, среднее и заднее.

Хирурги делят средостение на переднее и заднее.

Но вам это знать совершенно не обязательно, до тех пор, пока вы не начнете делать операции, ну или хвастаться соседям своими познаниями в торакальной хирургии.

Жалобы:

Т.к. в средостении нет болевых рецепторов, то там может вырасти достаточно большое по размеру образование, и человек об этом не узнает, пока не сделает рентген или КТ ОГК. Конечно есть исключение, когда образование сдавливает соседние органы, развивается так называемый «синдром верхней полой вены» при котором отекает верхняя половина туловища, руки, шея, голова. Но это совсем другая история и тема отдельной статьи.

Диагностика

Как диагностировать образование переднего средостения? Либо рентген, но есть очень большая вероятность, что образование малых размеров увидеть не получится, либо КТ ОГК. Последняя намного информативнее.

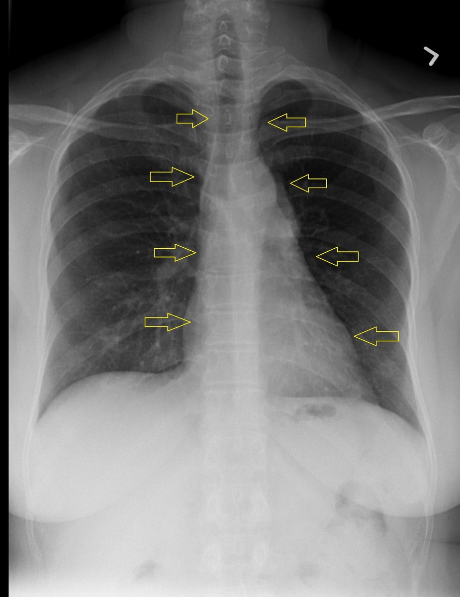
Вот, например, стрелками показано средостение. Найти тут опухоль достаточно сложно, т. к. изображение накладывается одно на другое (трахея накладывается на аорту, аорта на пищевод и т.д.)

Рентген
Рентген

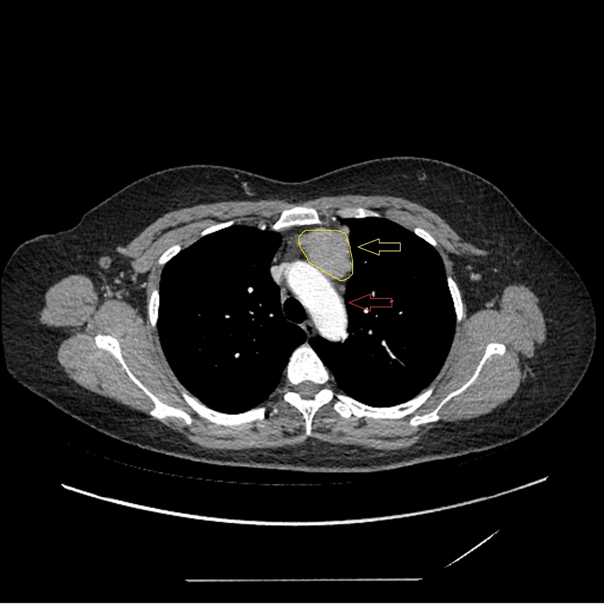
А вот изображение КТ ОГК этого же пациента. Тут диагностировать образование переднего средостения достаточно просто (опухоль выделена желтым цветом, аорта красной стрелкой).

КТ ОГК
КТ ОГК
Как вы можете убедится, по КТ ОГК проще диагностировать опухоль, чем через рентген.

Что это?

Тень в переднем средостении, которая видная на рентгенограмме или КТ может быть:

  • Тимомой
  • Раком тимуса
  • Лимфомой
  • Герминогенной опухолью
  • Мезенхимальной опухолью
  • Загрудинным зобом
  • Кистой
  • Тератомой
  • Дермоидной кистой
  • Липомой
  • Аневризмой
  • И даже грыжей из живота

Паниковать или еще нет?

Паниковать не стоит, но вот что стоит, так это сразу обратиться к торакальному хирургу, т.к. это тот самый специалист, который не только скажет, что это, но и скажет, как это лечить. 

Лечение

Тактику лечения должен выбрать врач. В сильно общих чертах, если образование можно удалить хирургически, то необходима операция.

Если есть подозрение на врастание опухолевого образования в структуры средостения, например, сосуды, перикард, трахею, необходимо выполнить биопсию образования. Поставить диагноз и с большой долей вероятности начать химиотерапию. Еще раз повторюсь, это должен решить врач!

Где получить консультацию специалиста?

Если у вас обнаружили образование переднего средостения, важно обратиться к опытному торакальному хирургу для точной диагностики и выбора оптимального лечения. Например, Вы можете записаться на консультацию к Андрею Владимировичу Никулину – кандидату медицинских наук, торакальному хирургу, онкологу.

Андрей Владимирович Никулин – один из ведущих специалистов в области хирургического лечения заболеваний легких, средостения, грудной стенки и диафрагмы. Он поможет разобраться в вашей ситуации и предложит наиболее эффективный путь решения проблемы.

Обнаружение образования средостения – это повод для дополнительного обследования, но не для паники. 

Главное – внимательное отношение к своему здоровью и своевременное обращение к врачу.

Быть здоровым гораздо лучше, нежели больным!