Добавить в корзинуПозвонить
Найти в Дзене

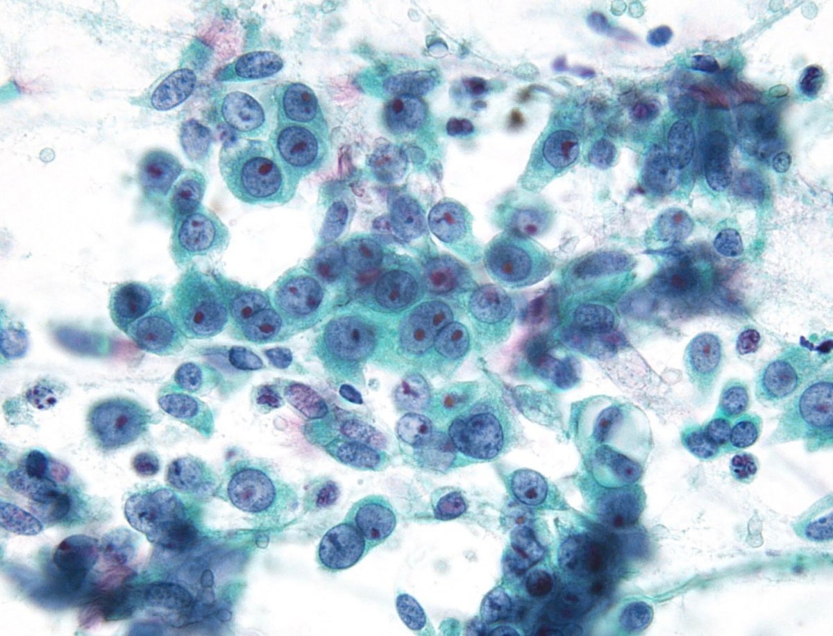
Вишнево-красные ядрышки и клетки со щеточной каймой

Вишнево-красные ядрышки и клетки со щеточной каймой Впечатляющий вид злокачественных (аденокарцинома) и доброкачественных (микроворсинчатые эпителиоциты) клеток столь тесно перемешанных. Тонкоигольная аспирационная биопсия под контролем эндоскопического ультразвука (EUS-FNA). #цитология #легкое

Вишнево-красные ядрышки и клетки со щеточной каймой

Впечатляющий вид злокачественных (аденокарцинома) и доброкачественных (микроворсинчатые эпителиоциты) клеток столь тесно перемешанных.

Тонкоигольная аспирационная биопсия под контролем эндоскопического ультразвука (EUS-FNA).

#цитология #легкое

Биология
8125 интересуются