Добавить в корзинуПозвонить
Найти в Дзене
Зубной канал

Имплантация при пародонтозе: личный опыт

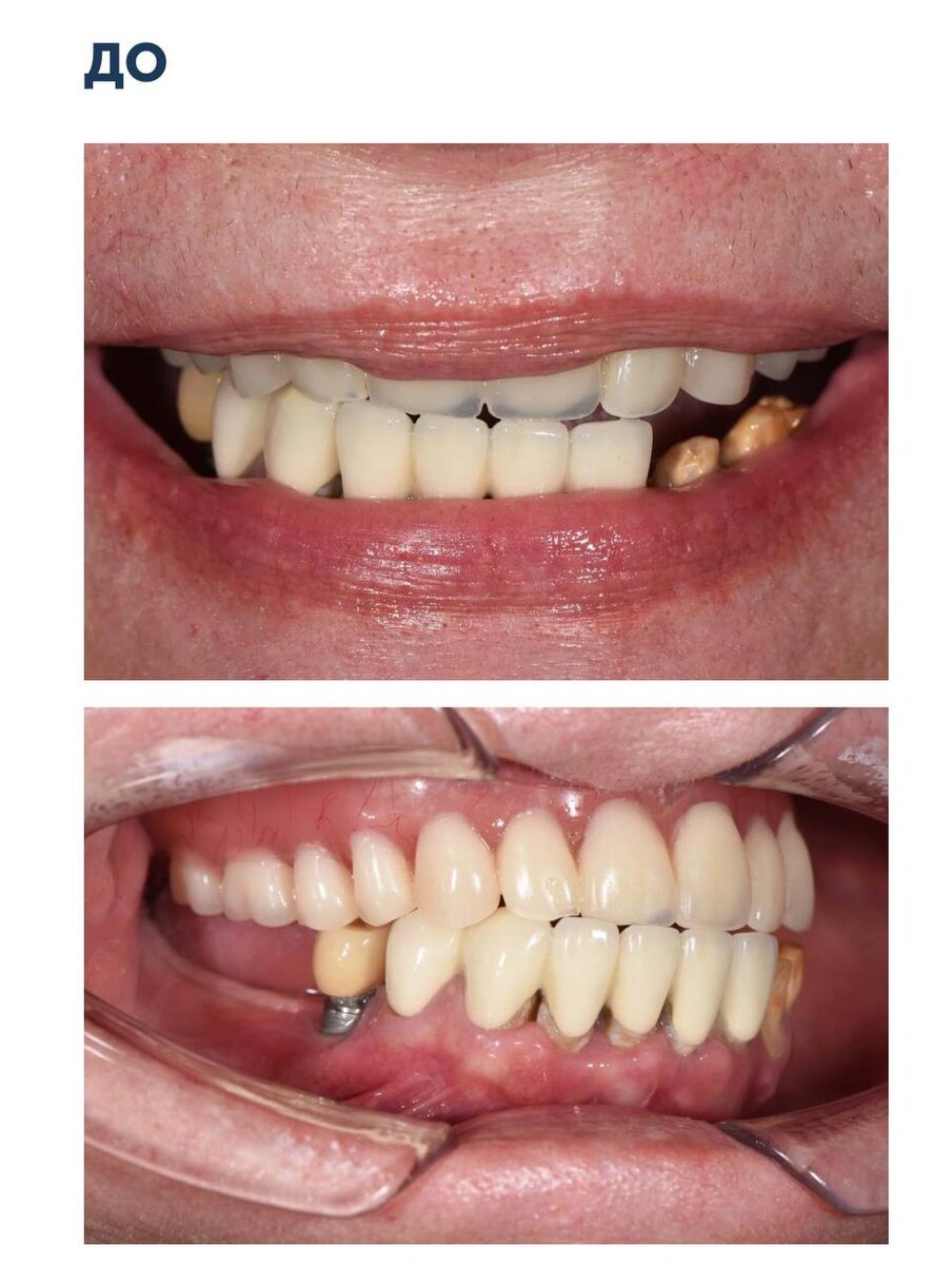
Отзыв нашей пациентки Анжелики Алексеевны: Я слишком долго откладывала поход к стоматологу, хотя понимала, что рано или поздно придётся заняться зубами глобально. Но у меня парадонтоз и однажды зуб из нижней челюсти просто вывалился вместе с корнем - и вместе с ним мостовая система. Я поняла: всё, дольше тянуть нельзя. Сейчас оглядываюсь назад и думаю: «Зачем я столько тянула?» Возраст, пародонтоз, страх боли – всё это отговорки. Мои импланты прижились как родные. Да, операция была непростой, но терпимой, а жизнь после неё стала гораздо комфортнее. Люблю смотреть в зеркало, не боюсь откусывать твёрдую пищу, а окружающие говорят: «Ты прямо посвежела, повеселела». Так что всем, кто сидит и думает: «А может, ещё немножко потерплю?» – советую не затягивать. Врачи в Be'U, по моему опыту, отлично знают, что делают. И, поверьте, лучше сделать шаг вперёд, чем ещё годы стесняться улыбаться. Прочитать всю историю целиком и увидеть фотографии можно вот тут. Вы на канале Владимира Ешидоржиева, г
Фото автора
Фото автора

Отзыв нашей пациентки Анжелики Алексеевны:

Я слишком долго откладывала поход к стоматологу, хотя понимала, что рано или поздно придётся заняться зубами глобально. Но у меня парадонтоз и однажды зуб из нижней челюсти просто вывалился вместе с корнем - и вместе с ним мостовая система. Я поняла: всё, дольше тянуть нельзя.

Сейчас оглядываюсь назад и думаю: «Зачем я столько тянула?» Возраст, пародонтоз, страх боли – всё это отговорки. Мои импланты прижились как родные. Да, операция была непростой, но терпимой, а жизнь после неё стала гораздо комфортнее. Люблю смотреть в зеркало, не боюсь откусывать твёрдую пищу, а окружающие говорят: «Ты прямо посвежела, повеселела».

Так что всем, кто сидит и думает: «А может, ещё немножко потерплю?» – советую не затягивать. Врачи в Be'U, по моему опыту, отлично знают, что делают. И, поверьте, лучше сделать шаг вперёд, чем ещё годы стесняться улыбаться.

Прочитать всю историю целиком и увидеть фотографии можно вот тут.

Вы на канале Владимира Ешидоржиева, главного врача стоматологии Be'U Clinic. Задавайте свои вопросы в комментариях, читайте нас в Телеграм. Записаться на прием можно на нашем сайте или в Whatsapp.