Найти в Дзене

В Красноярске состоялась уникальная операция по удалению части головного мозга у пациентки в сознании

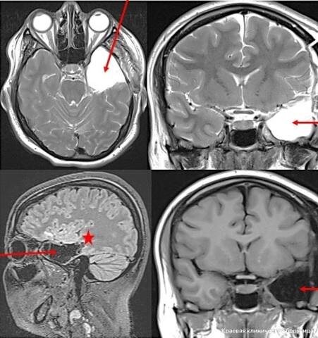
В Красноярске состоялась уникальная операция по удалению части головного мозга у пациентки в сознании. Это первый опыт такого рода в регионе.

Хирурги краевой клинической больницы применили инновационный подход, временно выводя пациентку из наркоза во время операции, чтобы оценить сохранность речевых функций.

29-летняя пациентка долгое время страдала от тяжелой эпилепсии, испытывая до восьми приступов в день, которые не поддавались лечению лекарствами.

После удаления части височной доли мозга и гиппокампа приступы полностью прекратились. Речевые способности пациентки остались полностью сохранены, а общее состояние здоровья улучшилось.

___

🔴Оставить обращение ✏️

🔴Подписывайтесь на 8 канал