Добавить в корзинуПозвонить
Найти в Дзене

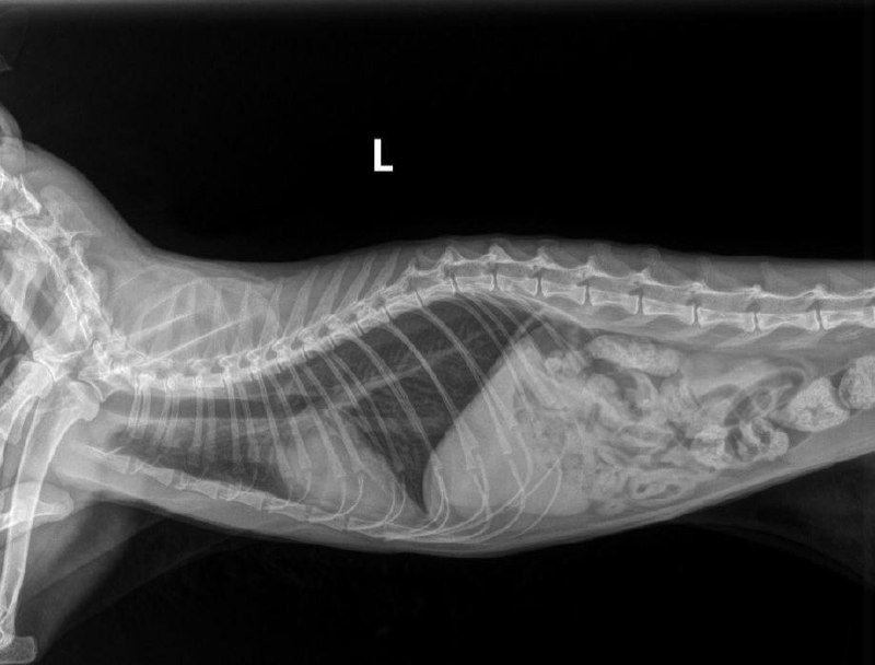
Клинический случай: кардиогенный отек легких

Клинический случай: кардиогенный отек легких В клинику «ТерраВЕТ» на Советской в критическом состоянии попал котик Перси, которому всего 3 года. У него были признаки отека легких и острого расширения желудка. Команда врачей в течение суток старалась помочь пациенту и смогла его стабилизировать. Спустя еще 12 часов Перси выписали домой с необходимыми рекомендациями по уходу и лечению. У героя нашей истории был кардиогенный отек легких, вызванный врожденными заболеваниями сердца, а также осложненный бронхитом, который врачи выявили на КТ. Регулярная диспансеризация и ранняя диагностика врожденных пороков помогут предотвратить появление таких опасных состояний и их развитие в будущем. Мы будем следить за состоянием Перси и надеемся на скорейшее полное выздоровление 💚 #клиническийслучай #перси #кот #легкие

Клинический случай: кардиогенный отек легких

В клинику «ТерраВЕТ» на Советской в критическом состоянии попал котик Перси, которому всего 3 года. У него были признаки отека легких и острого расширения желудка.

Команда врачей в течение суток старалась помочь пациенту и смогла его стабилизировать. Спустя еще 12 часов Перси выписали домой с необходимыми рекомендациями по уходу и лечению.

У героя нашей истории был кардиогенный отек легких, вызванный врожденными заболеваниями сердца, а также осложненный бронхитом, который врачи выявили на КТ.

Регулярная диспансеризация и ранняя диагностика врожденных пороков помогут предотвратить появление таких опасных состояний и их развитие в будущем.

Мы будем следить за состоянием Перси и надеемся на скорейшее полное выздоровление 💚

#клиническийслучай #перси #кот #легкие

-2