Найти в Дзене

Хирургия – это не только про эффектные случаи. Это про эффективную помощь.

Каждый день хирурги Центра встают к операционному столу, чтобы помочь тем, кто в этом нуждается. Ежедневно специалисты по реабилитации, лабораторной диагностике, рентгенологии и медицинские сестры приходят на помощь людям и сопровождают их на пути к выздоровлению и возвращению к полноценной жизни. За каждым из 17 000 пациентов, которые проходят лечение в Центре Илизарова за год, стоит кропотливая работа команды, точность каждого движения, контроль на каждом этапе. Обычно в поле зрения журналистов попадают только уникальные случаи лечения. Но врачи возвращают людям здоровье, возможность двигаться и жить без боли ЕЖЕДНЕВНО. Ежедневно помогают пациентам с заболеваниями костей и суставов, врождёнными патологиями, травмами и их последствиями, в т.ч. с переломами. Недавно в клинике прооперировали поскользнувшегося на льду мужчину 58 лет с закрытым консолидирующимся в порочном положении переломом дистального метафиза правой лучевой кости. Врачами отделения №1 к.м.н. Бойчуком Сергеем Петровиче

Каждый день хирурги Центра встают к операционному столу, чтобы помочь тем, кто в этом нуждается. Ежедневно специалисты по реабилитации, лабораторной диагностике, рентгенологии и медицинские сестры приходят на помощь людям и сопровождают их на пути к выздоровлению и возвращению к полноценной жизни.

За каждым из 17 000 пациентов, которые проходят лечение в Центре Илизарова за год, стоит кропотливая работа команды, точность каждого движения, контроль на каждом этапе.

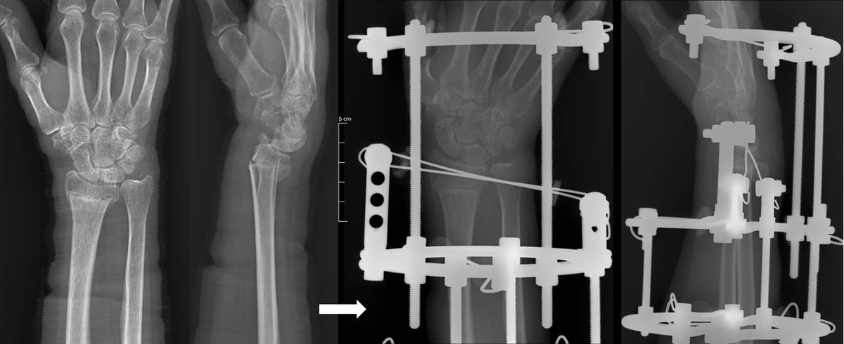
Рентгенограммы пациента 58 лет. До и во время лечения
Рентгенограммы пациента 58 лет. До и во время лечения

Обычно в поле зрения журналистов попадают только уникальные случаи лечения. Но врачи возвращают людям здоровье, возможность двигаться и жить без боли ЕЖЕДНЕВНО. Ежедневно помогают пациентам с заболеваниями костей и суставов, врождёнными патологиями, травмами и их последствиями, в т.ч. с переломами.

Недавно в клинике прооперировали поскользнувшегося на льду мужчину 58 лет с закрытым консолидирующимся в порочном положении переломом дистального метафиза правой лучевой кости. Врачами отделения №1 к.м.н. Бойчуком Сергеем Петровичем и Мельниковой Людмилой Васильевной была проведена остеотомия и закрытый чрескостный остеосинтез аппаратом Илизарова – операция, требующая точности и опыта. Сейчас процесс восстановления идет хорошо, отломки в правильном положении, и мы радуемся вместе с пациентом его успехам.

Мы благодарим наших врачей, медсестер и специалистов за их ежедневный, честный и ответственный труд, за то, что они делают свою работу так, чтобы пациенты могли снова ходить, работать, жить без ограничений.

Если вам нужна консультация специалистов Центра Илизарова, вы можете воспользоваться бесплатным сервисом ЗАОЧНАЯ КОНСУЛЬТАЦИЯ на нашем сайте www.ilizarov.ru/online-con...

Прикрепите к обращению в личном кабинете справки, выписки и снимки, которые у вас есть. Врачи Центра ознакомятся с проблемой и предложат возможные варианты медицинской помощи.