Найти в Дзене

В Башкирии рассказали, как используется ИИ в лечении болезней

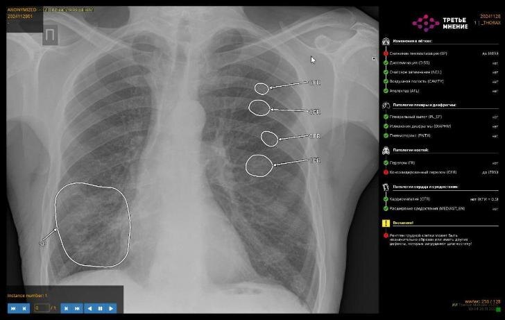
Как сообщил министр здравоохранения региона Айрат Рахматуллин, искусственный интеллект используется для анализа лучевых исследований в более чем 50 медицинских учреждениях Башкирии. Об этом пишет Стерлеград.ру. Министр отметил, что развитие комплексных решений на базе ИИ является приоритетным. Сейчас технологии способны выявлять до 14 типов патологий при компьютерной томографии органов грудной клетки. Среди новых возможностей – диагностика пневмоторакса, изменений в подмышечных лимфоузлах, переломов рёбер, а также признаков пневмонии, плеврита, патологий надпочечников и позвоночника. Кроме того, ИИ активно используется для анализа изменений в лимфатических узлах. При обнаружении проблемной зоны система её подсвечивает, и врач уже сопоставляет информацию с клинической картиной и результатами обследования. Это помогает выявлять заболевания без плана и начинать лечение на более ранних стадиях. В будущем планируется расширение функционала сервисов, включая модули для аналитики бронхоэктазо
   Фото: telegram-канал Айрата Рахматуллина
Фото: telegram-канал Айрата Рахматуллина

Как сообщил министр здравоохранения региона Айрат Рахматуллин, искусственный интеллект используется для анализа лучевых исследований в более чем 50 медицинских учреждениях Башкирии. Об этом пишет Стерлеград.ру.

Министр отметил, что развитие комплексных решений на базе ИИ является приоритетным. Сейчас технологии способны выявлять до 14 типов патологий при компьютерной томографии органов грудной клетки. Среди новых возможностей – диагностика пневмоторакса, изменений в подмышечных лимфоузлах, переломов рёбер, а также признаков пневмонии, плеврита, патологий надпочечников и позвоночника.

Кроме того, ИИ активно используется для анализа изменений в лимфатических узлах. При обнаружении проблемной зоны система её подсвечивает, и врач уже сопоставляет информацию с клинической картиной и результатами обследования. Это помогает выявлять заболевания без плана и начинать лечение на более ранних стадиях.

В будущем планируется расширение функционала сервисов, включая модули для аналитики бронхоэктазов, фиброзов и эмфиземы лёгких.

Ранее министр здравоохранения Башкирии сообщал, что цифровизация здравоохранения открывает новые возможности для врача и пациента. Он отметил, что, несмотря на развитие искусственного интеллекта, в центре процесса всегда будет находиться медицинский работник.

– Наша задача не только внедрить новые технологии, но и научить врача использовать цифровые помощники.

Айрат Рахматуллин подчеркнул, что цифровизация – это не просто перевод бумаг в электронный вид, это качественное изменение работы врача. Его клиническое мышление – основа профессии. По словам министра, когда добавляются информационные технологии и искусственный интеллект, происходит переход от опыта одного специалиста к данным тысяч подобных случаев, точности диагностики, скорости принятия решений и возможности работать с большими массивами информации.