Добавить в корзинуПозвонить
Найти в Дзене

В 50 больницах Башкирии используют ИИ для получения второго мнения

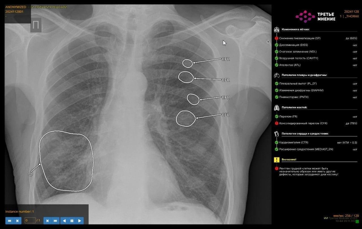
Лучевые диагносты 50 больниц используют искусственный интеллект для интерпретации исследований и получения второго мнения в Башкирии. Как сообщил в своих соцсетях министр здравоохранения РБ Айрат Рахматуллин, развитие комплексных сервисов — одно из ключевых направлений работы ведомства при применении технологий искусственного интеллекта. Например, на КТ органов грудной клетки комплексный сервис способен определять до 14 видов патологий. В будущем планируется добавление сервисов по аналитике бронхоэктазов, фиброзов и эмфиземы легких. Новые направления, которые научились выявлять ИИ-сервисы — это пневмоторакс, изменения подмышечных лимфоузлов на КТ органов грудной клетки, переломы ребер, инфильтрация легочной ткани (пневмония), плеврит (скопление жидкости в плевральной полости), объемное образование надпочечников, костная патология позвоночника. «ИИ-сервисы уже компетентны в анализе изменения лимфоузлов: сервис подсвечивает врачам патологическую зону, которую в дальнейшем врач-клиницист

Лучевые диагносты 50 больниц используют искусственный интеллект для интерпретации исследований и получения второго мнения в Башкирии. Как сообщил в своих соцсетях министр здравоохранения РБ Айрат Рахматуллин, развитие комплексных сервисов — одно из ключевых направлений работы ведомства при применении технологий искусственного интеллекта. Например, на КТ органов грудной клетки комплексный сервис способен определять до 14 видов патологий. В будущем планируется добавление сервисов по аналитике бронхоэктазов, фиброзов и эмфиземы легких.

Новые направления, которые научились выявлять ИИ-сервисы — это пневмоторакс, изменения подмышечных лимфоузлов на КТ органов грудной клетки, переломы ребер, инфильтрация легочной ткани (пневмония), плеврит (скопление жидкости в плевральной полости), объемное образование надпочечников, костная патология позвоночника.

«ИИ-сервисы уже компетентны в анализе изменения лимфоузлов: сервис подсвечивает врачам патологическую зону, которую в дальнейшем врач-клиницист сопоставляет с результатами исследования и симптомами. Таким образом, ИИ способен обнаружить признаки заболеваний, даже если они не были целью обследования, что позволяет пациентам раньше начать лечение для скорейшего выздоровления», — рассказал Айрат Рахматуллин.

Ранее благодаря ЭКО за три года в Башкирии родились 1335 малышей.