Найти в Дзене
Электрогазета

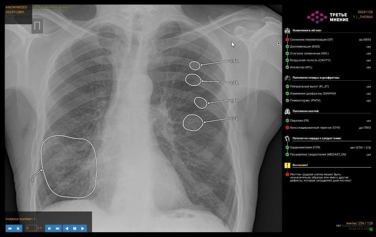
Как в Башкирии ИИ помогает врачам

В Башкирии искусственный интеллект помогает врачам интерпретировать результаты исследований. Об этом сообщил министр здравоохранения региона Айрат Рахматуллин.

Он отметил, что лучевые диагносты 50 больниц используют искусственный интеллект для интерпретации исследований и получения второго мнения. Например, на КТ органов грудной клетки ИИ-сервис способен определять до 14 видов патологий.

Министр назвал направления, которые выявляют с помощью нейросетей. Это пневмоторакс, изменения подмышечных лимфоузлов на КТ органов грудной клетки, переломы ребер, инфильтрация легочной ткани (пневмония), плеврит (скопление жидкости в плевральной полости), объемное образование надпочечников, костная патология позвоночника.

«ИИ-сервисы уже компетентны в анализе изменения лимфоузлов: сервис подсвечивает врачам патологическую зону, которую в дальнейшем врач клиницист сопоставляет с результатами исследования и симптомами», — отметил министр.

Он уточнил, ИИ способен обнаружить признаки болезней, даже если они не были целью обследования. И это позволяет пациентам раньше начать лечение.