Найти в Дзене
kapi.bar

Опасность заражения эхинококком от собак: как защитить себя и своих близких⁠⁠

Пост Капибарина popacalipsys Эхинококкоз — это опасное паразитарное заболевание, вызываемое ленточными червями рода Echinococcus. Основными переносчиками этого паразита являются собаки, особенно те, которые имеют доступ к сырому мясу или контактируют с дикими животными. Заражение человека происходит при несоблюдении правил гигиены и может привести к серьезным последствиям для здоровья. В этой статье мы рассмотрим, как происходит заражение, какие симптомы вызывает эхинококкоз и как защитить себя от этой болезни.
Что такое эхинококкоз?
Эхинококкоз — это заболевание, при котором в организме человека образуются кисты, заполненные личинками паразита Echinococcus. Эти кисты чаще всего локализуются в печени, легких, реже — в других органах. Болезнь развивается медленно, и первые симптомы могут появиться через несколько месяцев или даже лет после заражения.
Как происходит заражение?
Собаки являются окончательными хозяевами эхинококка. В их кишечнике паразит достигает половой зрелости и выделяе

Пост Капибарина popacalipsys

Да, на рентгене мозг человека, а в баночке то что оттуда достали. И это не мозговой слизень управления зоозащитниками. Хотя кто знает)))
Да, на рентгене мозг человека, а в баночке то что оттуда достали. И это не мозговой слизень управления зоозащитниками. Хотя кто знает)))

Эхинококкоз — это опасное паразитарное заболевание, вызываемое ленточными червями рода Echinococcus. Основными переносчиками этого паразита являются собаки, особенно те, которые имеют доступ к сырому мясу или контактируют с дикими животными. Заражение человека происходит при несоблюдении правил гигиены и может привести к серьезным последствиям для здоровья. В этой статье мы рассмотрим, как происходит заражение, какие симптомы вызывает эхинококкоз и как защитить себя от этой болезни.
Что такое эхинококкоз?
Эхинококкоз — это заболевание, при котором в организме человека образуются кисты, заполненные личинками паразита Echinococcus. Эти кисты чаще всего локализуются в печени, легких, реже — в других органах. Болезнь развивается медленно, и первые симптомы могут появиться через несколько месяцев или даже лет после заражения.
Как происходит заражение?
Собаки являются окончательными хозяевами эхинококка. В их кишечнике паразит достигает половой зрелости и выделяет яйца, которые попадают во внешнюю среду с фекалиями. Человек заражается, проглатывая яйца паразита. Это может произойти в следующих случаях:
Контакт с зараженной собакой. Яйца эхинококка могут находиться на шерсти животного, особенно если собака недавно вылизывалась или контактировала с зараженными фекалиями.
Употребление загрязненных продуктов. Овощи, фрукты или вода, загрязненные фекалиями зараженных животных, могут стать источником инфекции.
Несоблюдение гигиены. Если после контакта с собакой или уборки за ней не вымыть руки, риск заражения значительно возрастает.
Симптомы эхинококкоза
Симптомы заболевания зависят от локализации кист и их размера. На начальных стадиях болезнь может протекать бессимптомно. По мере роста кист появляются следующие признаки:
При поражении печени: боль в правом подреберье, тошнота, желтуха, увеличение печени.
При поражении легких: кашель, одышка, боль в груди, кровохарканье.
Общие симптомы: слабость, потеря аппетита, аллергические реакции.
В тяжелых случаях возможен разрыв кисты, что приводит к распространению паразита по организму и развитию осложнений, таких как анафилактический шок или перитонит.
Как защититься от заражения?
Профилактика эхинококкоза включает в себя соблюдение простых, но важных правил:
Гигиена рук. Всегда мойте руки с мылом после контакта с собаками, особенно перед едой.
Регулярная дегельминтизация собак. Проводите профилактическую обработку питомцев от глистов каждые 3–6 месяцев.
Контроль питания собаки. Не допускайте, чтобы собака ела сырое мясо или контактировала с дикими животными.
Тщательная обработка продуктов. Мойте овощи, фрукты и зелень перед употреблением. Пейте только кипяченую или бутилированную воду.
Уборка за собакой. Своевременно убирайте фекалии за питомцем, используя перчатки и дезинфицирующие средства.

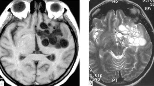
Множественные эхинококковые кисты в мозгу человека
Множественные эхинококковые кисты в мозгу человека

Диагностика и лечение
Диагностика эхинококкоза включает ультразвуковое исследование (УЗИ), компьютерную томографию (КТ) и серологические анализы крови. Лечение зависит от стадии заболевания и может включать хирургическое удаление кист и прием противопаразитарных препаратов. Важно начать лечение как можно раньше, чтобы избежать осложнений.

-3
-4

Заключение
Эхинококкоз — это серьезное заболевание, которое может привести к тяжелым последствиям для здоровья. Однако соблюдение мер профилактики и ответственное отношение к гигиене помогут значительно снизить риск заражения. Если у вас есть собака, не забывайте о регулярной дегельминтизации и уходе за питомцем. Берегите себя и своих близких!

-5

Моё скромное мнение:
Берём простую статистику: по улицам ходит 1 500 000 бродячих собак. Некоторые малолетние долбоёбы их пытаются погладить потому что тупые родители когда ребёнок жалуется что ему страшно и он боится собаку высказывают "гениальную" мысль: "а ты не бойся и подойди погладь собачку". Сука бля какие же дебилы. Ну в целом может быть у них уже вместо половины мозга эти кисты и они от своего изначального iq 75 скатились до iq 30?)))Можно конечно очень много шуток придумать про зоошизу управляемую собачьими паразитами, но тут реально серьёзная тема, зоонозы (болезни передающиеся человеку от животных) в Индии убивают по 20 000 человек от одного только бешенства. Почему в задрипанной Индии спросите вы? А потому что где кроме РФ есть ОСВВ? В Индии и Турции. Всё. Больше лошар нет. Все остальные развитые страны мочат бродячих собак в сортире.

Собак нельзя усыплять, их нужно чипировать и выпускать обратно на улицы. Эээээ....
Собак нельзя усыплять, их нужно чипировать и выпускать обратно на улицы. Эээээ....

Но вообще не до шуток когда мозг человека может превратиться в такое решето:

-7

Обсудить: https://kapi.bar/post/opasnost-zarazheniya-ehinokokkom-ot-sobak-kak-zasc