Добавить в корзинуПозвонить
Найти в Дзене
Газета "Караидель"

Вовремя пройдите флюорографию

Сегодня, 24 марта, общественность отмечает Всемирный день борьбы с туберкулезом, призванный повысить осведомленность населения о губительных последствиях этого заболевания для здоровья, общества и экономики и активизировать усилия по борьбе с глобальной туберкулезной эпидемией. В этот день в 1882 году Роберт Кох объявил о том, что ему удалось открыть бактерию, вызывающую туберкулез, благодаря чему стала возможна разработка методов диагностики и лечения болезни. Наиболее распространена легочная форма этого инфекционного заболевания. Туберкулез передается воздушно-капельным путем от больных при кашле, чихании или отхаркивании мокроты. Чтобы заразиться, человеку достаточно вдохнуть всего несколько микробов. В прошлом году в Караидельском районе было выявлено десять новых случаев заболевания туберкулезом, из них пять - с бактериовыделением. Это означает, что пять человек пропустили ежегодное обследование легких на флюорографии и тем самым подвергли риску заражения окружающих. Самыми воспри

Сегодня, 24 марта, общественность отмечает Всемирный день борьбы с туберкулезом, призванный повысить осведомленность населения о губительных последствиях этого заболевания для здоровья, общества и экономики и активизировать усилия по борьбе с глобальной туберкулезной эпидемией.

В этот день в 1882 году Роберт Кох объявил о том, что ему удалось открыть бактерию, вызывающую туберкулез, благодаря чему стала возможна разработка методов диагностики и лечения болезни.

Наиболее распространена легочная форма этого инфекционного заболевания. Туберкулез передается воздушно-капельным путем от больных при кашле, чихании или отхаркивании мокроты. Чтобы заразиться, человеку достаточно вдохнуть всего несколько микробов.

В прошлом году в Караидельском районе было выявлено десять новых случаев заболевания туберкулезом, из них пять - с бактериовыделением. Это означает, что пять человек пропустили ежегодное обследование легких на флюорографии и тем самым подвергли риску заражения окружающих. Самыми восприимчивыми к туберкулезу являются люди с иммунодефицитами, с сахарным диабетом, беременные, дети и подростки.

Не нужно думать, что эта болезнь затрагивает только асоциальные категории граждан, к сожалению, к ней очень восприимчивы и дети. Именно поэтому в школах и детских садах ежегодно проводятся профилактические пробы Манту и диаскин-тест. А всех взрослых мы призываем ежегодно проходить профилактическое обследование легких, чтобы сохранить свое здоровье и не принести вред окружающим.

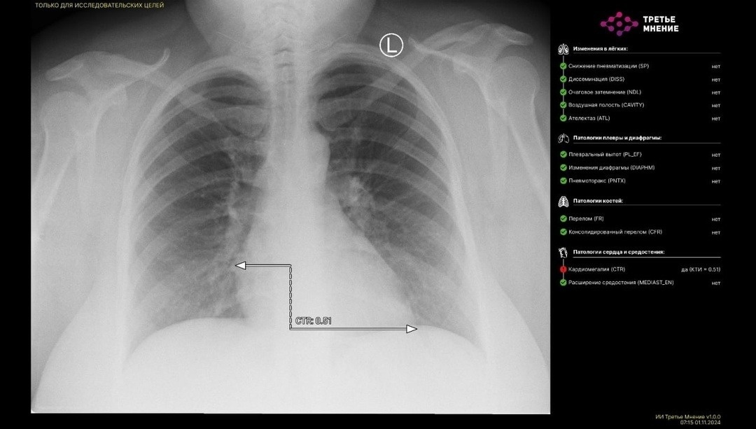
Кабинет флюорографии находится в поликлинике Караидельской ЦРБ. Направление можно взять у фельдшера или врача-терапевта либо обратиться без направления. Результаты флюорографии теперь анализируются на платформе «МосМедИИ» при помощи искусственного интеллекта, интерпретируются врачом-рентгенологом и оцениваются врачом-фтизиатром, чтобы не пропустить патологических изменений.

Автор: Татьяна Мартынова, заведующая поликлиникой Караидельской ЦРБ, врач-фтизиатр.