Найти в Дзене

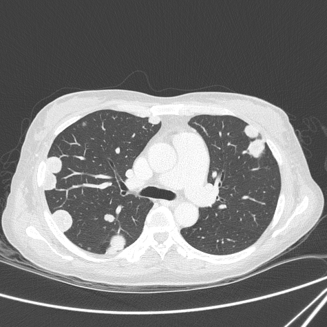
Что такое очаги в лёгком и в чем их опасность

Обнаружение очагов в лёгких при прохождении КТ ОГК – тревожный диагноз, который вызывает много вопросов и беспокойства. Такие образования могут появляться по разным причинам: от безобидных последствий перенесенных инфекций до серьёзных заболеваний. Важно понимать, что наличие очагов не всегда означает «онкологию», но в любом случае требует внимательного обследования и консультации со специалистом. В этой статье мы разберем возможные причины таких изменений, методы диагностики и дальнейшие шаги, если у вас обнаружены очаговые изменения в лёгких. Очаговые образования в легких могут быть рентгенологическим симптомом ряда заболеваний, среди которых: Разобраться в природе очагов может только врач на основе детального обследования. В большинстве случаев очаги выявляются при КТ органов грудной клетки. Как правило, после этого пациенту рекомендуют консультацию пульмонолога, онколога или торакального хирурга. Важно найти грамотного специалиста и вовремя попасть к нему на прием. Весь вопрос где
Оглавление

Очаг в легких: Что делать, если у вас нашли подозрительное образование?

Обнаружение очагов в лёгких при прохождении КТ ОГК – тревожный диагноз, который вызывает много вопросов и беспокойства. Такие образования могут появляться по разным причинам: от безобидных последствий перенесенных инфекций до серьёзных заболеваний.

Важно понимать, что наличие очагов не всегда означает «онкологию», но в любом случае требует внимательного обследования и консультации со специалистом.

В этой статье мы разберем возможные причины таких изменений, методы диагностики и дальнейшие шаги, если у вас обнаружены очаговые изменения в лёгких.

Очаговые образования в легких могут быть рентгенологическим симптомом ряда заболеваний, среди которых:

  • Воспалительные заболевания – пневмония, туберкулёз, грибковые инфекции, которые могут оставлять после себя рубцовые изменения.
  • Доброкачественные опухоли – гамартома, аденома и другие новообразования, которые не несут угрозы для жизни.
  • Злокачественные образования – рак легкого, метастазы опухолей других локализаций. которые требуют немедленного лечения.
  • Кальцинаты – участки кальцинированной ткани, которые могут быть следствием перенесённых инфекций, чаще туберкулеза.
  • Фиброзные изменения – появление соединительной ткани после воспалительных процессов.
Разобраться в природе очагов может только врач на основе детального обследования.

Как проводится диагностика?

В большинстве случаев очаги выявляются при КТ органов грудной клетки. Как правило, после этого пациенту рекомендуют консультацию пульмонолога, онколога или торакального хирурга.

Важно найти грамотного специалиста и вовремя попасть к нему на прием.

Весь вопрос где его найти. И как попасть к нему на прием быстро и без очередей. Почему здесь ключевое слово «быстро»?

Если образования в легких имеют не опухолевую природу, можно особо не торопиться. Но где гарантия того, что это не проявления злокачественного процесса?

Любые методы диагностики, будь то ПЭТ, МРТ, или анализы крови и даже онкомаркеры - не даст ответ на вопрос о морфологической структуре изменений. Другими словами диагноза не будет. А без диагноза не будет и адекватного лечения.

Поэтому крайне важно как можно раньше понять, что скрывается за диагнозом «очаговое образование или образования легких». И в первую очередь, исключить наиболее страшную болезнь - рак. Например, выживаемость после лечения рака легкого на ранней стадии составляет более 90%, на 4 стадии- менее 5%. И это лишний раз говорит о значении фактора времени.

Простой пример четырех стадий рака легких.
Простой пример четырех стадий рака легких.

Если у вас обнаружили очаги в легких, врач назначит дополнительные исследования для уточнения диагноза:

Лабораторные методы диагностики

Ни один из существующих лабораторных методов, включая анализы крови/мочи/мокроты, и даже определение онкомаркеров, не даст ответ на наш главный вопрос - что это за болезнь.  

Инструментальные методы диагностики

Онкопоиск. Главный смысл обследования при обнаружении множественных очаговых образований легких, исключение наиболее «злого» заболевания - «онкологии». То есть, врач в первую очередь подозревает метастатическое поражение легких и проводит онкопоиск первичной опухоли в других органах. 

С этой целью и проводится гастроскопия, бронхоскопия, колоноскопия, узи брюшной  полости, мрт головного мозга. Если находится первичная опухоль, занимаются лечением этой опухоли и все равно нужно понять морфологическую структуру изменений в легких. Если первичная опухоль не находится, то тоже необходимо получить морфологический материал из очага в легких.

Это можно сделать либо выполнив трансторакальную биопсию под контролем КТ, либо, при технической сложности, выполнить диагностическую операцию в объеме резекции участка легочной ткани, содержащей очаговое образование.
Трансторакальная биопсия, вид снаружи
Трансторакальная биопсия, вид снаружи

Трансторакальная биопсия, вид изнутри
Трансторакальная биопсия, вид изнутри

Бронхоскопия с биопсией – позволяет взять образец ткани для гистологического исследования и, в ряде ситуаций, ответить на вопрос, что это за болезнь. Но только при центральных образованиях. В  случае периферически расположенных образованиях в 99% результата не будет.

Позитронно-эмиссионная томография (ПЭТ-КТ) – помогает определить метаболическую активность очага и выявить злокачественные процессы. Хороший метод, обладающий высокой чувствительностью (достигает 95%), но низкой специфичность. Метод основан на введении в организм радиоактивной глюкозы и оценке степени накопления ее в различных тканях (выраженный в стандартизированных единицах поглощения (SUV)).

-5
Если SUV меньше 2,5 , с большой долей вероятности очаг в легком имеет доброкачественную природу, если больше 2,5….то,- тут как раз про низкую специфичность.

Дело в том, что это может быть и опухолью и туберкулезом и активным неспецифическим  воспалением (например абсцесс легкого), ведь при всех этих состояниях происходит повышенное накопление глюкозы в тканях. Кроме того, некоторые опухоли на ранних стадиях дают ложноотрицательный результат почти в половине случаяв (например,  аденокарцинома in situ). Кроме этого метод малоэффективен при малых размерах  (до 1 см) образований. Так что ПЭТ тоже не ответит на вопрос, что это за очаги в легком и остается специалист.

Что делать, если у вас нашли очаги в лёгких?

  1. Не паниковать и сразу обратиться к торакальному хирургу. Очаги в лёгких – это не диагноз, а лишь находка, требующая детального изучения. Даже если у вас выявлены изменения, важно не делать поспешных выводов. Если врач говорит вам «ничего страшного, можно понаблюдать», помните, что  такой подход можно сравнить с: «не стоит звать пожарных, может и само потухнет». Бегите от таких специалистов. Тактика, основанная на принципе «посмотрим, понаблюдаем», в ряде случаев оправдана, но такой подход может быть рекомендован только в случае малых размеров образования, технической сложности проведения диагностики или противопоказаниях к диагностической операции (а это менее 1% всех находок) и только опытным торакальным хирургом. В 99% случаев нужна или трансторакальная биопсия или диагностическая операция.
  2. Сразу, это значит прямо сейчас. Специалистов много, но Вам нужен именно торакальный хирург:

Пульмонолог – Хороший пульмонолог сразу отправит вас к торакальному хирургу для верификации процесса. При диагностировании воспалительной природы очаговых образований Вы вернетесь к пульмонологу 

Онколог – проведен онкопоиск и опять же направит к торакальному хирургу для верификации процесса. В случае диагностирования «онкологии» вернетесь к нему для проведении химио или лучевой терапии. 

Торакальный хирург – человек, который может ответить на вопрос, что это за болезнь, т.е. провести морфологическую верификацию диагноза (трансторакальная пункция или диагностическая операция)

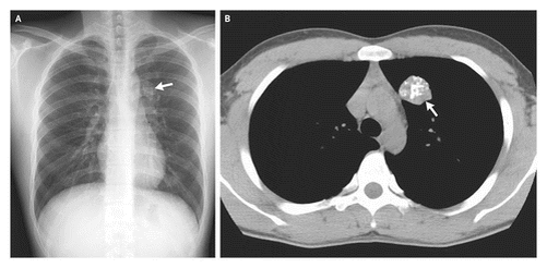
Пример: объемное образование левого легкого — гамартома. Кальцинация в виде «попкорна».
Пример: объемное образование левого легкого — гамартома. Кальцинация в виде «попкорна».

Можно ли предотвратить появление очагов в легких?

Некоторые факторы риска можно контролировать, чтобы снизить вероятность появления любых проблем с легкими:

  • Отказ от курения – главный фактор профилактики заболеваний лёгких.
  • Защита от инфекций – вакцинация от пневмококка, гриппа и COVID-19.
  • Экологическая безопасность – избегание воздействия вредных веществ (асбест, пары химикатов).
  • Регулярные медицинские осмотры – особенно если у вас есть факторы риска (курение, наследственность).
И да, срочно уехать из Москвы в тайгу, дышать чистым воздухом, пить воду из ручья и есть ягоды.

Где получить консультацию специалиста?

Если у вас обнаружили очаги в легких, важно обратиться к опытному торакальному хирургу для точной диагностики и выбора оптимального лечения. Например, Вы можете записаться на консультацию к Андрею Владимировичу Никулину – кандидату медицинских наук, торакальному хирургу, онкологу.

Андрей Владимирович Никулин – один из ведущих специалистов в области хирургического лечения заболеваний легких, средостения, грудной стенки и диафрагмы. Он поможет разобраться в вашей ситуации и предложит наиболее эффективный путь решения проблемы.

Обнаружение очагов в лёгких – это повод для дополнительного обследования, но не для паники. Важно вовремя обратиться к специалисту, пройти диагностику, выяснить причину этих изменений и, если необходимо, начать лечение.

Главное – внимательное отношение к своему здоровью и своевременное обращение к врачу.
Быть здоровым гораздо лучше, нежели больным!