Добавить в корзинуПозвонить
Найти в Дзене

Как исправить прикус без брекетов? Реальный кейс лечения на ЛМ-активаторе

Многие родители беспокоятся о том, как помочь ребенку исправить прикус без длительного и сложного лечения брекетами. Сегодня поделимся реальным кейсом из практики нашего ортодонта Шнайдер Валентины Викторовны. Пациент, подросток 12 лет, обратился к нам с жалобами на неровное положение зубов, узкие зубные ряды и неправильный прикус. Было решено использовать ЛМ-активатор (LM-Activator). ЛМ-активатор – это съемный ортодонтический аппарат, который корректирует прикус и положение зубов у детей и подростков в период активного роста. Аппарат мягко направляет рост зубов и челюстей, помогает сформировать правильное положение языка и улучшить носовое дыхание. Лечение длилось 2 года: с 12 до 14 лет. Пациент носил аппарат ежедневно, по 12-15 часов в сутки. Благодаря регулярному использованию и наблюдению у врача удалось добиться значительного улучшения: зубные ряды расширились, зубы заняли правильное положение, а прикус нормализовался. Самое важное – теперь нашему пациенту не потребуется более с
Оглавление

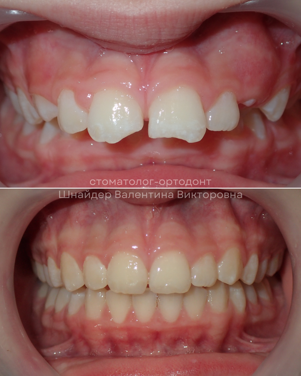
Многие родители беспокоятся о том, как помочь ребенку исправить прикус без длительного и сложного лечения брекетами. Сегодня поделимся реальным кейсом из практики нашего ортодонта Шнайдер Валентины Викторовны.

Пациент, подросток 12 лет, обратился к нам с жалобами на неровное положение зубов, узкие зубные ряды и неправильный прикус. Было решено использовать ЛМ-активатор (LM-Activator).

Что такое ЛМ-активатор?

ЛМ-активатор – это съемный ортодонтический аппарат, который корректирует прикус и положение зубов у детей и подростков в период активного роста. Аппарат мягко направляет рост зубов и челюстей, помогает сформировать правильное положение языка и улучшить носовое дыхание.

Как проходило лечение?

Лечение длилось 2 года: с 12 до 14 лет. Пациент носил аппарат ежедневно, по 12-15 часов в сутки. Благодаря регулярному использованию и наблюдению у врача удалось добиться значительного улучшения: зубные ряды расширились, зубы заняли правильное положение, а прикус нормализовался.

-2
-3
-4

Самое важное – теперь нашему пациенту не потребуется более сложного ортодонтического лечения на брекетах или элайнерах.

Почему важно начинать лечение вовремя?

Чем раньше выявлены проблемы с прикусом, тем проще их исправить без использования сложных и дорогостоящих систем.

Если вы заметили у вашего ребенка похожие проблемы, рекомендуем обратиться за консультацией как можно раньше.

Записаться на консультацию:

📍 Стоматология «Гелиосдент»

Наш телефон: +7 (343) 317-20-70

Наш сайт: https://geliosdent.ru

Спасибо за кейс ортодонту клиники «Гелиосдент» Шнайдер Валентине Викторовне.

-5