Добавить в корзинуПозвонить
Найти в Дзене
Parodoctor

Могли попробовать спасти зуб, но не стали. Одномоментная имплантация и установка коронки - нагрузка сразу

На этом канале что ни хирургия, то какая-то мудрёная, с экшеном. Посмотришь на подобную канитель и связываться не захочешь... Поживу как-нибудь так, без зубов. Ну его. А ведь рутина клиники весьма скучна (к великому моему счастью). Писать о простом? Да ну, не интересно, кто читать-то будет? Благо, что сейчас меня не столь заботит охват статей. Кому надо - прочтёт. Этого достаточно. Вижу клинический случай в расписании, смотрю фотопротокол, рентген прокручиваю, спрашиваю у хирурга: - Сергей Александрович, расскажите поподробнее. Что интересного было в операции, какой занятный анамнез? Отвечает: - А ничего этакого, простой случай, лёгкая работа. Всё шло как надо - от удаления до установки имплантата. И кость хорошая, и лунка не сухая, и заживает адекватно. Раз так, то хочу показать вам простую, но ПРАВИЛЬНУЮ имплантацию. Изначально, пациентка рассматривала возможность сохранения разрушенного зуба 1.2: Рассмотрим зуб со всех сторон: Многие читатели, будь они стоматологами, решительно вз
Оглавление

На этом канале что ни хирургия, то какая-то мудрёная, с экшеном. Посмотришь на подобную канитель и связываться не захочешь...

Поживу как-нибудь так, без зубов. Ну его.

А ведь рутина клиники весьма скучна (к великому моему счастью). Писать о простом? Да ну, не интересно, кто читать-то будет? Благо, что сейчас меня не столь заботит охват статей. Кому надо - прочтёт. Этого достаточно.

Вижу клинический случай в расписании, смотрю фотопротокол, рентген прокручиваю, спрашиваю у хирурга:

- Сергей Александрович, расскажите поподробнее. Что интересного было в операции, какой занятный анамнез?

Отвечает:

- А ничего этакого, простой случай, лёгкая работа. Всё шло как надо - от удаления до установки имплантата. И кость хорошая, и лунка не сухая, и заживает адекватно.

Раз так, то хочу показать вам простую, но ПРАВИЛЬНУЮ имплантацию.

Одномоментная имплантация и установка временной коронки

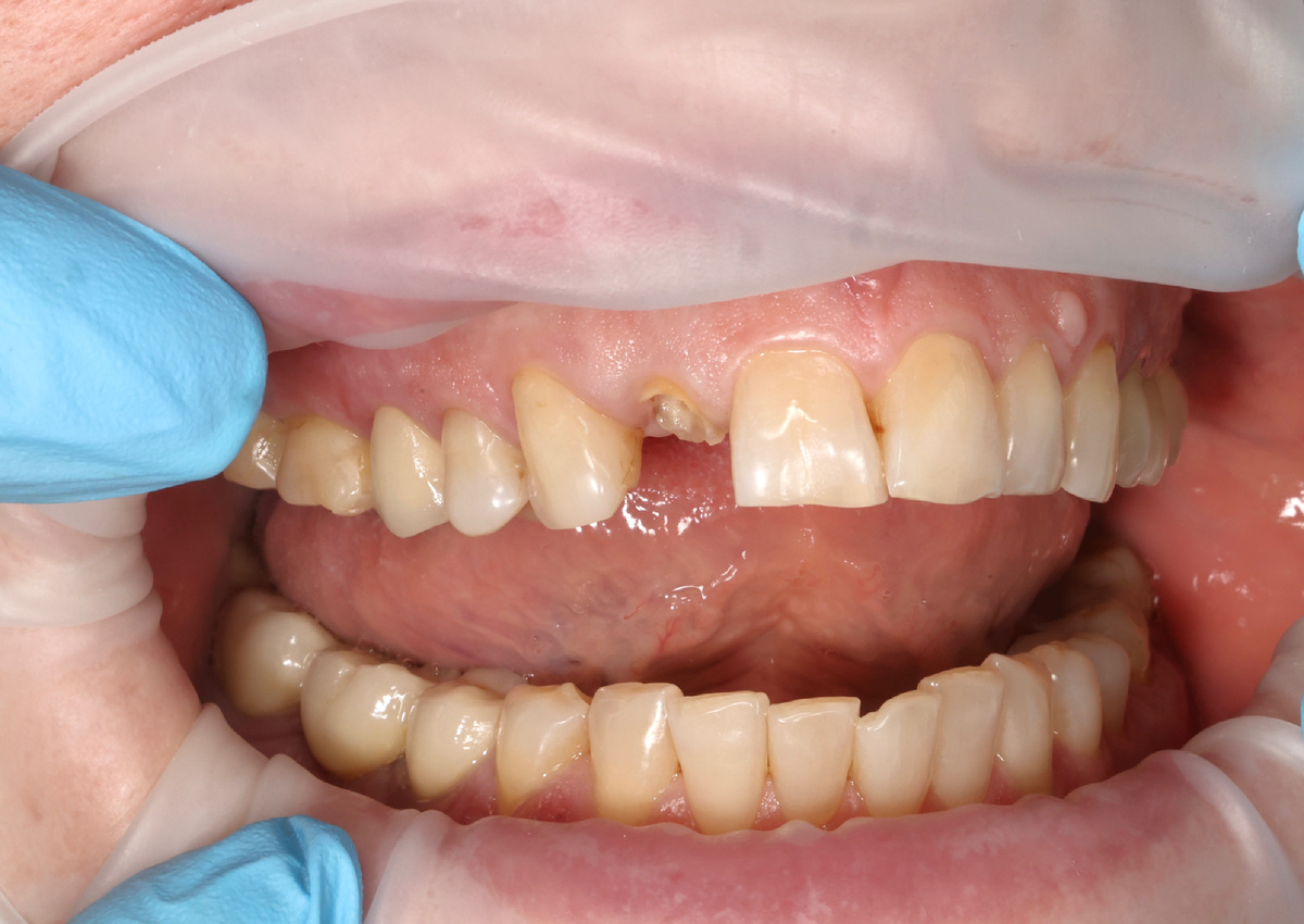
Изначально, пациентка рассматривала возможность сохранения разрушенного зуба 1.2:

Корень 1.2 зуба требует принятия решения
Корень 1.2 зуба требует принятия решения

Рассмотрим зуб со всех сторон:

-2

Многие читатели, будь они стоматологами, решительно взялись бы за спасение зуба (хороооошииий жиии, жалко).

А мы сделали КТ:

-3

И, впрямь, даже "кистОгранулёмы" нет. Отличный зуб! Только вот решено было удалять корень и устанавливать имплантат.

Не захотели возиться, всё понятно. Всегда проще вкрутить болт и заработать, чем честно и доблестно спасти, перелечить, перевылечить. Одни имплантологи вокруг, никто не умеет уже зубы лечить, перевелить настоящие врачи. Рвачи остались.

Между тем, приблизим зуб:

Разрушение захватило корень, стенки тонкие
Разрушение захватило корень, стенки тонкие

Я согласна, что своё родное нужно пытаться спасать, если шанс есть. Вот и с этим зубом было подобное - в другой клинике его спасли. Установили вкладку, поставили коронку. Вот всем этим составом конструкция и покинула хозяина - вывалилось всё.

Что можно было сделать ради спасения зуба

Экструзию корня - ортодонтически на нужную длину (немного) вытянуть корень и выполнить подготовку к установке коронки (способы существуют).

Почему зуб был удалён

Есть одна особенность у корней верхних вторых резцов - они коротковаты и узковаты. Это анатомия. Тут же к анатомическим препонам добавляются факторы, повреждающие данный конкретный корень:

  • отсутствие феррула - это часть зуба, на которую можно совершить внешнюю нагрузку и через которую нагрузка перераспределяется на корень;
  • перерасширение устья и тонкие стенки - очень широкий вход в канал зуба;
  • дистальная стенка корня разрушена глубоко под десну.

То есть, если бы решились на вытяжение корня, то в кости осталась бы недостаточная для безопасной нагрузки его часть. Коронку на такой корень устанавливать опасно, можно потерять деньги, вложенные в лечение.

Вместо корня - заноза, а на занозе огромная коронка. Не наша работа.
Вместо корня - заноза, а на занозе огромная коронка. Не наша работа.
Одно дело, если бы пациентке было лет 15-20, за этот зуб стоило бы взяться и рискнуть - имплантация до 21 года не желательна (не закончен рост костей). В данном случае человеку за 70.

Лучше потратить финансы на то, что проблем не вызовет с намного бОльшей долей вероятности - в имплантацию.

Да, я серьёзно.

Одномоментная имплантация

На первой консультации был сделан снимок КТ с суставами, выполнено сканирование полости рта.

Техник сделал моделирование ваксап в специальной программе, а имплантолог примерил планируемый имплантат в кости пациента (листайте):

Что бы зафиксировать расположение имплантата, был изготовлен хирургический шаблон.

Напоминаю - в моей клинике даже одиночные имплантаты устанавливаются по шаблонам. Иначе никак.

Большой контейнер неразобранных шаблонов, ждущих пока мы сдадим постоянные коронки:

Отработанные хирургические шаблоны
Отработанные хирургические шаблоны

После сдачи коронок шаблоны утилизируются.

Эта же программа кое-как позволяет оценить плотность кости (но мы слепо не доверяем ей):

-8

Хотя тут не обманула - кость находится в промежутке между твёрдой и мягкой - то, что нужно.

Зуб был аккуратно удалён:

Лунка 1.2 зуба - можно рассмотреть костные стенки
Лунка 1.2 зуба - можно рассмотреть костные стенки

Был установлен имплантат и проведена плстика десны (что бы вестибулярно не было провала):

Одномоментная цифровая имплантация
Одномоментная цифровая имплантация

Торк получен отличный, поэтому имплантат можно нагружать коронкой. Сразу после пациентка отправилась к ортопеду, где было выполнено сканирование:

Цифровой слепок челюстей
Цифровой слепок челюстей

Через несколько дней была изготовлена временная лабораторная коронка, кторую установили на имплантат:

Одномоментная имплантация и временная коронка
Одномоментная имплантация и временная коронка

Попрощались с человеком на 4 месяца - ждём приживления. С момента имплантации прошёл почти месяц, жалоб нет.

Пока не пройдёт интеграция - не расслабляемся. Да и потом, как говорится, первое "спасибо" имплантологами принимается через 10 лет.

Стоимость имплантации и коронки

У имплантолога Конкина Сергея Александровича стоимость имплантации ниже, чем у другого имплантолога клиники, который занимается тотальными имплантологическими работами.

Напишу цены на основные имплантологические составляющие, действующие на апрель 2025 года в моей клинике:

  • имплантация Neodent с хирургическим шаблоном - 40000 рублей;
  • формирователь десны - 6000 рублей;
  • пластика десны - 27000 рублей;
  • временная лабораторная коронка - 15000 рублей.

Имплантолог - Конкин Сергей Александрович.

Ортопед - Нохаев Мингиян Юрьевич.

Кому не хватило экшена, может изучить мою подборку наших тотальных имплантологических работ:

Тотальные работы на имплантатах. | Parodoctor | Дзен

На вопросы отвечаю оперативно в своём ТГ канале (тут бываю редко, только для написания статей):

Parodoctor

Так же там есть чат пациентов, добрая дружеская атмосфера, где никто никого не обижает - только помогает. А недавно вообще случилась космическая история - потерялась моя собака Пуся в ночи. Теперь мы всем чатом считаем, что это было не зря.

С уважением, Лежачёва Наталия Александровна, хирург-пародонтолог и главный врач стоматологии Parodent, СПб.