Найти в Дзене
⛑️МЕДИЦИНА ⛑️

Инородное тело в мочевом пузыре

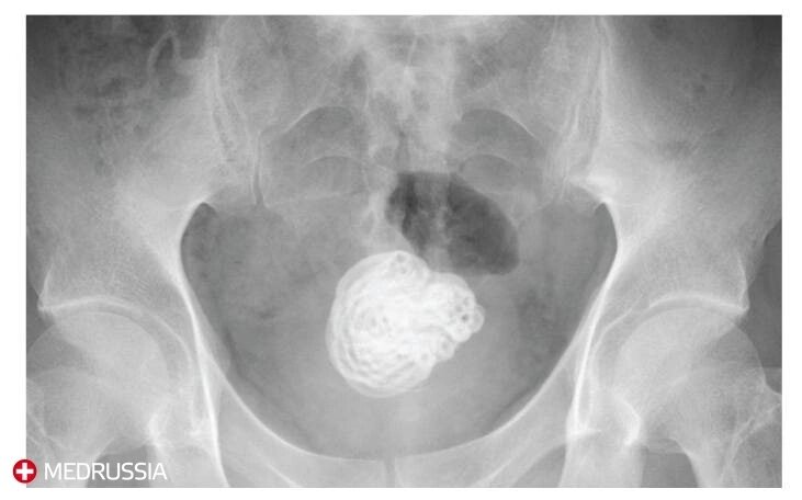
Пациентом был 49-летним мужчиной без каких-либо психических расстройств в анамнезе. Он прошел медицинское обследование в местном отделении неотложной помощи и был направлен для исследования инородного тела в мочевом пузыре, которое было выявлено при ультразвуковом исследовании. На простом рентгеновском снимке было обнаружено извитое инородное тело диаметром около 5 см, а также утолщение в стенке мочевого пузыря. Цистоскопия показала камнеобразную природу инородного тела. По словам пациента, примерно два года назад он вставил виниловую трубку в уретру для мастурбации и не смог ее извлечь; она оставалась в этом положении, из-за чего он испытывал боль в уретре в течение первых шести месяцев после инцидента. Поскольку инородное тело было большим, операция считалась сложной. Инородное тело было в длину примерно 140 см и было успешно удалено.

Пациентом был 49-летним мужчиной без каких-либо психических расстройств в анамнезе. Он прошел медицинское обследование в местном отделении неотложной помощи и был направлен для исследования инородного тела в мочевом пузыре, которое было выявлено при ультразвуковом исследовании.

На простом рентгеновском снимке было обнаружено извитое инородное тело диаметром около 5 см, а также утолщение в стенке мочевого пузыря.

Цистоскопия показала камнеобразную природу инородного тела. По словам пациента, примерно два года назад он вставил виниловую трубку в уретру для мастурбации и не смог ее извлечь; она оставалась в этом положении, из-за чего он испытывал боль в уретре в течение первых шести месяцев после инцидента.

Поскольку инородное тело было большим, операция считалась сложной. Инородное тело было в длину примерно 140 см и было успешно удалено.